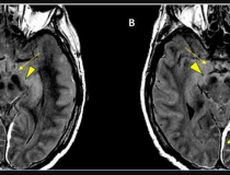
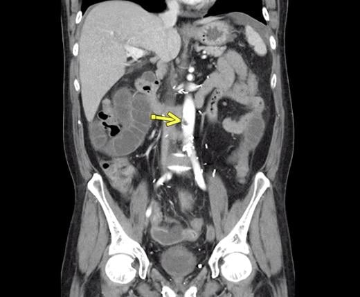
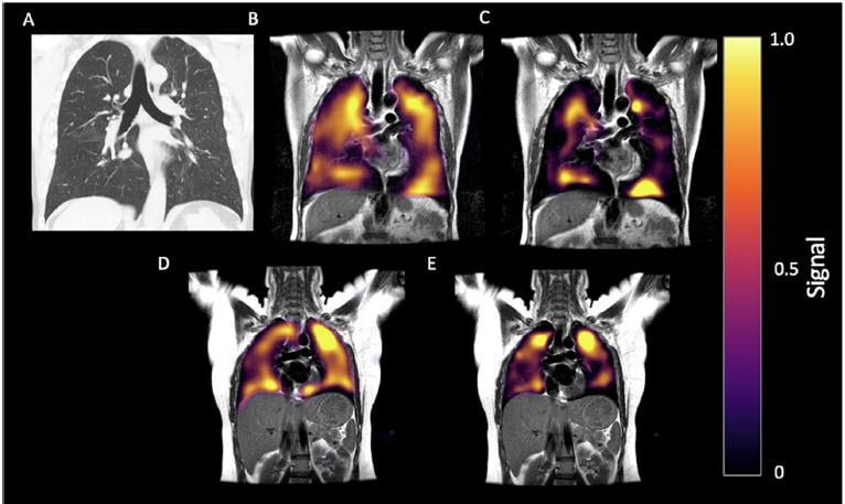
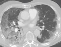
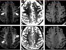
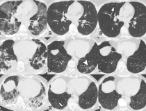
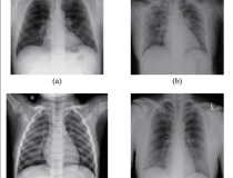
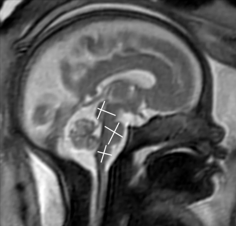
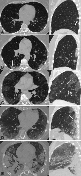
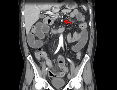
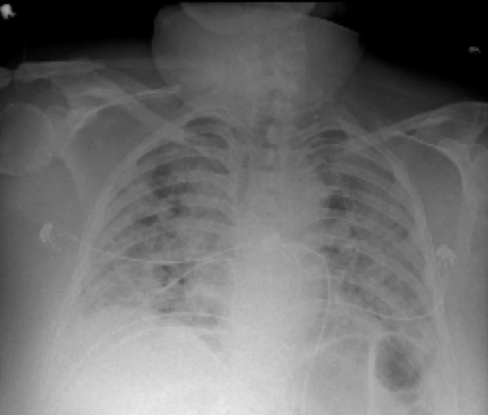
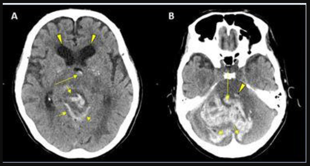
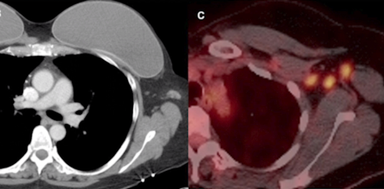
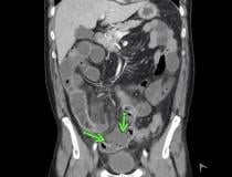
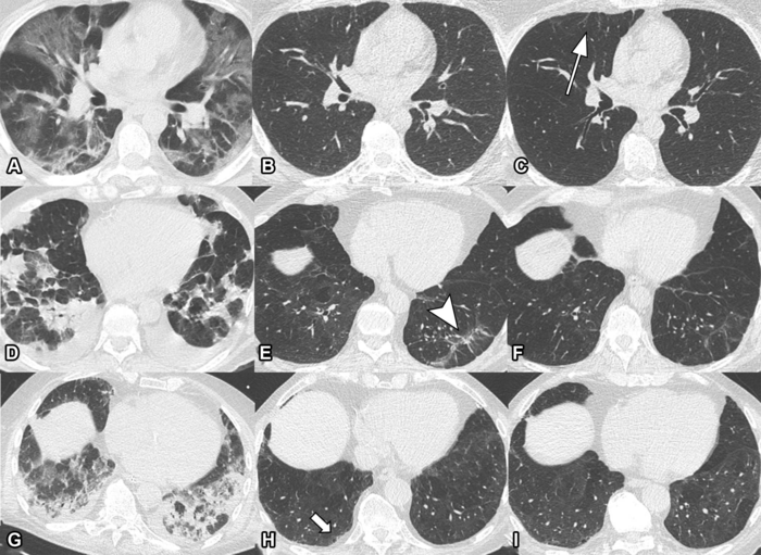
