April 7, 2026 — Onvida Health and Siemens Healthineers have entered a 10-year Value Partnership¹ designed to bring the latest medical technology to and improve efficiencies across the Onvida health system.
Computed Tomography (CT)
Computed tomography (CT) systems use a series of X-ray images to create an image volume dataset with slices that can be manipulated on any plane using advanced visualization software. The section includes computed tomography scanners, CT contrast agents, CT angiography (CTA and CCTA), CT perfusion, spectral CT (dual-source CT), and iterative reconstruction dose reduction software.
April 7, 2026 — Onvida Health and Siemens Healthineers have entered a 10-year Value Partnership¹ designed to bring the ...
April 2, 2026 — Nano-X Imaging Ltd. recently announced its U.S.-based subsidiary, Nanox Impact Inc., has signed a new ...
April 2, 2026 — GE HealthCare has received 510(k) clearance from the U.S. Food and Drug Administration (FDA) for True ...
SPONSORED CONTENT — Fujifilm’s latest CT technology brings exceptional image quality to a compact and user- and patient ...
March 30, 2026 — HCA Healthcare’s Good Samaritan Hospital is the first hospital in the Bay Area to implement Lumina 3D ...
March 31, 2026 — Radon Medical Imaging, a medical imaging equipment maintenance and repair services company, has has ...
March 26, 2026 — GE HealthCare has announced a renewed research collaboration with Stanford Medicine Department of ...
In June, the Philips Radiology Experience Tour hit the road to provide healthcare professionals with an opportunity to ...
March 28, 2026 — When Ashley Perlow felt a sharp pain shoot across her chest and into both wrists, she didn't think it ...
March 24, 2026 — MARS Bioimaging, a New Zealand–headquartered medical device company, has received U.S. Food and Drug ...
March 23, 2026 — GE HealthCare has received 510(k) clearance from the U.S. Food and Drug Administration (FDA) for ...
This summer, the Philips Radiology Experience Tour has been bringing Philips imaging modalities directly to the ...
March 23, 2026 — Samsung Medison hsa announced that its U.S. medical imaging businesses, previously operating as ...
March 10, 2026 — QT Imaging Holdings has received U.S. Food and Drug Administration (FDA) 510(k) clearance for an ...
March 11, 2026 — Noah Medical has announced the publication of the MATCH 2 study in the international, peer-reviewed ...
The healthcare industry faces many different types of obstacles in today’s challenging marketplace. Staff shortages ...
March 5, 2026 — At ECR 2026, Royal Philips introduced Rembra, its next-generation radiology CT system designed for the ...
Once considered an adjunct brain cancer therapy and a last-resort treatment, noninvasive radiosurgery has evolved ...
March 2, 2026 — RadNet, Inc. has acquired Gleamer SAS, a radiology AI company based in Paris, France. Gleamer will be ...
March 2, 2026 — Esaote Group will officially launch the new MyLab E85 and MyLab C30 GTS Edition ultrasound systems at ...
Feb. 26, 2026 — DeepHealth, Inc., a provider of AI-powered health informatics and a wholly owned subsidiary of RadNet ...
Feb. 9, 2026 — MRIguidance, a MedTech company developing BoneMRI, a radiation-free bone imaging solution, has appointed ...
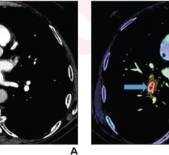
Advances in coronary CT angiography (CCTA) have reached the point where image quality and AI capabilities are creating ...
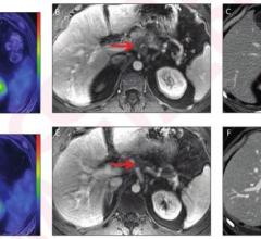
Feb. 4, 2026 — A new review published in the American Journal of Roentgenology (AJR) finds that advances in CT ...
April 09, 2026 