November 21, 2021 — Health technology startup Agamon empowers health care providers with data-driven, automated ...
November 21, 2021 — Hyland Healthcare, a global provider of enterprise imaging and content services, returns to the ...
November 19, 2021 — HealthLevel Inc., innovator of Foundations, a business operations analytics platform for healthcare ...
AT A GLANCE Organization: Expert Radiology Management Services, LLC Specialty: Subspecialty teleradiology — neuro and ...
November 19, 2021 — Lung cancer screening is recommended only for those who are at high risk for the disease — adults ...
November 19, 2021 — Telemedicine visits accounted for more than 60% of patient care at New York community health centers ...
November 19, 2021 — Carestream Health will showcase its innovations in mobile medical imaging with the Ziehm Vision RFD ...
Radiology departments have many different needs and face a wide variety of challenges that can impact their departments ...
November 19, 2021 — “Data drive decisions and with the latest trial data, we are positioned for growth,” said Amol ...
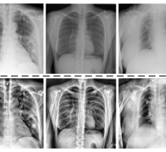
November 18, 2021 — According to an open-access Editor’s Choice article in ARRS’ American Journal of Roentgenology (AJR) ...
November 18, 2021 — Worldwide the most common cause of cancer mortality in 2020 was lung cancer, with an estimated 1.80 ...
Despite decades of progress in breast imaging, one challenge continues to test even the most skilled radiologists ...
November 18, 2021 — Royal Philips, a leader in health technology, announced it has received 510(k) clearance from the U ...
November 18, 2021 — VIDA Diagnostics Inc. (VIDA) is further removing friction in respiratory clinical trials with the ...
November 18, 2021 — Viz.ai, a leader in AI-driven intelligent care coordination, announced the U.S. commercial launch of ...
Bayer Radiology’s Barbara Ruhland and Thom Kinst discuss how radiology departments can address the many different ...
November 18, 2021 — Siemens Healthineers launched the Naeotom Alpha, the world’s first photon-counting CT scanner. As of ...
November 18, 2021 — GE Healthcare announced it has received U.S. Food and Drug Administration (FDA) 510(k) clearance for ...
Ana Kiess, M.D., Ph.D., assistant professor of radiation oncology and molecular radiation sciences, Johns Hopkins ...
November 17, 2021 — Infinitt North America is a leading developer of image and data management solutions for healthcare ...
November 17, 2021 — Fujifilm Healthcare Americas, a leading provider of diagnostic imaging and medical informatics ...
November 17, 2021 — Lunit, a leading medical artificial intelligence (AI) provider, announced it has received U.S. Food ...
The Elekta Harmony radiotherapy system gained FDA clearance in the summer of 2021 and was on display for the first time ...
November 17, 2021 — The University of Michigan Health System recently became the first U.S. healthcare institution to ...
November 21, 2021 