Oct. 7, 2025 – Clairity Inc., a leader in AI-based breast cancer risk prediction, will make five scientific presentations featuring its FDA-authorized image-only AI model at the Radiological Society of North America (RSNA) 2025 Annual Meeting, Nov. 30 to Dec. 4 in Chicago.
Breast Density
Breast density, or fibroglandular density, is found through breast imaging and compares the amount of fat to the amount of tissue.
Dec. 2, 2025 — Lunit, a provider of AI for cancer diagnostics and precision oncology, will present 14 studies at RSNA ...
Oct. 7, 2025 – Clairity Inc., a leader in AI-based breast cancer risk prediction, will make five scientific ...
Early detection is key to breast cancer survival. But nearly half of all women in the U.S. have dense breast tissue ...
As the largest independent imaging group in Michigan with 10 locations across the state, Regional Medical Imaging (RMI) ...
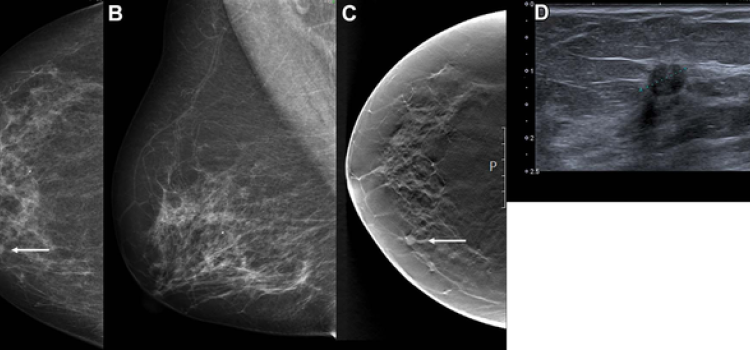
May 13, 2025 — In one of the larger studies of its kind, researchers have identified six breast texture patterns that ...
March 20, 2025 — GE HealthCare has launched Invenia Automated Breast Ultrasound (ABUS) Premium, the latest 3D ultrasound ...
March 04, 2025 — Optellum has entered a strategic agreement with Volpara Health, a Lunit company and a provider of ...
Christina Jacobs, M.D., Director of Breast Imaging (Bronson Health System) is always looking for ways to work more ...
Jan. 8, 2025 — ScreenPoint Medical has acquiredf Biomediq A/S, a research-based company focused on the research ...
Dec.11, 2024 — iCAD, Inc., a provider of clinically proven AI-powered cancer detection solutions, recently announced ...
Nov. 13, 2024 — Densitas has launched intelliRisk, its new high-risk breast cancer patient management platform ...
Monica Saini, M.D., consultant medical director — ABUS at GE Healthcare, discusses the necessity for personalized breast ...
July 2, 2024 — Delphinus Medical Technologies, a pioneering medical imaging company that developed the SoftVue Breast ...
June 18, 2024 — Delphinus Medical Technologies, a pioneering medical imaging company that developed the SoftVue Breast ...
June 7, 2024 — Scholars and studies funded by Susan G. Komen(R), the world’s leading breast cancer organization ...
Following the global trend, cancer rates in Mexico continue to rise — and breast cancer is now the number-one killer of ...
June 6, 2024 — Subsequent rounds of abbreviated breast MRI (AB-MR) screening in patients with dense breasts had lower ...
Decades since the advent of breast scanning technology, innovations in noninvasive diagnostic imaging provide new ...
May 1, 2024 — Hologic, Inc., a global leader in women’s health, today announced that it signed a definitive agreement to ...
May 1, 2024 — After the issuance of updated breast screening recommendations by the U.S. Preventive Services Task Force ...
April 30, 2024 — The U.S. Preventive Services Task Force (Task Force) today published a final recommendation statement ...
March 18, 2024 — Volpara Health Technologies Ltd., a global leader in software for the early detection and prevention of ...
February 20, 2024 — Annual breast cancer screening beginning at age 40 and continuing to at least age 79 results in the ...
February 9, 2024 — An innovative breast imaging technique provides high sensitivity for detecting cancer while ...
December 02, 2025 