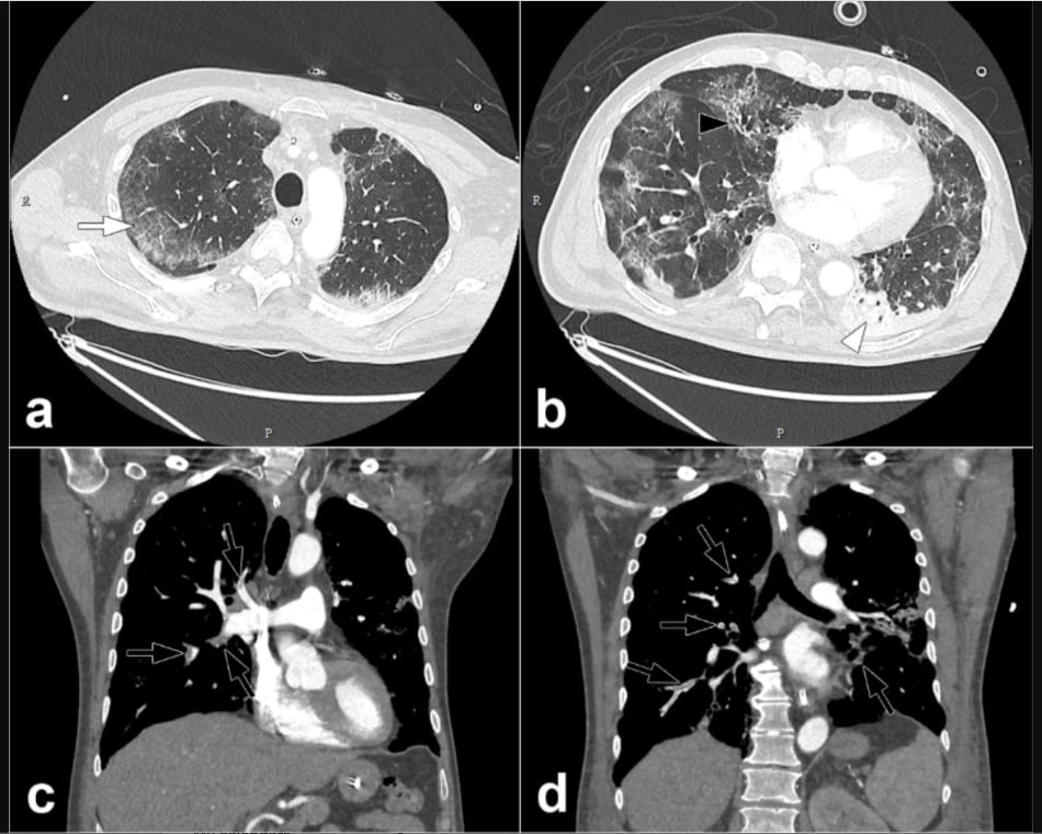
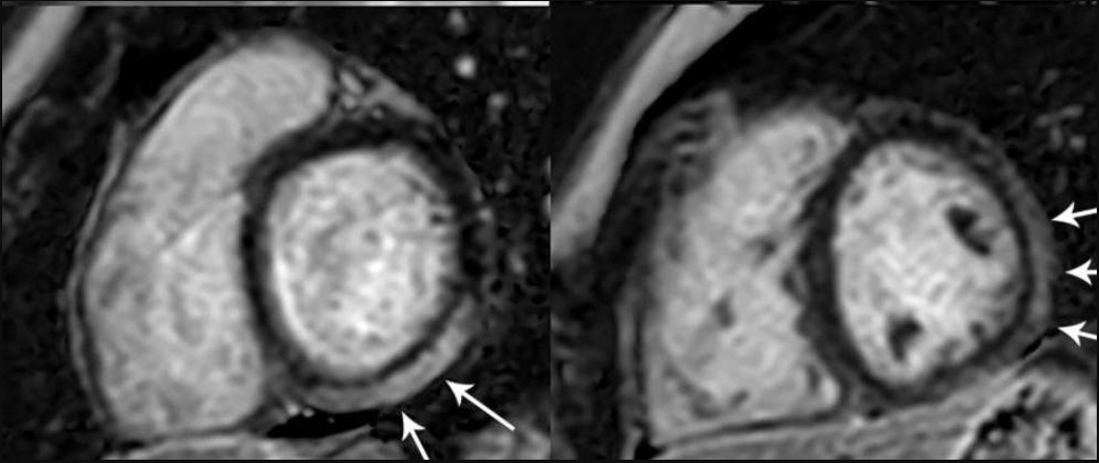
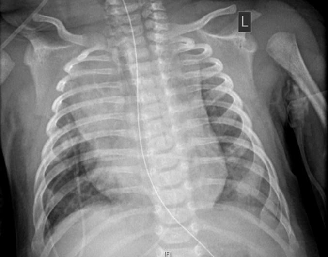
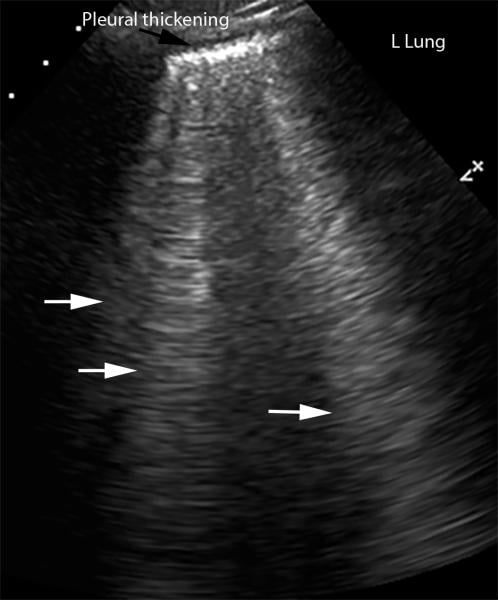
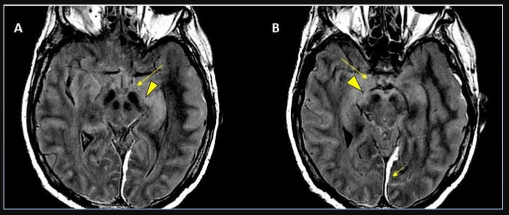
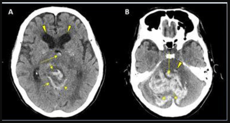
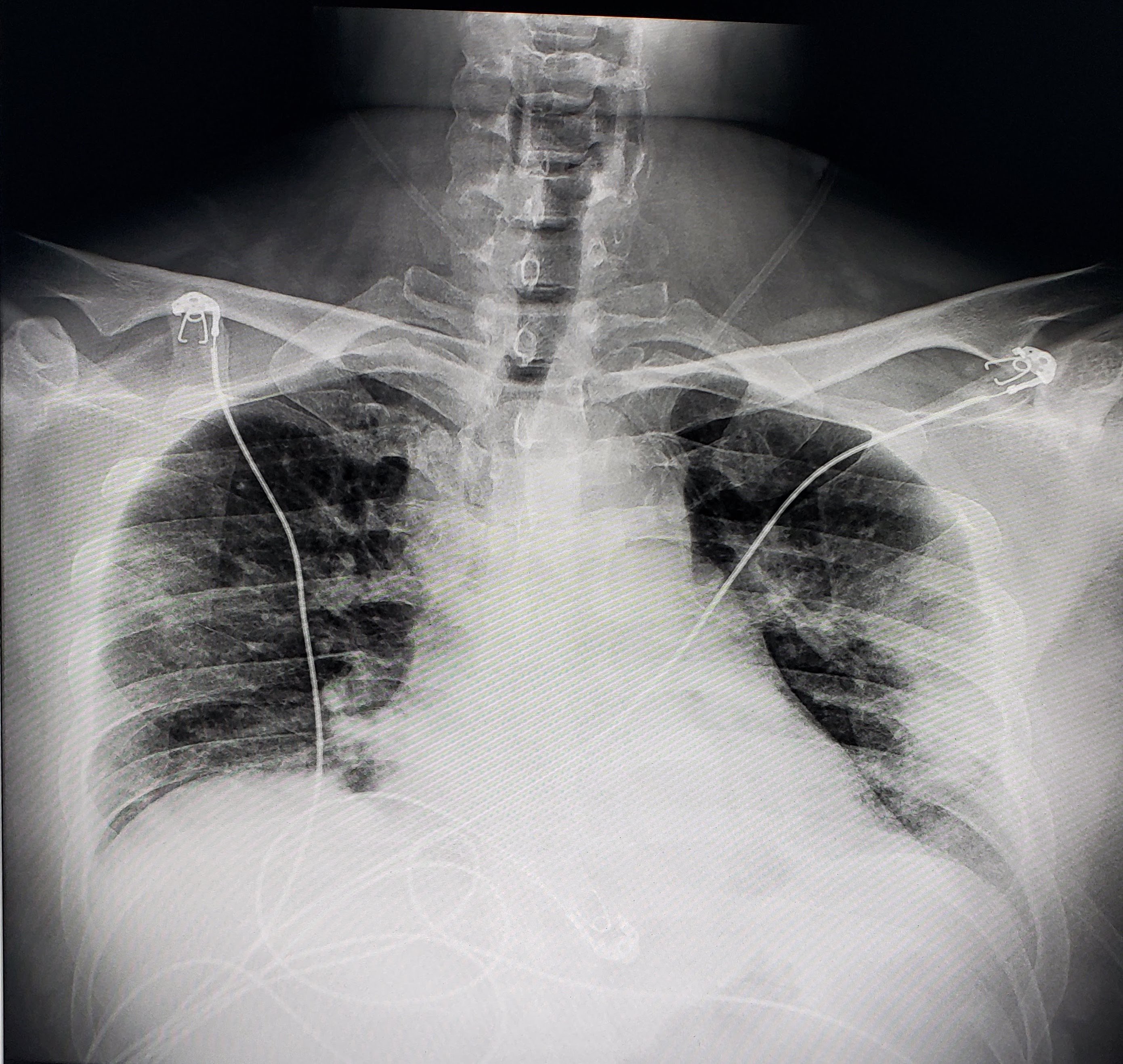
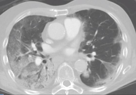
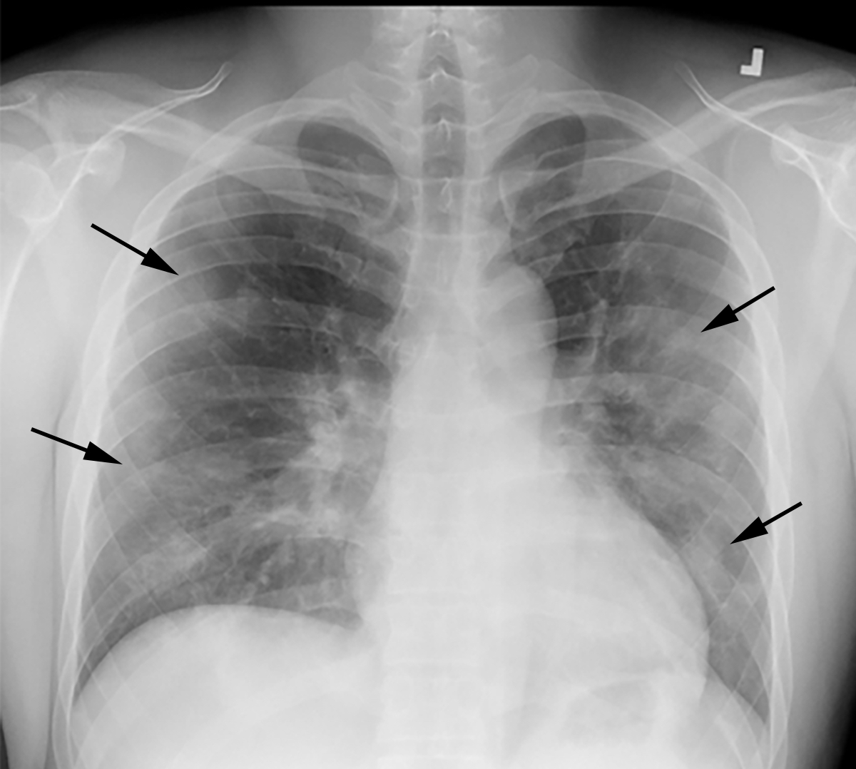
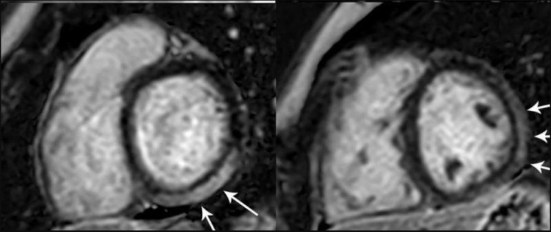
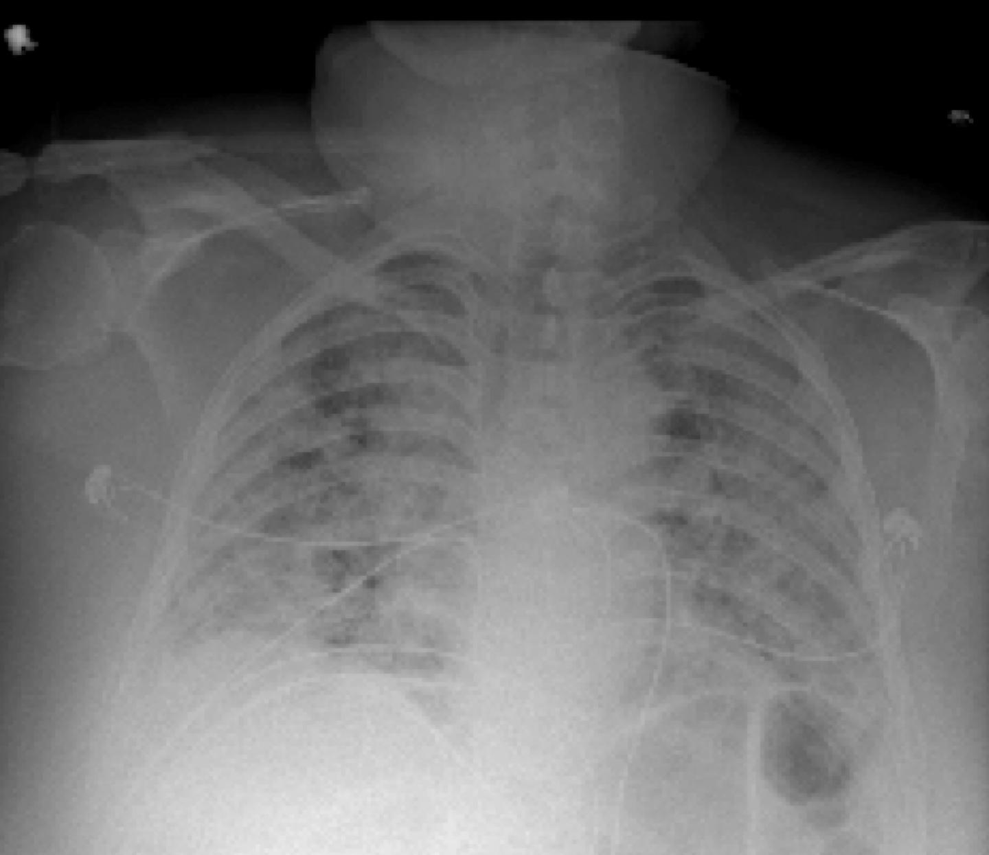
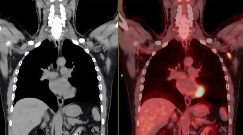
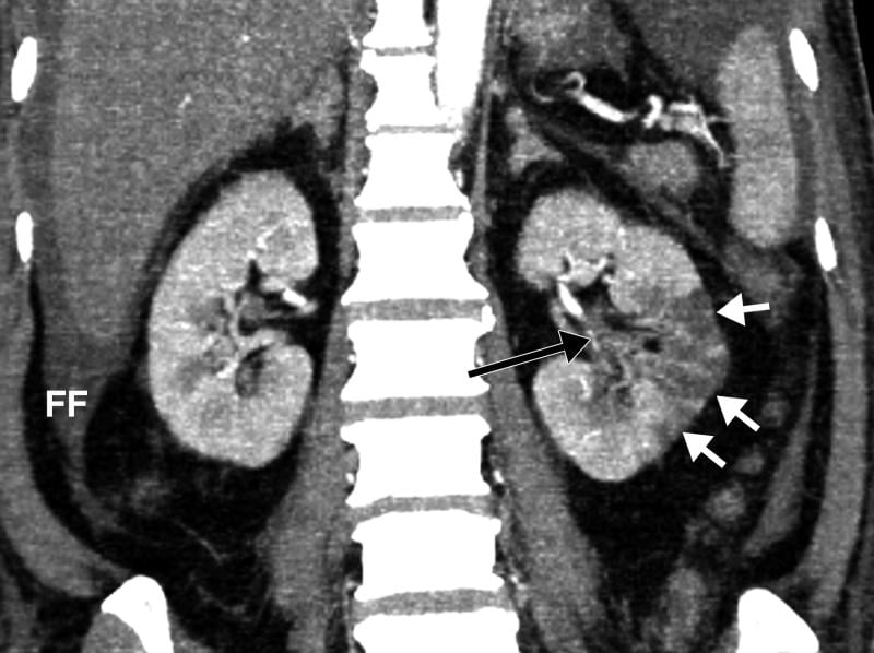
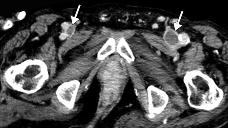
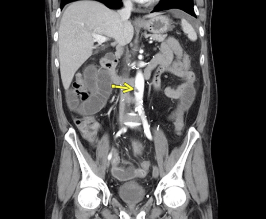
