April 15, 2021 — Siemens Healthineers AG announced that it has successfully completed the acquisition of Varian Medical Systems, Inc. The
Women's Health
The women’s health channel includes news, videos, podcasts and other content related to technology used to detect and treat breast cancer and cervical cancer, including mammography, breast magnetic resonance imaging (MRI), automated breast ultrasound (ABUS), breast ultrasound, breast biopsy and breast radiation therapy.
News | Breast Density | April 28, 2021
April 28, 2021 – DenseBreast-info.org (DB-I) announced the results of the study, “Effect of an educational intervention...
News | Radiology Imaging | April 26, 2021
April 26, 2021 — The American College of Radiology (ACR) released an update to its ACR Appropriateness Criteria (ACR AC...
News | Breast Imaging | April 23, 2021
April 23, 2021 — The U.S. Food and Drug Administration (FDA) has approved Seno Medical's Imagio P200003 Breast Imaging...
Sponsored Content
Videos | Artificial Intelligence | November 11, 2020
Artificial Intelligence (AI) is becoming more common place in radiology practices, and emerging technologies are...
News | Radiation Therapy | April 22, 2021
April 22, 2021 — Targeted therapy in early stages of breast cancer can pave the way for a notable higher success rate,...
News | Breast Imaging | April 22, 2021
April 22, 2021 —iCAD, Inc. announced that new research supporting the clinical value of ProFound AI for Digital Breast...
News | Women's Health | April 22, 2021
April 22, 2021 — Women at high risk of breast cancer face cost-associated barriers to care even when they have health...
Sponsored Content
Blog | RSNA | November 27, 2018
For medical practice to advance, efforts to make this practice more efficient must not come at the expense of accuracy...
News | Flat Panel Displays | April 21, 2021
April 21, 2021 — Spurred by the pandemic and the larger trend toward remote work, radiologists have started seeking...
News | Radiology Business | April 15, 2021
April 15, 2021 — Siemens Healthineers AG announced that it has successfully completed the acquisition of Varian Medical...
News | Breast Imaging | April 14, 2021
April 14, 2021 — Detecting and analyzing breast cancer goes beyond the initial discovery of the cancer itself. If a...
Sponsored Content
Blog | RSNA | November 25, 2018
One force behind the development of products on the Radiological Society of North America (RSNA) floor was to build on...

A 37-year-old woman developed a new, palpable left supraclavicular lymphadenopathy lump five days after her first dose of the Moderna COVID-19 vaccine in the left arm. On the day of vaccination, the patient was asymptomatic. This is an example of how the vaccine can mimic cancer and swollen lymph nodes. Read more about this case study. Image used with permission of RSNA.
Feature | Coronavirus (COVID-19) | April 09, 2021 | By Dave Fornell, Editor
While the mass COVID-19 vaccination effort over the past four months is bringing closer the light at the end of the...
News | Breast Imaging | April 09, 2021
April 9, 2021 — 3-D mammography reduces the number of breast cancer cases diagnosed in the period between routine...
News | Women's Health | April 08, 2021
April 8, 2021 — Mobidiag Oy, a privately held, commercial-stage Finnish-French developer of innovative molecular...
News | Artificial Intelligence | April 06, 2021
April 6, 2021 — In 2020, the International Agency for Research on Cancer of the World Health Organization stated that...
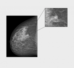
News | Breast Imaging | April 02, 2021
April 2, 2021 — iCAD, Inc. announced that ProFound AI for 2D Mammography might notably reduce the risk of interval...
News | Breast Imaging | April 01, 2021
April 1, 2021 — While the COVID-19 crisis is challenging, the pandemic is also giving researchers an opportunity to...
News | Breast Imaging | April 01, 2021
April 1, 2021 — In looking at the broader impact of the COVID-19 pandemic on health and wellbeing, public health...
Videos | Breast Imaging | March 26, 2021
Constance "Connie" Lehman, M.D., Ph.D., chief of breast imaging, co-director of the Avon Comprehensive Breast...
News | Breast Imaging | March 23, 2021
March 23, 2021 — iCad announced that ProFound AI Version 3.0 for Digital Breast Tomosynthesis (DBT) was cleared by the...
News | Artificial Intelligence | March 22, 2021
March 22, 2021 — Researchers at Charité - Universitätsmedizin Berlin and TU Berlin as well as the University of Oslo...
News | Interventional Radiology | March 19, 2021
March 19, 2021 — Many women suffering significant postpartum bleeding continue to receive hysterectomies, rather than...























