Brit Systems Inc., an image management and IT solutions company, announced it is partnering with Radiolopolis, a global, online community for radiology professionals, to image enable the launch of Consult Me, a peer review consultation capability on the Radiolopolis Radiology Network.
BridgeHead Software, a healthcare data management developer, announced BridgeHead Deduplication for Backup and Recovery along with integrated support for HP StoreOnce Backup at the Radiological Society of North America Annual Meeting (RSNA 2013).
The New South Wales statewide image repository, powered by TeraMedica’s Evercore vendor neutral archive (VNA), has been recognized with the Australian Premier’s Award for Public Service.
Radiology departments have many different needs and face a wide variety of challenges that can impact their departments ...
A new study reports that individuals who underwent embolization of the left gastric artery for gastrointestinal bleeding experienced a 7.9 percent decrease in body weight three months after the procedure. Results of the study, which offer a potential new avenue for obesity research, will be presented next week at the annual meeting of the Radiological Society of North America (RSNA).
Nanovi is developing products based on advanced biomaterials for use in the treatment of cancer. Nanovi’s first product (BioXmark) is an injectable tissue liquid marker, used to improve accuracy in the radiation treatment of patients with cancer. BioXmark has the potential to increase radiotherapy quality with minimal changes in today’s procedures and equipment. It will be available for commercial use in Europe around 2015 with clinical data to document its benefit.
Siemens Healthcare introduced Somatom Force, the company’s next-generation Dual Source computed tomography (CT) system at the Radiological Society of North America Annual Meeting (RSNA 2013) in Chicago.
Despite decades of progress in breast imaging, one challenge continues to test even the most skilled radiologists ...
GE Healthcare introduced the Invenia Automated Breast Ultrasound System (ABUS) at the Radiological Society of North America Annual Meeting (RSNA 2013).
Ultrasound-guided delivery of platelet-rich plasma (PRP) improves functionality and reduces recovery time in athletes with degenerative disease in their tendons, according to a study presented at the Radiological Society of North America Annual Meeting (RSNA 2013).
Using a stroke rehabilitation device that converts an individual's thoughts to electrical impulses to move upper extremities, stroke patients reported improvements in their motor function and ability to perform everyday activities. Results of the study were presented at the Radiological Society of North America Annual Meeting (RSNA 2013).
Bayer Radiology’s Barbara Ruhland and Thom Kinst discuss how radiology departments can address the many different ...
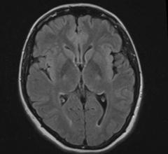
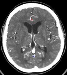
Using a special type of magnetic resonance imaging (MRI), researchers have found that soldiers who suffered mild traumatic brain injury (MTBI) induced by blast exposure exhibit long-term brain differences, according to a study being presented at the Radiological Society of North America Annual Meeting (RSNA 2013).
The Radiological Society of North America (RSNA) awarded honorary membership at the Radiological Society of North America Annual Meeting (RSNA 2013) to three individuals who have distinguished themselves as outstanding contributors to the field of radiology and its allied sciences.
Magnetic resonance imaging (MRI) provides a noninvasive way to measure iron levels in the brains of people with attention deficit hyperactivity disorder (ADHD), according to a study being presented at the Radiological Society of North America Annual Meeting (RSNA 2013).
eHealth Saskatchewan plays a vital role in providing IT services to patients, health care providers, and partners such ...
Healthy adults who consumed energy drinks high in caffeine and taurine had significantly increased heart contraction rates one hour later, according to a study presented at the the Radiological Society of North America Annual Meeting (RSNA 2013).
The Radiological Society of North America (RSNA) annually invites eminent researchers and leaders to deliver honored lectures during the Radiological Society of North America Annual Meeting (RSNA 2013).
Greg Freiherr speaks from the show floor on day one of the 2013 annual meeting of the Radiological Society of North ...
By Melinda Taschetta-Millane, editorial director Today marks the first of six full days of educational programs for radiologists, radiation oncologists, physicists in medicine, radiologic technologists and allied professionals as the 99th scientific assembly and annual meeting of the radiological Society of North America (RSNA) kicks off. This premier radiology forum attracts attendees from more than 100 countries across the world.
20/20 Imaging announced their product lineup for the Radiological Society of North America Annual Meeting (RSNA 2013), which will be led by a new digital X-ray system with enhanced software capabilities and higher frequency generator.
Viztek, a provider of complete digital software and hardware diagnostic imaging solutions, will debut a modular solution that combats electronic health record (EHR) interface challenges for smoother radiology workflow at the Radiological Society of North America Annual Meeting (RSNA 2013) Dec. 1-6 in Chicago.
Visage Imaging Inc. announced a set of new features for the Visage 7 Enterprise Imaging Platform to be demonstrated at the upcoming Radiological Society of North America Annual Meeting (RSNA 2013) at booth 4765, Dec. 1-5 in Chicago.
Teledyne DALSA, a Teledyne Technologies company and digital X-ray image sensing technology manufacturer, will introduce its new flat X-Ray detector at the Radiological Society of North America Annual Meeting (RSNA 2013) Dec. 1-5 in Chicago.
December 02, 2013 