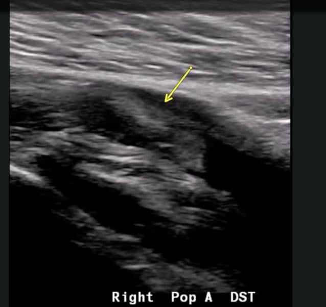
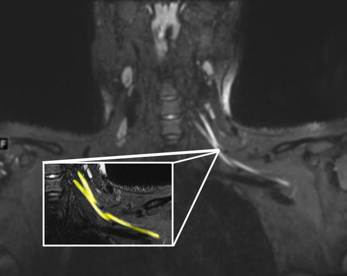
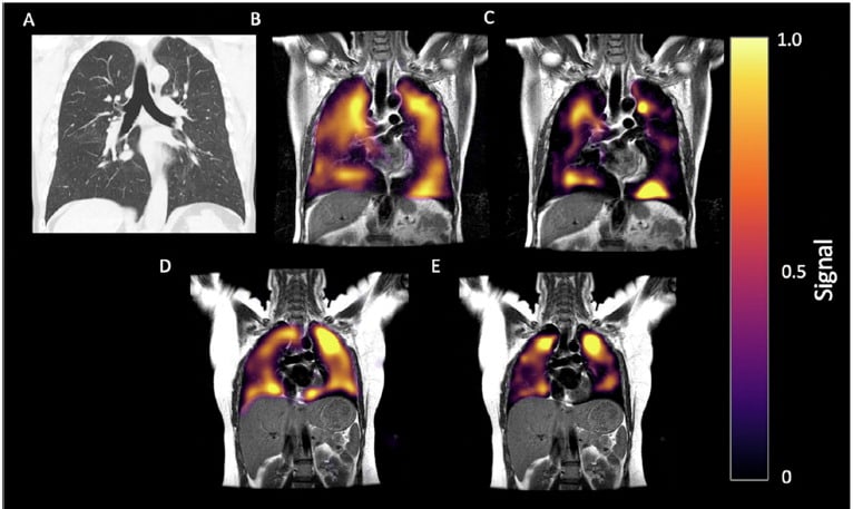
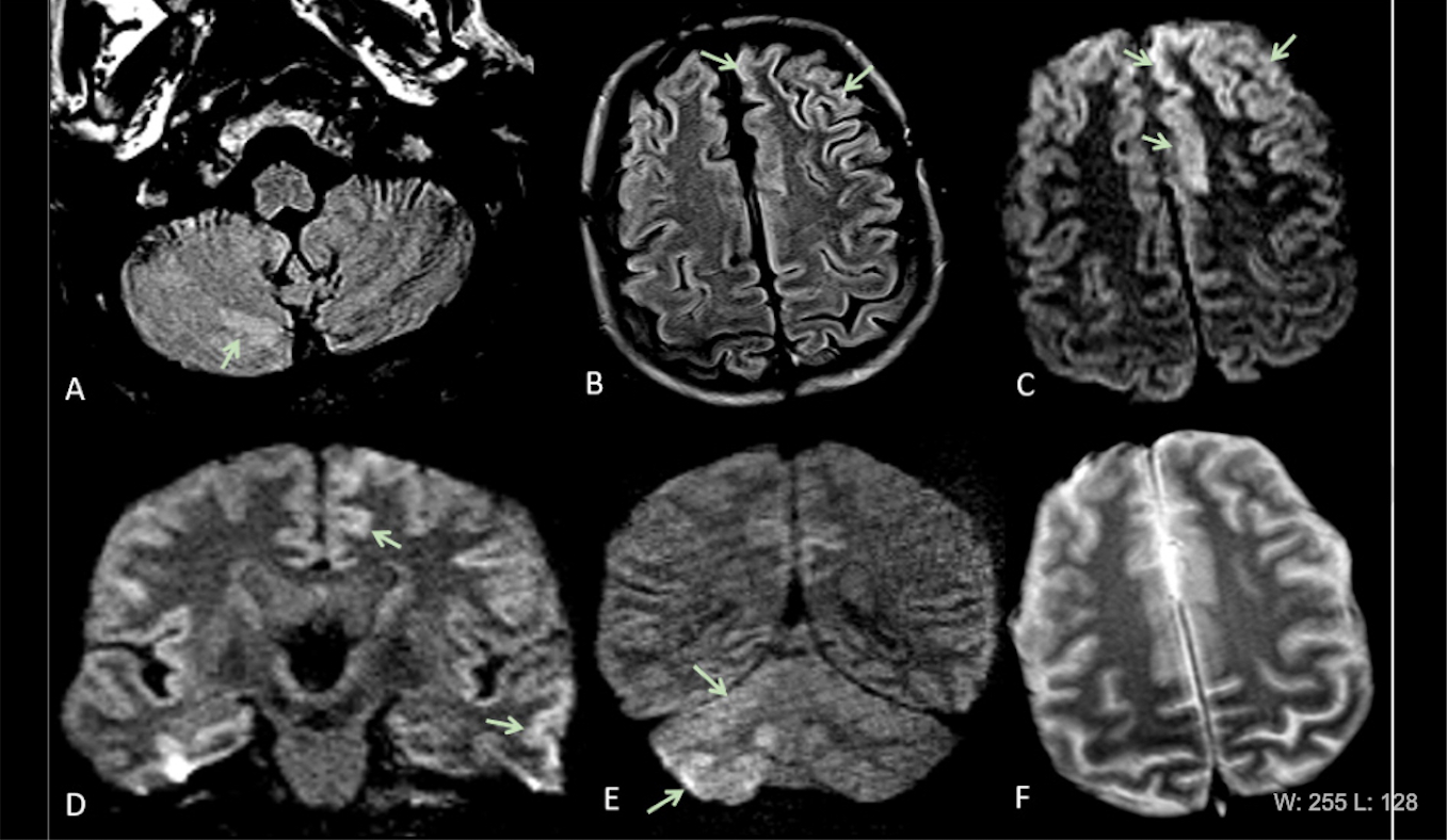
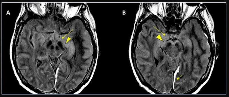
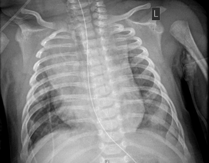
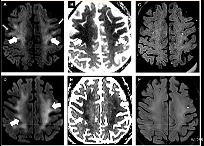
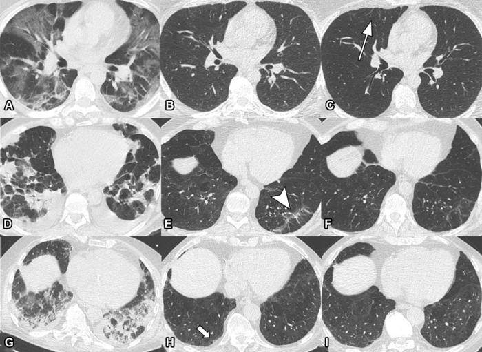
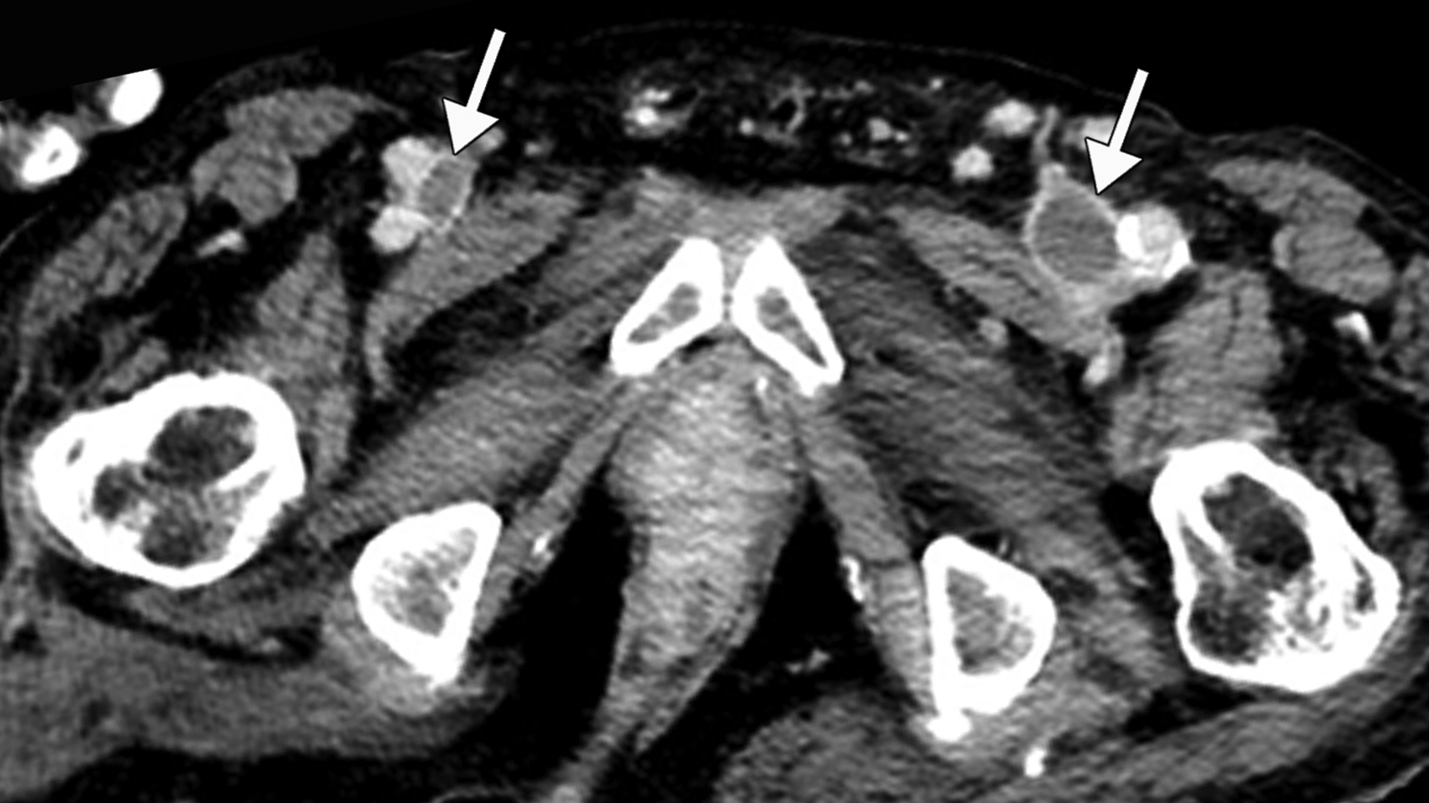
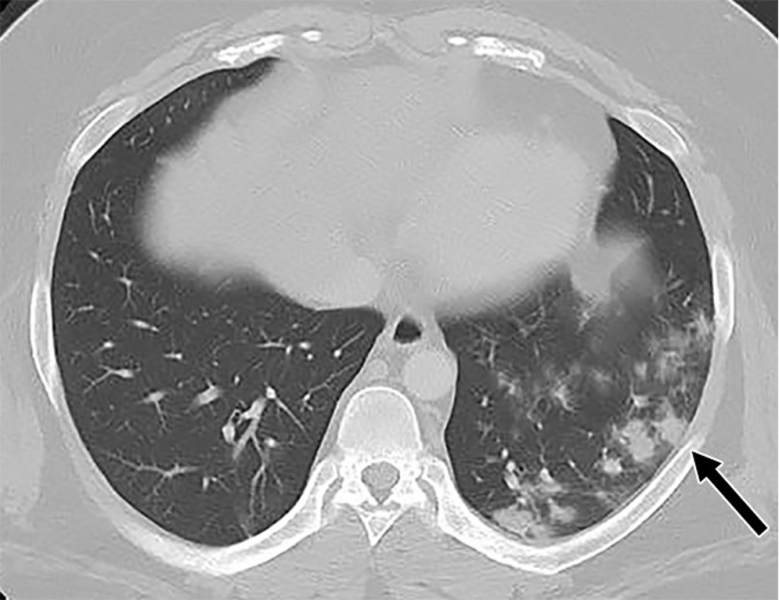
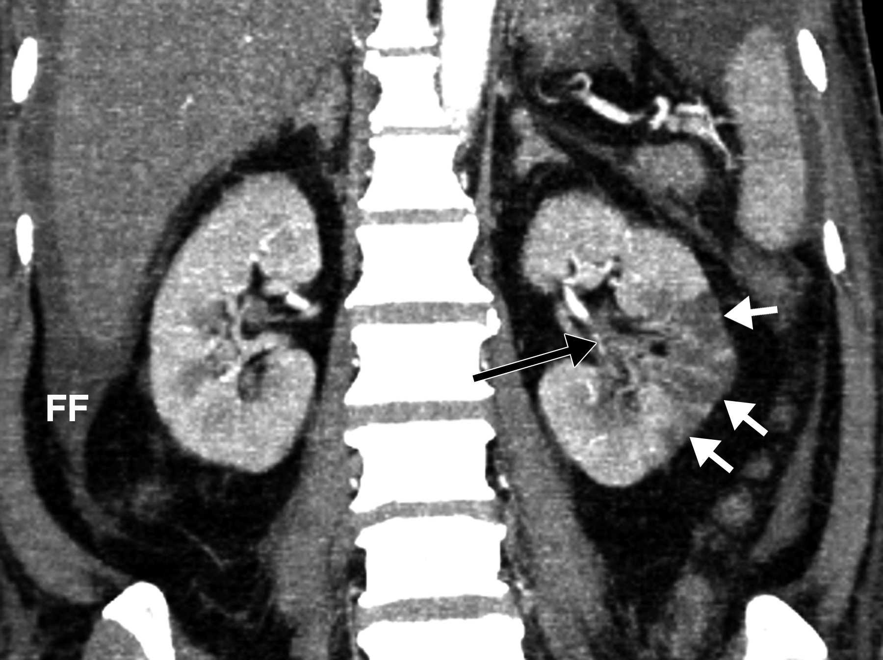
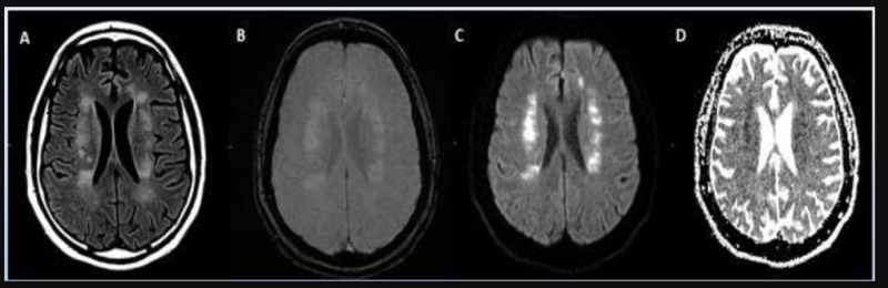
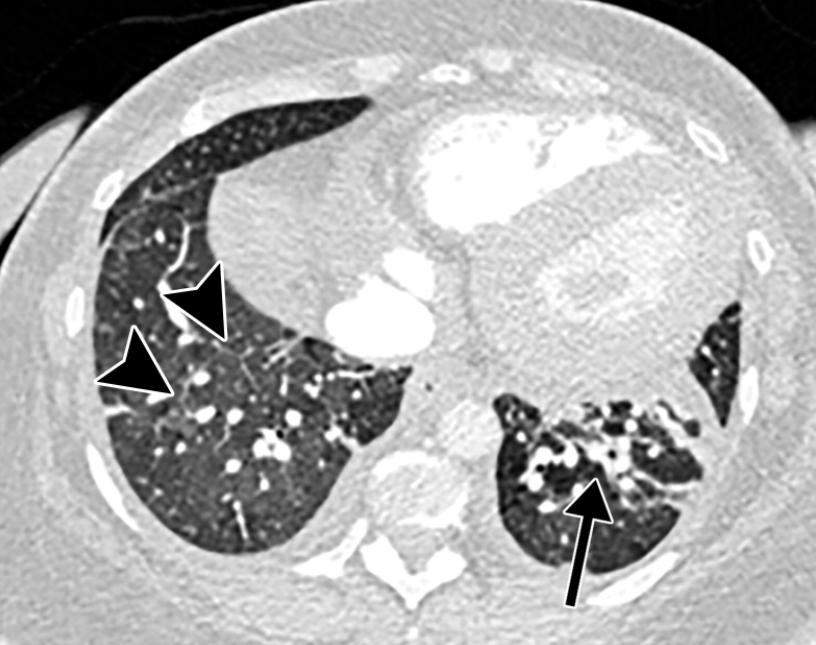
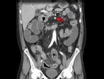
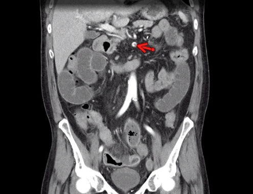
