May 6, 2021 — Individuals living with severe Alzheimer's disease showed remarkable improvements in behavior and ...
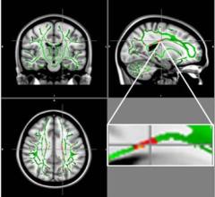
May 6, 2021 — Magnetic Resonance Imaging (MRI) images are usually meant to be static. But now, researchers from Mātai ...
May 6, 2021 — Omega Medical Imaging, an innovator in AI image-guided interventional systems for hospitals and healthcare ...
Radiology departments have many different needs and face a wide variety of challenges that can impact their departments ...
May 6, 2021 — Forbes recently announced that Nines, Inc. has been selected one of 50 most promising private AI companies ...
May 5, 2021 — Lung cancer is the third most common cancer in the U.S. and the leading cause of cancer death, with about ...
May 5, 2021 — Konica Minolta Healthcare Americas, Inc. and nVoq Incorporated (nVoq) announce an agreement to embed nVoq ...
Despite decades of progress in breast imaging, one challenge continues to test even the most skilled radiologists ...
May 5, 2021 — For patients with brain metastases, amino acid positron emission tomography (PET) can provide valuable ...
You have selected a vendor. Congratulations. Most likely you conducted a formal selection process or perhaps a request ...
The COVID-19 pandemic came as a shock, but not a surprise. Sources around the world have been warning for years of a ...
Bayer Radiology’s Barbara Ruhland and Thom Kinst discuss how radiology departments can address the many different ...
Musculoskeletal injuries can be difficult to diagnose with a traditional X-ray because X-rays only reveal a static image ...
With the growing adoption of data analytics in healthcare, we are seeing more clearly that there are two sides of data — ...
Teleradiology is grabbing significant eyeballs, given the tremendous potential it exhibits in revolutionizing cancer ...
eHealth Saskatchewan plays a vital role in providing IT services to patients, health care providers, and partners such ...
The term nuclear medicine is associated with the diagnostic procedures single-photon emission computed tomography (SPECT ...
The COVID-19 pandemic brought about an uptick in the demand for imaging services. A fast, accessible method was critical ...
The promise of personalized medicine, with its potential for treatments tailored to individual patients’ genomic ...
May 3, 2021 — Asheville Radiology Associates announced the unveiling of a new brand including a name, logo and website ...
Medical imaging, an often-overlooked piece of the puzzle in establishing a holistic patient health record, plays a ...
May 3, 2021 — DrChrono Inc., the company developing the essential platform and services for modern medical practices ...
May 3, 2021 — Molli Surgical Inc. announced U.S. Food and Drug Administration (FDA) clearance for Molli, a new wire-free ...
April 30, 2021 — For many patients with localized lung cancer (non-small-cell lung carcinoma and small cell lung ...
May 06, 2021 