After the worst of the COVID-19 pandemic has passed, hospitals are going to be overwhelmed with a large number of ...
There were several new developments in digital radiography (DR) technology at the 2019 Radiological Society of North ...
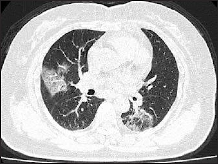
May 26, 2020 — Philips Healthcare recently received 510(k) clearance from the U.S. Food and Drug Administration (FDA) to ...
Radiology departments have many different needs and face a wide variety of challenges that can impact their departments ...
May 12, 2020 — DiA Imaging Analysis, a provider of AI based ultrasound analysis solutions, said it received a government ...
May 26, 2020 — The Radiological Society of North America (RSNA) announced today that its 106th Scientific Assembly and ...
May 26, 2020 — Breast cancer is the most common cancer in women. But individual tumors can vary significantly ...
Despite decades of progress in breast imaging, one challenge continues to test even the most skilled radiologists ...
May 26, 2020 — Researchers at the University of California, Davis offers a significant advance in using magnetic ...
May 26, 2020 — Researchers from Tokyo Metropolitan University have surveyed the amount of gadolinium found in river ...
May 22, 2020 — Recently the versatility of mixed and augmented reality products has come to the forefront of the news ...
Bayer Radiology’s Barbara Ruhland and Thom Kinst discuss how radiology departments can address the many different ...
At this year’s RSNA ITN sat down with Dennis Durmis, Senior Vice President, Bayer Radiology to discuss Radiology trends ...
May 22, 2020 — Telephone outreach coupled with scheduling assistance significantly increased screening mammography set ...
May 22, 2020 — In a new study in the New England Journal of Medicine (NEJM), senior author Steven J. Mentzer, M.D ...
eHealth Saskatchewan plays a vital role in providing IT services to patients, health care providers, and partners such ...
May 21, 2020 — Despite facing challenges such as limited access to personal protective equipment (PPE) following the ...
May 21, 2020 — Hologic, Inc. announced that Unifi EQUIP, an automated solution that facilitates compliance with the FDA ...
May 21, 2020 — Remote reading of imaging studies on home picture archiving and communication systems (PACS) workstations ...
May 21, 2020 — In response to the significant healthcare delivery changes brought on by COVID-19, Varian has launched ...
May 21, 2020 — NucleusHealth, a provider of cloud-based medical image management technology and teleradiology services ...
May 21, 2020 — RADLogics announced that its AI-powered medical imaging applications designed to assist in the detection ...
May 20, 2020 — Change Healthcare introduced Market Insights: COVID-19 Analytic Data Sets, an online COVID-19 research ...
May 20, 2020 —Atrium Health is one of the first major health systems in the nation to put into wide practice a new point ...
May 26, 2020 