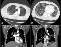
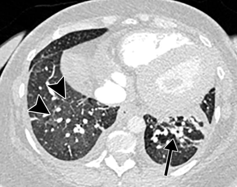
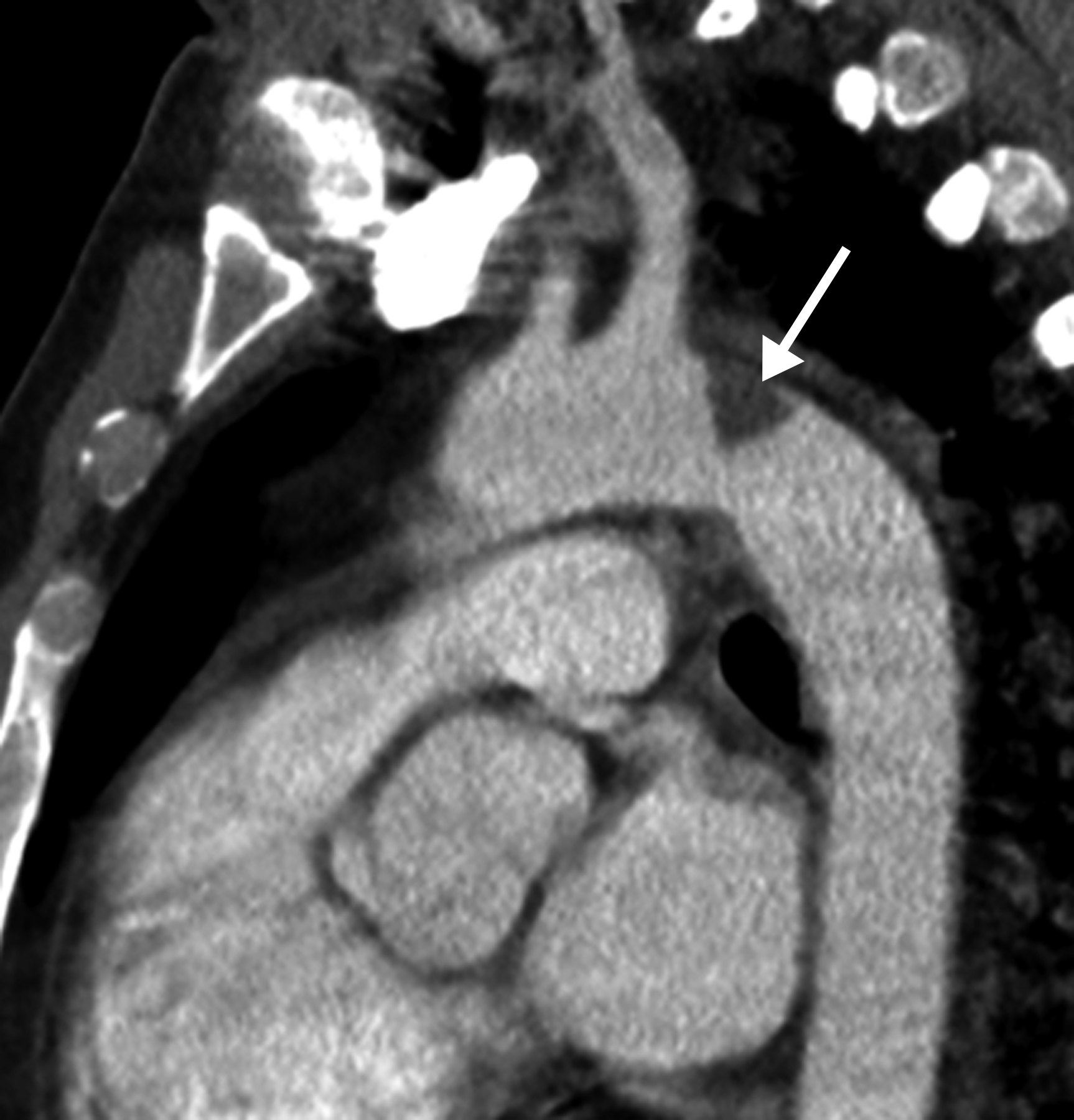
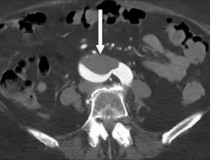
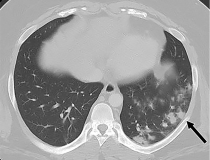
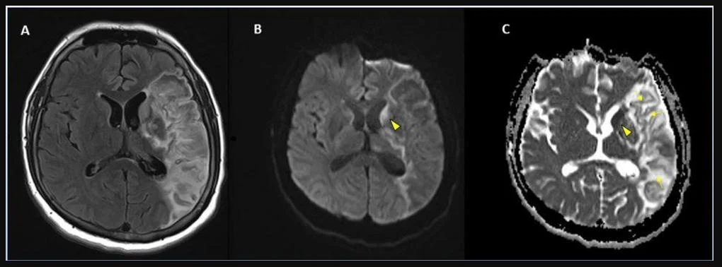
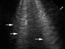
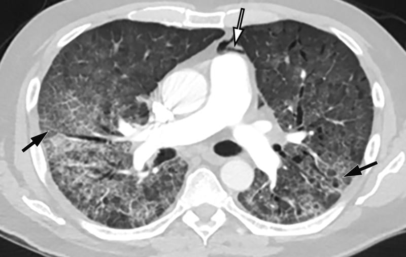
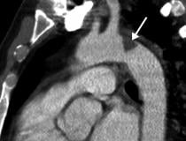
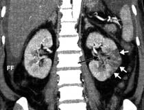
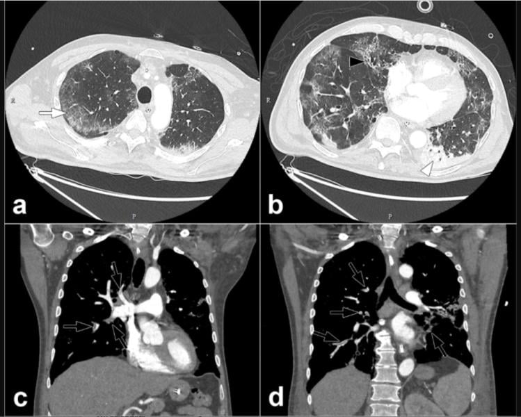
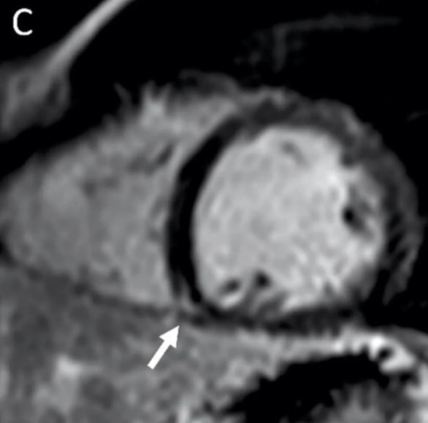
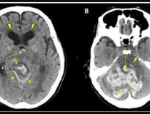
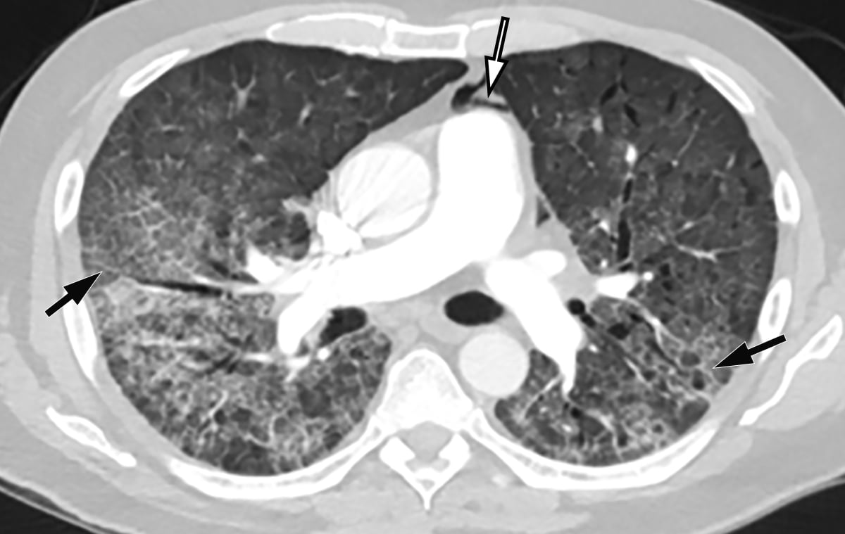
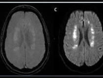
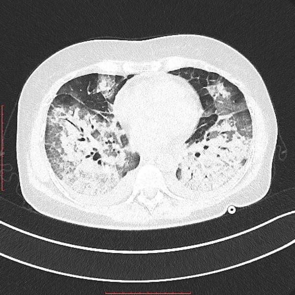
