Dec. 1, 2025 — BioSked has announced a major expansion of its Momentum scheduling platform, introducing one of the first AI-driven solutions that plans radiology and teleradiology teams based on Relative Value Units (RVUs) and across multiple time zones.
Artificial Intelligence
This channel includes news and technology innovations for artificial intelligence (AI) software, also referred to as deep learning, cognitive computing and machine learning. AI technology is being integrated in radiology for imaging appropriate use criteria (AUC), clinical decision support, predictive analytics and to assist radiologists with improved workflow.
Dec. 1, 2025 — ScreenPoint Medical has completed a commercial agreement making its Transpara breast-imaging AI portfolio ...
Dec. 1, 2025 — BioSked has announced a major expansion of its Momentum scheduling platform, introducing one of the first ...
Dec. 1, 2025 — Rad AI has launched next-generation speech recognition technology (patent pending) that dramatically ...
Despite decades of progress in breast imaging, one challenge continues to test even the most skilled radiologists ...
Dec. 1, 2025 — Medimaps Group S.A., a provider of AI-driven bone microarchitecture imaging solutions, will make the ...
Dec. 1, 2025 — RapidAI and Amazon Web Services (AWS) have announced a strengthened working relationship to accelerate ...
Nov. 25, 2025 – Medical imaging AI company Avicenna.AI has announced a strategic partnership with Ferrum, an AI ...
SPONSORED CONTENT — EnsightTM 2.0 is the newest version of Enlitic’s data standardization software framework. Ensight is ...
Nov. 25, 2025 — RapidAI has announced the U.S. Food and Drug Administration (FDA) clearance of five new imaging modules ...
Nov. 24, 2025 — Siemens Healthineers is launching artificial intelligence-enabled services to help healthcare providers ...
Nov. 20, 2025 — Aidoc has announced a collaboration with AdventHealth to launch one of the largest imaging AI ...
Did you know that approximately one-third of all the data in world is created by the healthcare industry and that ...
Nov. 12, 2025 — GE HealthCare and DeepHealth, Inc., a wholly owned subsidiary of RadNet, Inc., have announced their ...
Nov. 19, 2025 — Royal Philips has announced an extended partnership with Cortechs.ai. Together, the companies will ...
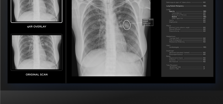
Nov. 18, 2025 — Qure.ai has announced a collaboration with Microsoft. Qure.ai will onboard its end-to-end lung cancer ...
Having the most efficient clinical workflows with enhanced diagnostic capabilities is a major goal for clinicians and ...
Nov. 17, 2025 — RadNet, Inc. and its wholly owned subsidiary, DeepHealth have announced results from the largest real ...
Nov. 13, 2025 — Covera Health recently announced that Advanced Radiology Services (ARS) has joined its national Quality ...
Nov. 13, 2025 — Medical imaging AI company Avicenna.AI has launched AVI, a new platform that delivers AI results ...
Nov. 6, 2025 — Gradient Health and DataFirst have announced a strategic partnership designed to bridge the gap between ...
Nov. 7, 2025 — Coreline Soft will introduce its chest AI platform AVIEW 2.0 at RSNA 2025 (Nov. 30 – Dec. 4, Chicago) ...
Nov. 6, 2025 — Lunit, a provider of AI for cancer diagnostics and precision oncology, recently announced that Volpara ...
Once viewed as a solution for after-hours coverage, teleradiology is rapidly expanding into a critical part of radiology ...
Nov. 4, 2025 — Altamont Software, a provider of enterprise medical connectivity solutions, has announced the ...
December 03, 2025 