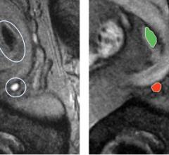
October 26, 2020 — Adding the advanced PET radiotracer fluciclovine to conventional imaging to help guide radiation ...
Prostate Cancer
News and new technology innovations concerning how imaging technology can help diagnose and treat prostate cancer can be found on this channel.
October 24, 2020 — A study from Winship Cancer Institute of Emory University (Winship) has the potential to change how ...
October 21, 2020 — Quantib, a market leader in artificial intelligence solutions for radiology, today announced that it ...
Detecting metastatic disease early is key. Sand Lake Imaging, Florida, provides great value to both patients and ...
October 20, 2020 — Ezra, a NY-based startup transforming early cancer screening using magnetic resonance imaging (MRI) ...
October 2, 2020 — Radiation oncologists expressed serious concerns about a new private insurance coverage policy that ...
September 8, 2020 — Approved by the US Food and Drug Administration (FDA) in 2015 for prostate tissue ablation, the high ...
July 28, 2020 — A study published in The Lancet Digital Health by UPMC and University of Pittsburgh researchers ...
July 15, 2020 — Targeted radionuclide therapy has been found to create a favorable tumor microenvironment in prostate ...
July 1, 2020 — Prostate MRI is an emerging technology used to identify and guide treatment for prostate cancer and has ...
May 12, 2020 — The novel radiopharmaceutical 18F-PSMA-1007 is both effective and readily available for detecting ...
March 30, 2020 — In the wake of the COVID-19 pandemic, a team of radiation oncologists from the U.S. and U.K. is ...
March 23, 2020 — Results from a randomised controlled trial involving 300 prostate cancer patients find that a molecular ...
March 16, 2020 — The Annual Report to the Nation on the Status of Cancer finds that cancer death rates continued to ...
March 5, 2020 — Using a combination of magnetic resonance imaging (MRI) to target and sample suspicious prostate tissue ...
January 20, 2020 — Researchers at Karolinska Institutet in Sweden and Tampere University in Finland have developed a ...
January 13, 2020 — The cancer death rate declined by 29 percent from 1991 to 2017, including a 2.2 percent drop from ...
January 13, 2020 — Researchers at Radboud university medical center have developed a "deep learning" system that is ...
January 13, 2020 — When a non-scientist tries to imagine a scientist, the image that often arises is one of a somewhat ...
January 3, 2020 — Nearly one in six deaths from prostate cancer could be prevented if targeted screening was introduced ...
December 24, 2019 — SPL Medical announced today that the first patient has been successfully diagnosed with suspected ...
October 26, 2020 