November 4, 2020 — A recently developed data science pathway for fourth-year radiology residents will help prepare the ...
Artificial Intelligence
This channel includes news and technology innovations for artificial intelligence (AI) software, also referred to as deep learning, cognitive computing and machine learning. AI technology is being integrated in radiology for imaging appropriate use criteria (AUC), clinical decision support, predictive analytics and to assist radiologists with improved workflow.
November 4, 2020 — Artificial intelligence (AI) can enhance the performance of radiologists in reading breast cancer ...
November 4, 2020 — SenseTime, an artificial intelligence (AI) company, announced its AI-empowered software solution ...
Despite decades of progress in breast imaging, one challenge continues to test even the most skilled radiologists ...
November 4, 2020 — In its virtual booth at the 2020 Radiological Society of North America (RSNA) annual meeting ...
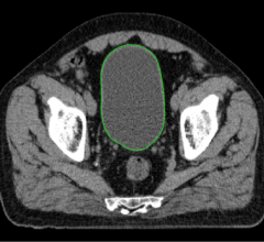
November 4, 2020 — A powerful type of artificial intelligence known as deep learning can help physicians detect ...
November 3, 2020 — Siemens Healthineers and University of Iowa Health Care have established a 10-year Value Partnership ...
SPONSORED CONTENT — EnsightTM 2.0 is the newest version of Enlitic’s data standardization software framework. Ensight is ...
November 3, 2020 — Konica Minolta Healthcare Americas, Inc., announced that SimonMed Imaging, one of the largest medical ...
November 2, 2020 — Hologic, Inc. announced the commercial availability in Europe of its 3DQuorum Imaging Technology ...
October 29. 2020 — DiA Imaging Analysis announced today that it has received 510(k) clearance from the U.S. Food and ...
Did you know that approximately one-third of all the data in world is created by the healthcare industry and that ...
October 28, 2020 — Northwestern Memorial Hospital is the first hospital in the United States to purchase Caption Health ...
GE Healthcare is highlighting artificial intelligence (AI) automation features on its Voluson Swift ultrasound platform ...
October 25, 2020 —Philips, a global leader in health technology, will showcase its latest advances in radiation oncology ...
Having the most efficient clinical workflows with enhanced diagnostic capabilities is a major goal for clinicians and ...
October 24, 2020 — An estimated 1.8 million new cancer cases will be diagnosed in the U.S. this year alone. With a ...
October 21, 2020 — Quantib, a market leader in artificial intelligence solutions for radiology, today announced that it ...
October 20, 2020 — Bioimaging technologies are the eyes that allow doctors to see inside the body in order to diagnose ...
October 20, 2020 — Ezra, a NY-based startup transforming early cancer screening using magnetic resonance imaging (MRI) ...
October 19, 2020 — Carestream recognizes the impact of artificial intelligence in radiology applications, and ...
October 13, 2020 — Given recent high-profile cases of COVID-19 and to aid in the ongoing fight against the pandemic in ...
October 9, 2020 — A team of researchers at the University of Minnesota recently developed and validated an artificial ...
October 2, 2020 — The Galan 3T and Orian 1.5T magnetic resonance imaging (MRI) platforms, both with Advanced intelligent ...
November 04, 2020 