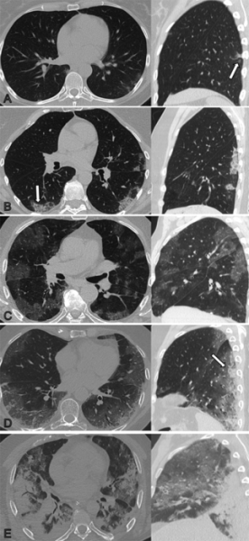
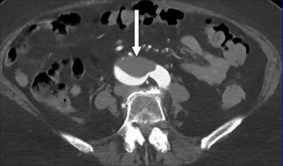
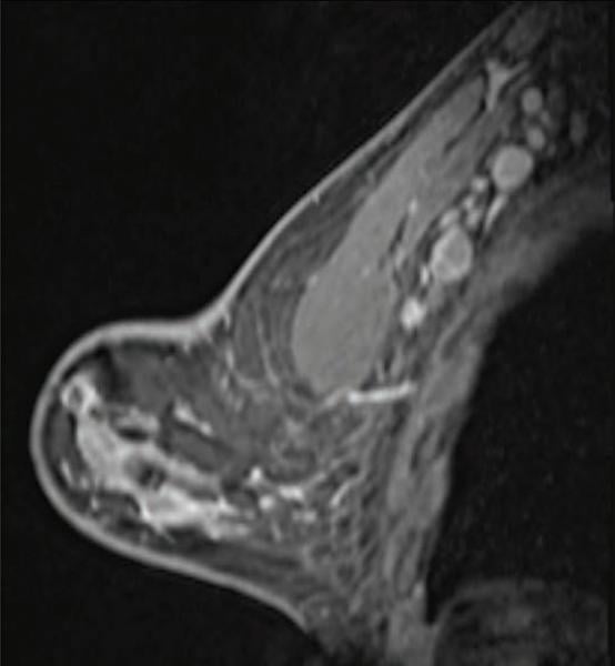
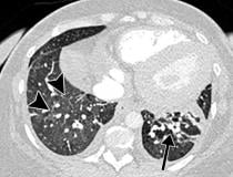
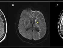
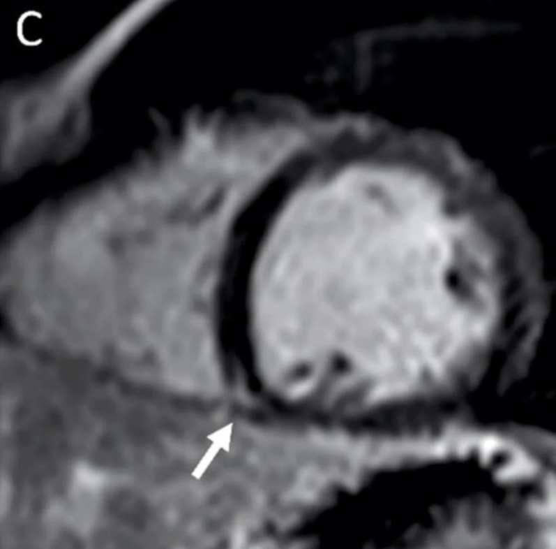
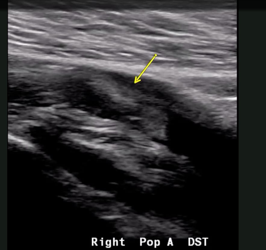
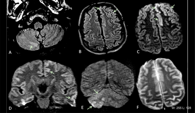
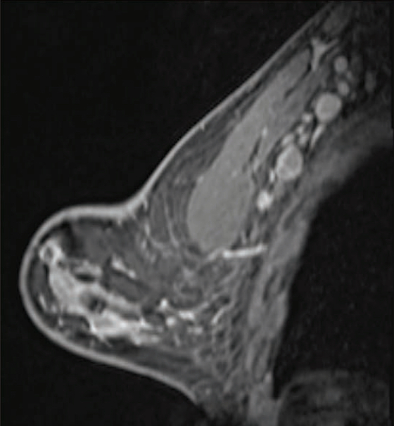
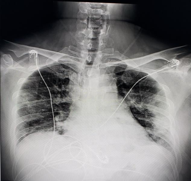
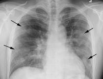
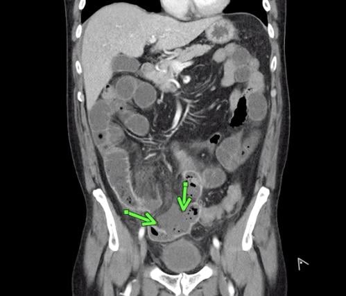
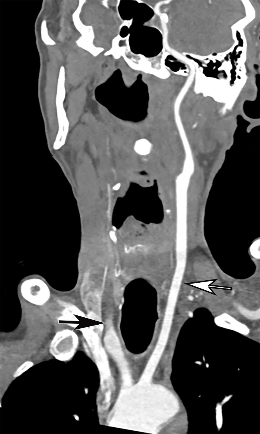
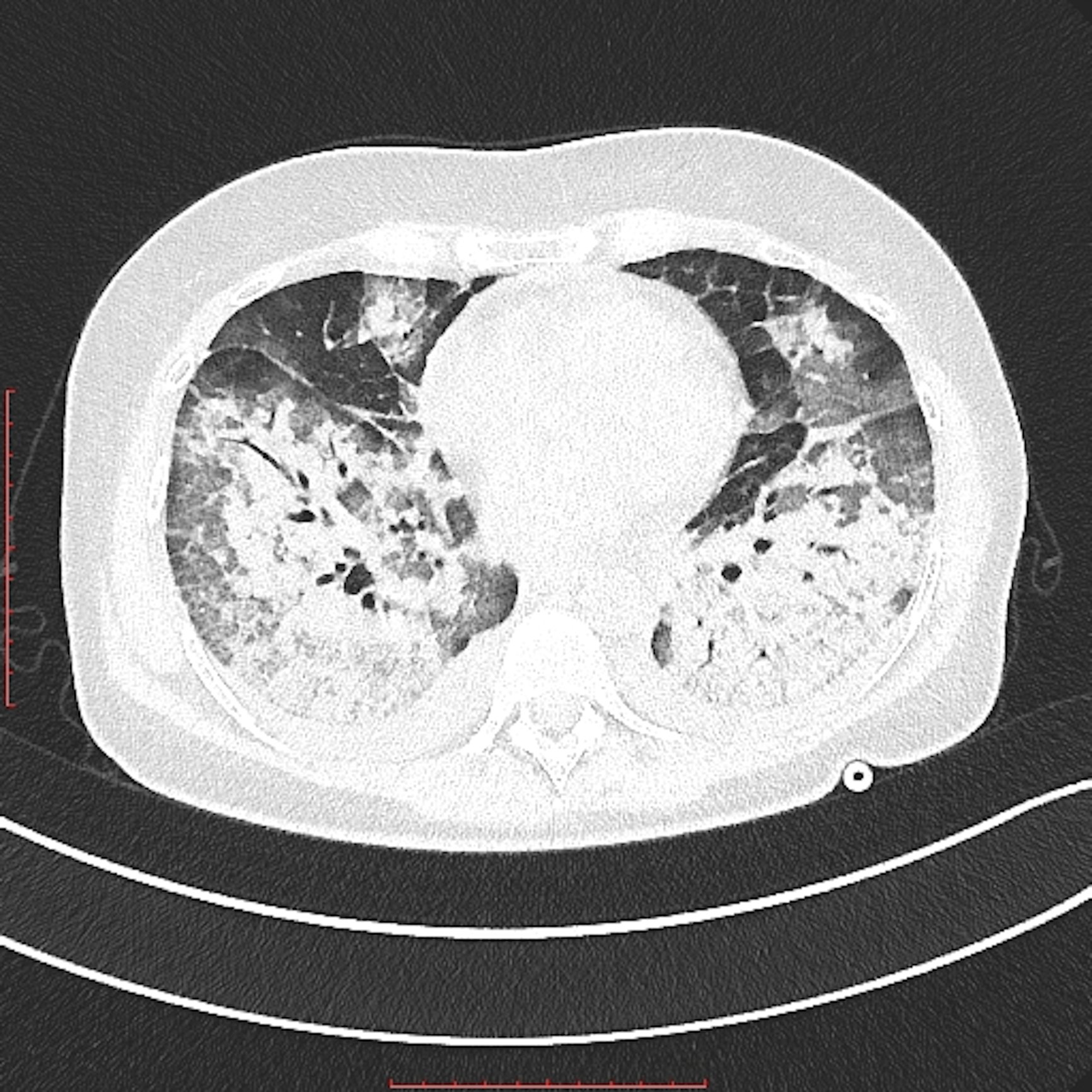
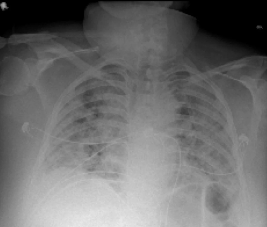
