Let’s face it, kids hurt themselves. They jump off structures that are too high, slip off monkey bars, or some are born ...
Pediatric Imaging
News and new technology innovations for pediatric imaging can be found on this channel.
June 1, 2021 — According to an open-access Editor's Choice article in ARRS' American Journal of Roentgenology (AJR) ...
May 18, 2021 — A team of researchers funded by the National Institutes of Health has developed a new ultrasound ...
Playing sports is good for all ages: it helps participants stay in shape, learn how to organize their time, and help ...
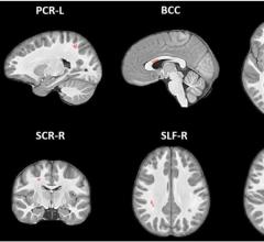
March 25, 2021 — A large study of brain magnetic resonance imaging (MRI) scans from 11,679 nine- and ten-year-old ...
March 15, 2021 — Magnetic resonance imaging (MRI) scanning can more precisely define and detect head, neck, thoracic ...
March 4, 2021 — Benign bone tumors may be present in nearly 20 percent of healthy children, based on a review of ...
Medical imaging plays an increasing role in the accurate diagnosis and treatment of numerous medical conditions. The ...
March 3, 2021 — Philips and The Walt Disney Company EMEA announced they are teaming up to test the effects of custom ...
February 17, 2021 — Diffusion weighted imaging and machine learning can successfully classify the diagnosis and ...
February 3, 2021 — A study led by UPMC Children's Hospital of Pittsburgh and the University of Pittsburgh School of ...
FUJIFILM Medical Systems U.S.A., Inc. and FUJIFILM SonoSite Inc., are offering a full-suite pediatric solutions ...
January 28, 2021 — Gaumard Scientific Co., a healthcare simulation company committed to industry leadership through ...
December 4, 2020 — Bringing the comfort of a personal movie theater into the magnetic resonance imaging (MRI) scanning ...
December 2, 2020 — Yale New Haven Children's Hospital (YNHCH) opened its state-of-the-art neonatal intensive care unit ...
It looked like the autistic child at the Children's Hospital of Georgia at Augusta University (AU) Health would have to ...
December 1, 2020 — Based on its recent analysis of the global neonatal intensive care unit magnetic resonance imaging ...
November 20, 2020 — Spectrum Dynamics Medical, a leading innovator in diagnostic imaging solutions, announces that its ...
November 4, 2020 — Carestream Health’s DRX-Revolution Nano will be in the spotlight as the company showcases its ...
GE Healthcare is highlighting artificial intelligence (AI) automation features on its Voluson Swift ultrasound platform ...
September 11, 2020 — Intel and Samsung Medison, a division of Samsung Electronics and manufacturer of ultrasound devices ...
August 26, 2020 — The global pediatric imaging market size is expected to reach $12.2 billion by 2027, registering a ...
August 24, 2020 — Computed tomography (CT) is used at a higher rate than ultrasound in children with developmental and ...
August 17, 2020 — A study in the American Journal of Roentgenology (AJR) shows that low-dose protocols for digital ...
July 02, 2021 