PACSGear, a provider of connectivity solutions for medical image management and electronic health records (EHRs), announced new features for its product line.
MIM Software Inc. is highlighting MIMcloud Portal, a thin client licensing option for the entire MIM software suite at the Radiological Society of North America Annual Meeting (RSNA 2013) in Chicago.
Richard L. Baron, M.D., FACR, was named chairman of the Radiological Society of North America (RSNA) Board of Directors at the society's Annual Meeting (RSNA 2013) in Chicago.
Radiology departments have many different needs and face a wide variety of challenges that can impact their departments ...
Nicholas Reed Dunnick, M.D., was named president of the Radiological Society of North America (RSNA) Board of Directors today at the society's Annual Meeting (RSNA 2013) in Chicago.
A technique that uses focused ultrasound under magnetic resonance (MR) guidance to heat and destroy tumors may offer a safe and effective treatment for breast cancer, according to research being presented today at the Radiological Society of North America Annual Meeting (RSNA 2013).
In a study of screening mammography-detected breast cancers, patients who had more frequent screening mammography had a significantly lower rate of lymph node positivity — or cancer cells in the lymph nodes — as compared to women who went longer intervals between screening mammography exams.
Despite decades of progress in breast imaging, one challenge continues to test even the most skilled radiologists ...
For the first time, researchers have found that the blood vessels in face transplant recipients reorganize themselves, leading to an understanding of the biologic changes that happen after full face transplantation.
Ronald L. Arenson, M.D., FACR, was named president-elect of the Radiological Society of North America (RSNA) Board of Directors at the society's Annual Meeting (RSNA 2013) in Chicago.
Claron Technology, Inc. debuts version 3.0 of Withinsight Framework (WIF), an advanced platform that accelerates development of medical image visualization applications, at the 2013 Radiological Society of North America (RSNA) conference. This next-generation WIF includes enhancements in rendering, segmentation tools, and overall performance, providing Claron’s partners with advanced technology to meet their evolving needs.
Bayer Radiology’s Barbara Ruhland and Thom Kinst discuss how radiology departments can address the many different ...
Greg Freiherr speaks from the show floor on day three of the 2013 annual meeting of the Radiological Society of North ...
Etiam partnered with Vidyo Inc. to improve patient care through telemedicine and teleconsultation. Etiam’s flagship solution, Etiam-Connect is the basis for the offering. Etiam-Connect, an image and clinical data-sharing solution, supports telemedicine and the delivery of clinical care in remote settings.
Imaging with the molecular imaging tracer 18F-FDOPA can help distinguish radiation-induced lesions from new tumor growth in patients who have been treated with radiation for brain metastases, according to new research published in The Journal of Nuclear Medicine.
eHealth Saskatchewan plays a vital role in providing IT services to patients, health care providers, and partners such ...
Cephasonics and Orcasonix, an ultrasound company specializing in imaging systems with depth-independent resolution, disclosed details of the Cephasonics design-in.
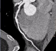
An analysis of data from an international multicenter study of coronary computed tomography angiography (CCTA) reveals that men and women with mild coronary artery disease (CAD) and similar cardiovascular risk profiles share similar prognoses.
The Radiological Society of North America (RSNA) conferred its highest honor, the Gold Medal, upon Theresa C. McLoud, M.D., Harvey L. Neiman, M.D. and J. Frank Wilson, M.D.
Researchers have used radioimmunotherapy (RIT) to destroy remaining HIV-infected cells in the blood samples of patients treated with antiretroviral therapy, offering the promise of a strategy for curing HIV infection. Results of the study were presented at the Radiological Society of North America Annual Meeting (RSNA 2013).
Researchers have found that digital breast tomosynthesis (DBT) led to reduced recall rates and an increase in cancer detection in a large breast cancer screening program.
Automated breast density measurement is predictive of breast cancer risk in younger women, and that risk may be related to the rate at which breast density changes in some women as they age, according to research being presented at the Radiological Society of North America Annual Meeting (RSNA 2013).
Claron Technology has received Health Canada diagnostic approval for its NilRead zero-footprint medical image viewer. NilRead enables diagnostic interpretation of DICOM image files and related digital information anywhere and anytime on a diagnostic workstation and mobile devices when a workstation is not available.
By Melinda Taschetta-Millane, editorial director “The Power of Partnership” theme truly hits home with this year’s RSNA 2013 Scientific Assembly and Annual Meeting. Nearly everyone I have spoken with over the past two days has expressed this need to keep communication strong, cost-effective and efficient between the clinician and the patient.
December 04, 2013 