April 21, 2015 — The Proton Therapy Center in the Czech Republic treated its first Irish patient for prostate cancer ...
Prostate Cancer
News and new technology innovations concerning how imaging technology can help diagnose and treat prostate cancer can be found on this channel.
April 21, 2015 — A new prostate cancer screening technology developed by Australian scientists could be available to men ...
April 6, 2015 — Augmenix Inc. announced U.S. Food and Drug Administration (FDA) clearance of the SpaceOAR System ...
Detecting metastatic disease early is key. Sand Lake Imaging, Florida, provides great value to both patients and ...
March 25, 2015 — Prostate cancer patients with detectable prostate specific antigen (PSA) following radical ...
March 25, 2015 — A group of molecules in prostate-cancer cells could one day be used to distinguish which patients with ...
March 25, 2015 — Two new studies from the University of Virginia School of Medicine have cast doubt on the wisdom of ...
March 13, 2015 — Having a family history of prostate cancer among first-degree relatives may increase a woman's risk of ...
March 12, 2015 — Men with benign prostatic hyperplasia (BPH), have a new, breakthrough treatment option that is less ...
March 11, 2015 — A group of molecules discovered in prostate cancer cells could distinguish which patients should be ...
February 27, 2015 — GenomeDx Biosciences announced the publication of a positive validation study for the Decipher ...
February 23, 2015 — Researchers at the University of California Los Angeles (UCLA) have found that radiation therapy is ...
February 18, 2015 — Sonus Imaging developed a new, advanced ultrasound system for magnetic resonance imaging (MRI) ...
February 11, 2015 — Prostate cancer patients with detectable prostate specific antigen (PSA) following radical ...
February 3, 2015 — Targeted biopsy using new fusion technology that combines magnetic resonance imaging (MRI) with ...
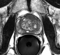
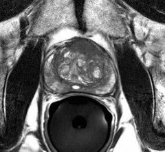
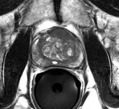
January 13, 2015 — A new novel imaging technique measurably improves upon current prostate imaging and may have ...
January 12, 2015 — Adding radiation treatment to hormone therapy saves more lives among older men with locally advanced ...
December 4, 2014 — Chesapeake Urology Associates offers a state-of-the-art prostate cancer diagnostic, which fuses ...
A novel study demonstrates the potential of a novel molecular imaging drug to detect and visualize early prostate cancer ...
November 14, 2014 — Men with prostate cancer will be the first group of patients in China to benefit from the recent ...
November 3, 2014 — Elekta's Clarity 4-D prostate monitoring system can now automatically interrupt, or "gate," the ...
April 21, 2015 