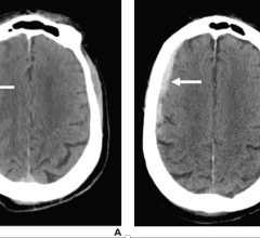
March 17, 2023 — A new paper published in the Journal of Medical Internet Research describes how generative models such ...
Computed Tomography (CT)
Computed tomography (CT) systems use a series of X-ray images to create an image volume dataset with slices that can be manipulated on any plane using advanced visualization software. The section includes computed tomography scanners, CT contrast agents, CT angiography (CTA and CCTA), CT perfusion, spectral CT (dual-source CT), and iterative reconstruction dose reduction software.
March 10, 2023 — Computed tomography (CT) is one of the most powerful and well-established diagnostic tools available to ...
March 2, 2023 — GE HealthCare announced at the European Congress of Radiology (ECR) in Vienna, Austria, the completion ...
SPONSORED CONTENT — Fujifilm’s latest CT technology brings exceptional image quality to a compact and user- and patient ...
March 2, 2023 —Royal Philips announced new milestones in the development of the world’s first spectral detector angio CT ...
March 2, 2023 — Carestream Health is funding and participating in an innovative pilot with the Open Source Imaging ...
March 1, 2023 — According to an accepted manuscript published in ARRS’ American Journal of Roentgenology (AJR), using a ...
In June, the Philips Radiology Experience Tour hit the road to provide healthcare professionals with an opportunity to ...
February 24, 2023 — Qure.ai, a leading provider of artificial intelligence (AI) software for medical imaging, announced ...
February 22, 2023 — According to an accepted manuscript published in ARRS’ American Journal of Roentgenology (AJR) ...
February 22, 2023 — In January 2023, the U.S. Food and Drug Administration (FDA) published the final rule: Radiological ...
This summer, the Philips Radiology Experience Tour has been bringing Philips imaging modalities directly to the ...
February 22, 2023 — Medical imaging AI specialist Avicenna.AI announced the launch of CINA-iPE, a CE-marked AI tool that ...
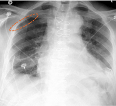
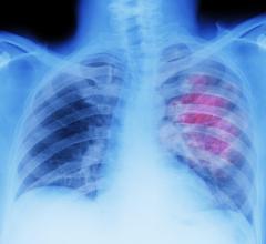
February 15, 2023 — Chest CT revealed persistent lung abnormalities in patients two years after COVID-19, according to a ...
February 15, 2023 — Nano-X Imaging Ltd, an innovative medical imaging technology company, announced that its deep ...
The healthcare industry faces many different types of obstacles in today’s challenging marketplace. Staff shortages ...
February 6, 2023 — Varian, a Siemens Healthineers company, announced that it has received 510(k) clearance from the U.S ...
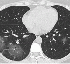
January 30, 2023 — Photon-counting detector CT reduces the amount of contrast needed for CT angiography (CTA) while ...
January 23, 2023 — Canon Medical Systems has released a new eBook featuring its new medical imaging roadshow. This new ...
January 20, 2023 — Artificial intelligence (AI) can reconstruct coarsely-sampled, rapid magnetic resonance imaging (MRI) ...
January 18, 2023 — Addressing the growing demand for medical imaging and a shortage of radiologists, Bayer announced the ...
According to the U.S. Centers for Disease Control and Prevention (CDC), one person dies every 37 seconds in the United ...
The Radiological Society of North America’s (RSNA) 108th Scientific Assembly and Annual Meeting (RSNA22) took place at ...
January 12, 2023 — GE HealthCare announced it has entered into an agreement to acquire IMACTIS, an innovator in the ...
March 17, 2023 