May 29, 2018 — A Loyola Medicine study has found that new ultrasound guidelines can reliably identify pediatric patients ...
Pediatric Imaging
News and new technology innovations for pediatric imaging can be found on this channel.
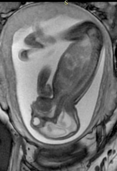
Below is a collection of prenatal ultrasound pictures from the Imaging Technology News (ITN) archive. Use the arrows to ...
April 25, 2018 – Nemours Children’s Health System, a Florida-based health system with locations in six states, is now ...
Playing sports is good for all ages: it helps participants stay in shape, learn how to organize their time, and help ...
March 19, 2018 — Artificial intelligence (AI) platform provider EnvoyAI recently announced a new partnership with 16 Bit ...
March 8, 2018 – Children often find it difficult to remain still for magnetic resonance imaging (MRI) examinations, but ...
FUJIFILM Medical Systems U.S.A., Inc. and FUJIFILM SonoSite Inc., are offering a full-suite pediatric solutions ...
Medical imaging plays an increasing role in the accurate diagnosis and treatment of numerous medical conditions. The ...
February 14, 2018 — The Association for Medical Imaging Management (AHRA) and Canon Medical Systems recently announced ...
ITN Associate Editor Jeff Zagoudis demonstrates several mobile apps designed to help pediatric patients learn what an ...
January 30, 2018 — Bracco Diagnostics Inc. announced the labeling of its contrast agent MultiHance has obtained U.S ...
FUJIFILM Medical Systems U.S.A., Inc. and FUJIFILM SonoSite Inc., are offering a full-suite pediatric solutions ...
January 26, 2018 — Most people have had an X-ray taken at some time during their lives — perhaps checking for a possible ...
January 23, 2018 – In a new international collaborative study between The Chinese University of Hong Kong and Ann & ...
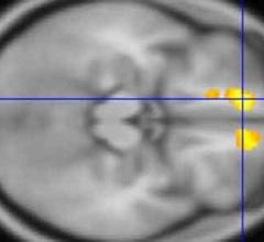
January 9, 2018 — School-age football players with a history of concussion and high impact exposure undergo brain ...
It looked like the autistic child at the Children's Hospital of Georgia at Augusta University (AU) Health would have to ...
January 2, 2018 — Information from brain magnetic resonance images (MRIs) can help identify people with attention ...
December 29, 2017 — Radiologists can enhance the quality and effectiveness of care with the newest release of the ACR ...
December 21, 2017 — The U.S. Food and Drug Administration (FDA) published a final guidance document entitled “Pediatric ...
When it comes to pediatric patients, having all the most advanced technology in the world counts for next to nothing if ...
Dianna Bardo M.D., director of body MR and co-director of the 3-D Innovation Lab at Phoenix Children's Hospital ...
November 13, 2017 — Aspect Imaging announced last week that it received CE marking for the neonatal-dedicated Embrace ...
November 8, 2017 — Fujifilm Healthcare will showcase a variety of imaging and information technology solutions at the ...
October 23, 2017 — Scientists have devised a portable, noninvasive direct approach to image infant brain activity in a ...
May 29, 2018 