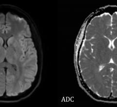
September 29, 2022 — According to an open-access Editor’s Choice article in ARRS’ American Journal of Roentgenology (AJR ...
Pediatric Imaging
News and new technology innovations for pediatric imaging can be found on this channel.
September 20, 2022 — Children and adolescents who have either recovered from COVID-19 or have long COVID show persistent ...
August 3, 2022 — The Jack Martin Fund (JMF) has built on its partnership with the Mount Sinai Health System to provide ...
Playing sports is good for all ages: it helps participants stay in shape, learn how to organize their time, and help ...
July 27, 2022 — Multitasking is not just an office skill. It’s key to functioning as a human, and it involves something ...
July 27, 2022 — St. Jude Children’s Research Hospital has announced that Zoltan Patay, MD, PhD, Department of Diagnostic ...
March 9, 2022 — According to an open-access Editor’s Choice article in ARRS’ American Journal of Roentgenology (AJR) ...
Medical imaging plays an increasing role in the accurate diagnosis and treatment of numerous medical conditions. The ...
February 23, 2022 — The LEGO Foundation has announced it will donate 600 LEGO MRI Scanners to hospitals worldwide to ...
February 4, 2022 — The American Roentgen Ray Society (ARRS) announced that Edward Y. Lee, MD, MPH of Boston Children’s ...
January 18, 2022 — Magnetic resonance imaging (MRI) is a powerful medical tool that provides detailed images of ...
FUJIFILM Medical Systems U.S.A., Inc. and FUJIFILM SonoSite Inc., are offering a full-suite pediatric solutions ...
January 12, 2022 — According to an article in ARRS’ American Journal of Roentgenology (AJR), whole-spine MRI commonly ...
December 24, 2021 — Newborn babies with heart defects frequently exhibit abnormal extracardiac development of the brain ...
December 15, 2021 — Diagnosis of community acquired pneumonia in children usually involves X-rays, despite ...
It looked like the autistic child at the Children's Hospital of Georgia at Augusta University (AU) Health would have to ...
December 1, 2021 — In the first MRI-based study to investigate prenatal alcohol exposure, researchers found significant ...
November 23, 2021 — Researchers at Yale University analyzing specialized MRI exams found significant changes in the ...
November 22, 2021 — Adolescents and young adults with post-concussive symptoms who suffered three to five concussions ...
November 5, 2021 — The U.S. Food and Drug Administration (FDA) authorized the emergency use of the Pfizer-BioNTech COVID ...
October 6, 2021 — According to ARRS’ American Journal of Roentgenology (AJR), liver stiffness measurements (LSM) ...
August 12, 2021 — RSNA 2021 will require proof of COVID-19 vaccination from all in-person attendees and exhibitors at ...
July 9, 2021—According to ARRS’ American Journal of Roentgenology (AJR), reduced-dose CT depicts greater than 90% of ...
Let’s face it, kids hurt themselves. They jump off structures that are too high, slip off monkey bars, or some are born ...
September 29, 2022 