Technology | Magnetic Resonance Imaging (MRI)

Canon Medical Systems USA Inc. received 510(k) clearance from the U.S. Food and Drug Administration (FDA) on its new premium magnetic resonance imaging (MRI) system, Vantage Orian 1.5T. The Vantage Orian represents a new standard in the premium wide bore 1.5T market, according to Canon, with new technology designed to boost productivity, enhance patient comfort and deliver diagnostic clinical confidence.

Time November 15, 2018
Home
Sponsored Content | Case Study | Enterprise Imaging

Centricity Clinical Archive Analytics uses Microsoft Azure and Power BI Embedded to derive intelligence from the data ...

Time November 16, 2018
Home
News | Mammography

Medical artificial intelligence (AI) software company Lunit will be returning to the 104th Radiological Society of North America (RSNA) annual meeting, Nov.25-30 in Chicago, launching its new solution for mammography—Lunit Insight for Mammography.

Time November 15, 2018
Home
Feature | By Greg Freiherr

For the first time at the RSNA meeting, vendors of interventional products will have a dedicated area in which to ...

Time November 16, 2018
Home
Sponsored Content | Podcast | Interventional Radiology

For the first time at the RSNA meeting, vendors of interventional products will have a dedicated area in which to ...

Time November 16, 2018
Home
News | Breast Density | Jeff Zagoudis, Associate Editor

Imaging Technology News extends its condolences to the family, friends and colleagues of Nancy M. Cappello, Ph.D., who could be called the founder of the breast density education movement in the U.S., on her passing on Nov. 15. A breast cancer survivor herself, Cappello passed away from secondary myelodyspastic syndrome (MDS), a bone marrow cancer that was a complication of her prior aggressive breast cancer treatments.

Time November 15, 2018
Home
News | Nuclear Imaging

GE Healthcare announced it is recalling its Millennium Nuclear Medicine Systems due to an incident in which the the top detector detached and fell onto the detector below it. No patient injuries have been reported, although there remains a risk of potential life-threatening bodily harm if the detector were to detach and fall during a patient exam. The U.S. Food and Drug Administration (FDA) has identified this as a Class I recall, the most serious type of recall.

Time November 15, 2018
Home
News | Artificial Intelligence

Life Image and Mendel.ai announced a new strategic partnership that will facilitate the adoption and enhancement of artificial intelligence (AI) in site selection and patient recruitment for oncology trials. The partnership will employ Life Image’s global network for sharing clinical and imaging data and Mendel.ai’s novel AI platform built to aid oncology clinical research by rigorously examining every piece of electronic medical record (EMR) data.

Time November 15, 2018
Home
News | Enterprise Imaging

Konica Minolta Healthcare Americas Inc. will showcase new features and tools for the Exa Enterprise Imaging platform at the 2018 Radiological Society of North America (RSNA) annual meeting, Nov. 25-30 in Chicago. Exa is comprised of multiple modules, including a picture archiving and communication system (PACS), radiology information system (RIS), billing and specialty viewers, across a single, shared database that can be used individually or together for a complete enterprise imaging experience.

Time November 14, 2018
Home
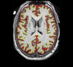
News | Neuro Imaging

Artificial intelligence (AI) technology improves the ability of brain imaging to predict Alzheimer’s disease, according to a study published in the journal Radiology.

Time November 14, 2018
Home
Technology | Ultrasound Imaging

SuperSonic Imagine recently exhibited at The Liver Meeting, held Nov. 9-13 in San Francisco, where the company introduced the U.S. Food and Drug Administration (FDA)-cleared Aixplorer Mach 30 ultrasound imaging system. Furthermore the Aixplorer SWE has also been cleared by the FDA as an aid to clinical management of adult and pediatric patients with liver disease such as fibrosis and steatosis.

Time November 14, 2018
Home
News | Contrast Media

Voyageur Minerals Ltd. signed a joint venture agreement with Chief Medical Supply Ltd (CM) of Calgary, Alberta to engage in the development, marketing and commercialization of human and animal radiographic contrast agents and related pharmaceutical products. The agreement will focus on development of barium sulfate contrast products.

Time November 14, 2018
Home
News | Women's Health

Disposable device manufacturer Merit Medical Systems Inc. announced the closing of a definitive merger agreement to acquire Cianna Medical Inc., headquartered in Aliso Viejo, Calif. The deal structure includes an upfront payment of $135 million with potential earn-out payments of an additional $15 million for achievement of supply chain and scalability metrics, and up to an additional $50 million for achievement of sales milestones.

Time November 14, 2018
Home
News | Radiology Imaging

The Radiological Society of North America (RSNA) Research & Education (R&E) Foundation recently announced the five recipients of its joint research grants with Canon Medical Systems USA for 2018. The 2018 Canon Medical Systems USA/RSNA Research Seed Grants were awarded to Pedram Heidari, M.D., Prashant Nagpal, M.D., and Adam Singer, M.D. The 2018 Canon Medical Systems USA Research Medical Student Grants went to Brandon Kenneth-Kouso Fields, BA, BM, and Anthony D. Yao, BS. These grants are made possible by Canon Medical Systems USA’s support of the RSNA R&E Foundation.

Time November 13, 2018
Home
News | Radiology Business

Medical Diagnostic Web (MDW) will debut the first radiology blockchain platform designed to connect all players in the diagnostic digital imaging ecosystem at the 2018 Radiological Society of North America (RSNA) annual meeting, Nov. 25-30 in Chicago. MDW aims to build new business opportunities for radiologists and streamline access to imaging providers for all stakeholders in the healthcare ecosystem, creating an open, transparent and fair marketplace.

Time November 13, 2018
Home
News | Artificial Intelligence

At the 2018 Radiological Society of North America annual meeting (RSNA 2018), Nov. 25-30 in Chicago, Subtle Medical will showcase SubtlePET, its artificial intelligence (AI)-powered technology. SubtlePET allows hospitals and imaging centers to deliver a faster and safer patient scanning experience, while enhancing exam throughput and provider profitability. The software is currently under U.S. Food and Drug Administration (FDA) 510k review and in pilot use in multiple university hospitals and imaging centers in the U.S. and abroad.

Time November 13, 2018
Home
News | Radiopharmaceuticals and Tracers

The University of Missouri Research Reactor (MURR) recently shipped its first batch of Iodine-131 (I-131), a radioisotope widely used for diagnosing and treating thyroid cancer and hyperthyroidism. The shipment makes MURR the only supplier of I-131 in the United States and the first U.S. supplier since the 1980s.

Time November 13, 2018
Home
News | Advanced Visualization

Canon Medical Systems USA and Applied Radiology will host a pair of expert-led forums in high-resolution imaging and liver assessment at the 2018 Radiological Society of North America (RSNA) annual meeting, Nov. 25-30 in Chicago.

Time November 13, 2018
Home
Sponsored Content | Videos | Digital Radiography (DR)

VIVIX-S 1417N is a multi-purpose portable flat panel detector for addressing busy workflow in medical facilities. Get ...

Time November 12, 2018
Home
Technology | Artificial Intelligence

With the integration of deep learning technology, ContextVision takes digital radiography to new levels with its latest image enhancement platform, Altumira.

Time November 09, 2018
Home
Subscribe Now