July 22, 2021 — According to ARRS’ American Journal of Roentgenology (AJR), the standardized non-invasive clear cell ...
Clinical Trials
Clinical trials and studies about imaging technology can be found on this channel.
July 21, 2021 — Registration is now open for the Radiological Society of North America (RSNA) 107th Scientific Assembly ...
July 21, 2021 — Computed tomography (CT) scans for patients with concussion provide critical information about their ...
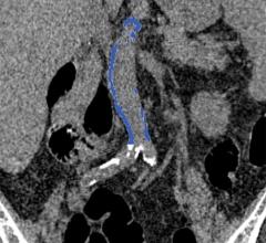
July 21, 2021 — A new study published in JAMA Neurology suggests that certain features that appear on computed ...
July 15, 2021 — Just as helicopter traffic reporters use their "bird's eye view" to route drivers around roadblocks ...
July 15, 2021 — For any type of diagnostic test, technology that helps improve the reliability of test results is a ...
In a new study published in Radiology of more than 10,000 patients, researchers found that chest computed tomography (CT ...
July 1, 2021 — The University of Oxford announced commencement of enrollment for the Phase I PanDox study of ...
June 23, 2021 — According to a new study by the Harvey L. Neiman Health Policy Institute and the American College of ...
June 21, 2021 — A phase III clinical trial has validated the effectiveness of the prostate-specific membrane antigen ...
June 15, 2021 — The prevalence of genetic mutations associated with breast cancer in Black and white women is the same ...
June 10, 2021 — Engineers at Duke University have demonstrated a prototype X-ray scanning machine that reveals not just ...
June 7, 2021 — The U.S. Food and Drug Administration (FDA) approved Aduhelm (aducanumab) for the treatment of Alzheimer ...
May 26, 2021 — There are increasing reports of persistent symptoms after a patient recovers from COVID-19, now called ...
May 21, 2021 — An experimental drug that has shown promise in protecting healthy tissue from collateral damage caused by ...
May 19, 2021 — A small drug molecule that appears to protect normal tissue from the damaging effects of radiation, may ...
May 14, 2021 — Trained to see patterns by analyzing thousands of chest X-rays, a computer program predicted with up to ...
May 13, 2021 — Medical researchers at Flinders University have established a new link between high body mass index (BMI) ...
May 5, 2021 — For patients with brain metastases, amino acid positron emission tomography (PET) can provide valuable ...
April 29, 2021 — Using ultra-high field magnetic resonance imaging (MRI) to map the brains of people with Down syndrome ...
July 22, 2021 