May 16, 2012 — David Fisher, vice president for healthcare policy and strategy at Siemens Healthcare, testified on behalf of the Medical Imaging & Technology Alliance (MITA) today at the Internal Revenue Service (IRS) Hearing on Proposed Medical Device Excise Tax Regulations [REG-113770-10] to voice the industry’s concerns about implementation of the tax imposed by the Affordable Care Act. MITA has submitted comments to the IRS on the proposed regulations, slated to go into effect in 2013, requesting clarification surrounding how and when the new tax will be put into practice.


Single photon emission computed tomography (SPECT) remains a well-entrenched imaging modality for nuclear myocardial perfusion imaging (MPI) more than 30 years after its introduction. Due to SPECT’s reliability, cost-effectiveness and the wealth of data showing its clinical validation, it remains more common in MPI than its competition, positron emission tomography (PET). 



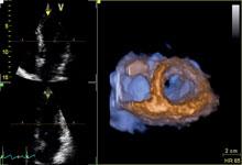
Hardware and software advances are enabling echocardiography to greatly expand its capability with increased quantification accuracy, ease-of-use, increased workflow efficiencies and wider use outside of echo labs. Today, cardiovascular ultrasound systems are being integrated into point-of-care for triage, and in operating rooms and cath labs for procedural guidance to cut the use of contrast and ionizing radiation. 


May 15, 2012 -- Viztek, a digital imaging solution provider, announced the availability of Opal-Mammo, a complete women's health solution with the industry's leading combination of a Web-based mammography PACS with integrated tracking software.

May 15, 2012 -- European cancer experts have reported their progress with promising new radiosurgical techniques for treating cancer and other conditions using new linear accelerator technology from Varian Medical Systems. Speakers at Varian's Emerging Technologies Symposium at the annual ESTRO conference detailed their experiences with fast hypo-fractionated treatments for prostate patients and RapidArc Radiosurgery for intracranial and central nervous system indications.

May 15, 2012 - Breast brachytherapy with a strut-based applicator is a well-tolerated and effective treatment for early-stage breast cancer, according to a multi-site study with a median follow-up of four years. The research was presented as a scientific poster at the European Society for Radiotherapy & Oncology (ESTRO) World Congress of Brachytherapy in Barcelona, May 10-12.

May 15, 2012 – International medical technology company, Sectra, announced an agreement to distribute MagView mammography reporting, mammography tracking and compliance software fully integrated with Sectra Breast Imaging PACS

 


May 14, 2012 — On May 9, the U.S. Food and Drug Administration announced that it is seeking public comment on a proposal encouraging manufacturers to consider the safety of children in the design of new X-ray imaging devices. In the draft guidance, FDA is recommending that manufacturers design new X-ray imaging devices with protocols and instructions that address use on pediatric patients.


Arterion angiographic injection system


Two next-generation automated contrast injector systems were recently introduced in the United States. 

 

Subscribe Now