September 3, 2021 — Researchers at Case Western Reserve University have developed an online tool to help medical staff ...
September 2, 2021 — At the recent 2021 AAPM Meeting in July, Sun Nuclear Corporation featured its comprehensive ...
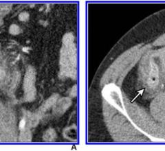
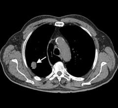
September 2, 2021 — Humans still seem to be better than technology when it comes to the accuracy of spotting possible ...
Radiology departments have many different needs and face a wide variety of challenges that can impact their departments ...
September 2, 2021 — In an article published in the journal Patterns, scientists at the Icahn School of Medicine at Mount ...
September 1, 2021 — Sun Nuclear Corporation announced that as part of the ESTRO 2021 Congress, held August 27 – 31 in ...
September 1, 2021 — The study, published on Aug. 13 in the peer-reviewed journal Cancer Cell, builds on prior studies ...
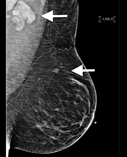
Despite decades of progress in breast imaging, one challenge continues to test even the most skilled radiologists ...
September 1, 2021 — GE Healthcare introduced the AMX Navigate, a new portable, digital X-ray system designed with a ...
September 1, 2021 — Hyperfine Inc. announced results of a study of the company’s FDA-cleared portable magnetic resonance ...
Several radiology IT vendors at 2021 Healthcare Information Management Systems Society (HIMSS) conference demonstrated ...
Bayer Radiology’s Barbara Ruhland and Thom Kinst discuss how radiology departments can address the many different ...
August 31, 2021 — In the 2022 Medicare Physician Fee Schedule Proposed Rule, the Centers for Medicare and Medicaid ...
August 31, 2021 — iCAD, Inc., a global medical technology leader providing innovative cancer detection and therapy ...
August 30, 2021 — ViewRay, Inc. announced that the Miami Cancer Institute, part of Baptist Health South Florida, has ...
eHealth Saskatchewan plays a vital role in providing IT services to patients, health care providers, and partners such ...
August 30, 2021 — Carestream Health has enhanced its premium X-ray system, the DRX-Evolution Plus. New features — ...
August 30, 2021 — RaySearch Laboratories AB (publ) will be showcasing the latest oncology software innovations at ESTRO ...
August 30, 2021 — IBA (Ion Beam Applications S.A., EURONEXT), the world’s leading provider of proton therapy solutions ...
David Danhauer, M.D., FAAP, FHIMSS, chief medical information officer, Owensboro Health, Owensboro, Ky., explains the ...
Alex Towbin, M.D., Cincinnati Children’s Hospital Medical Center CMIO, Radiology Department associate chief of clinical ...
August 27, 2021 — For decades, the National Comprehensive Cancer Network (NCCN) recommended forgoing post-lumpectomy ...
August 27, 2021 — The U.S. Department of Energy’s National Nuclear Security Administration (NNSA) issued two cooperative ...
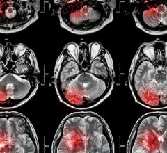
August 25, 2021 — When patients exhibit stroke symptoms, doctors must quickly make a life or death determination: Are ...
September 03, 2021 