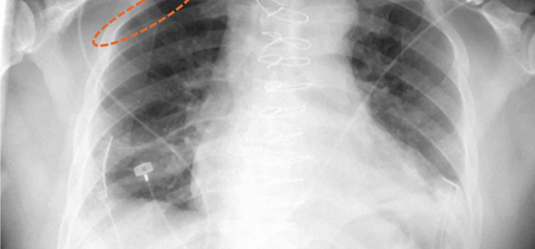
March 31, 2022 — Aidoc, a leading provider of healthcare AI solutions, announced that it received FDA 510(k) clearance for its triage and notification of…
ACC
This channel contains news about the American College of Cardiology (ACC), including coverage of its annual meeting and links to recently released practice guidelines. The ACC is a leading resource for cardiology professionals, including all its subspecialties.
February 14, 2023 —DiA Imaging Analysis, a leading provider of advanced AI-based software solutions for ultrasound image ...
July 8, 2022 — The Society of Cardiovascular Computed Tomography (SCCT) has released a new expert consensus document on ...
May 18 2022 — Older breast cancer survivors with cardiometabolic risk factors who restricted food intake to eight hours ...
With Intellispace Enterprise Edition as the foundation, Philips Healthcare is connecting facilities and service areas ...
March 31, 2022 — Aidoc, a leading provider of healthcare AI solutions, announced that it received FDA 510(k) clearance ...
September 22, 2021 — Radiation therapy is an effective and widely used treatment for breast cancer. While the benefits ...
Rising concerns over radiation overexposure teamed with a growing focus on improving the quality of patient care are two ...
Established in 1970, Sovah Health – Martinsville, Va., resides in the foothills of the beautiful Blue Ridge Mountains ...
The fingerprints of value-added medicine were all over products and works-in-progress on the exhibit floor of the annual ...
With Intellispace Enterprise Edition as the foundation, Philips Healthcare is connecting facilities and service areas ...
William Pinsky, M.D., a pediatric cardiologist and CEO of the Educational Commission for Foreign Medical Graduates ...
Magid Awadalla, MBBS, is an advanced cardiac imaging research fellow at Massachusetts General Hospital. He has been ...
Raza Alvi, M.D., a research fellow in radiology at Massachusetts General Hospital, has been involved in a study of a ...
Reflecting a trend toward the increased use of computed tomography (CT) in cardiology, Siemens Healthineers launched a ...
March 19, 2019 — Late-breaking results confirm the HeartFlow FFRct (fractional flow reserve computed tomography) ...
As many as one in four patients who undergo cath lab interventions can benefit from a technology that identifies the ...
Virtual reality (VR) and its less immersive kin, augmented reality (AR), are gaining traction in some medical ...
Machine learning is already having an enormous impact on cardiology, automatically calculating measurements in ...
March 15, 2019 — Artificial intelligence (AI) company Bay Labs announced the presentation of two studies assessing ...
As a noninvasive technology, computed tomography (CT) is brimming with possibilities, particularly as an angiographic ...
March 14, 2019 — Siemens Healthineers will introduce the Somatom go.Top Cardiovascular Edition, a new version of its ...
March 13, 2019 — An imaging procedure commonly performed before starting cancer treatment can provide valuable clues ...
February 14, 2023 