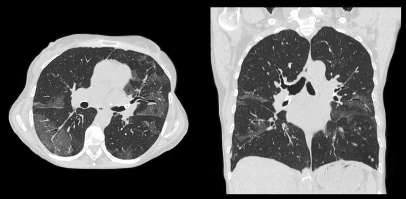
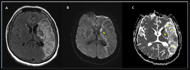
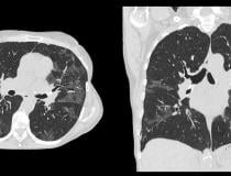
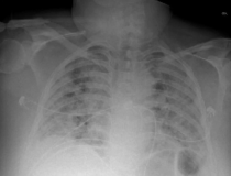
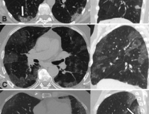
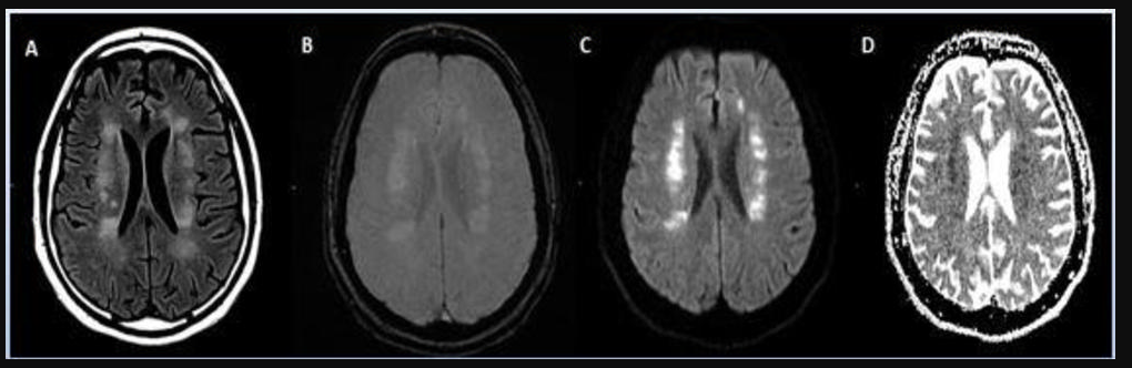
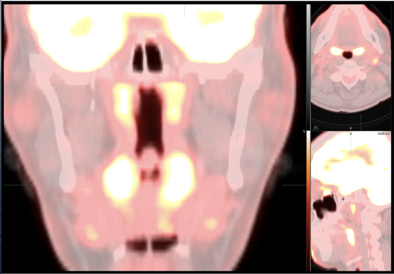
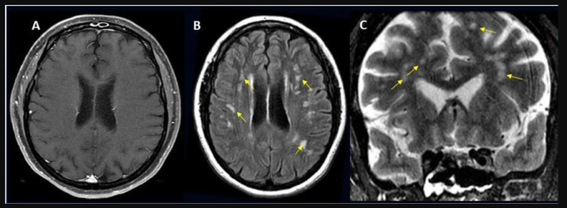
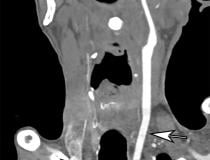
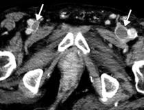
This photo gallery shows the variety of radiological presentations of COVID-19 (SARS-CoV-2) in medical imaging, including computed tomography (CT), radiograph X-rays, ultrasound, echocardiograms and magnetic resonance imaging (MRI). The radiology images show examples of typical COVID pneumonia in the lungs and the numerous complications the virus causes in the body in multiple organs, including the brain, kidneys, heart, abdomen and vascular system.
Ultrasound, especially hand-held ultrasound imaging devices, have become a primary imaging modality for novel coronavirus because of the ease to bag the device and sterilize it after use. CT and mobile X-ray systems are also used as front-line imaging systems for COVID-positive or suspected COVID patients.
The images were collected from physicians, study authors, universities and hospitals, the National Institutes of Health (NIH), the Radiological Society of North America (RSNA), the American College of Radiology (ACR), Centers for Disease Control and Prevention (CDC) and radiology technology vendors.
CLICK on the images below to show the caption information.
New images will be added throughout 2022, as the world continues to face the struggles of the Omicron variant. Image submissions with caption information can be sent to [email protected].
Watch the related VIDEO: How to Image COVID-19 and Radiological Presentations of the Virus — Interview with Margarita Revzin, M.D.