August 23, 2021 — RefleXion Medical, Inc., a therapeutic oncology company pioneering biology-guided radiotherapy (BgRT) ...
August 23, 2021 — Researchers from King’s College London have created a novel interactive virtual reality (VR) system to ...
August 23, 2021 — The U.S. Food and Drug Administration (FDA) just granted full approval to the Pfizer/BioNTech COVID-19 ...
Radiology departments have many different needs and face a wide variety of challenges that can impact their departments ...
August 20, 2021 — The global radiotherapy market is forecasted to reach $8.29 billion in the year 2021, according to the ...
August 20, 2021 — Cerner Corporation announced that its Board of Directors has appointed David Feinberg, M.D., MBA, as ...
The annual Healthcare Information Management Systems Society (HIMSS) 2021 meeting is the largest health information ...
Despite decades of progress in breast imaging, one challenge continues to test even the most skilled radiologists ...
August 19, 2021 — In a new publication from Cardiovascular Innovations and Applications; DOI, Zhaowei Zhu, Jianjun Tang ...
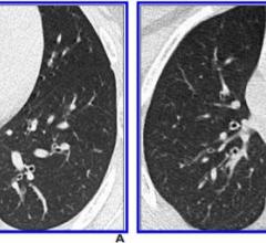
August 19, 2021 — According to ARRS’ American Journal of Roentgenology (AJR), use of the L1 vertebral level — typically ...
August 18, 2021 — CloudWave, a cloud and managed services provider for healthcare, and Vital Images, Inc., a Canon Group ...
Bayer Radiology’s Barbara Ruhland and Thom Kinst discuss how radiology departments can address the many different ...
August 18, 2021 — Building on prior success combining Cyclin-Dependent Kinase (CDK) inhibitors with hormone therapy to ...
August 17, 2021 — Qure.ai has announced US FDA 510(k) clearance for its Brain CT quantification product qER-Quant ...
August 17, 2021 — SyntheticMR and Siemens Healthineers signed a cooperation agreement in 2016, since 2018, SyMRI NEURO ...
eHealth Saskatchewan plays a vital role in providing IT services to patients, health care providers, and partners such ...
August 17, 2021 — Expert medical organizations caution that evidence-based ordering of medically necessary imaging exams ...
August 13, 2021 — DenseBreast-info.org (DB-I) announced that the European Society of Radiology (ESR) now links to DB-I ...
August 13, 2021 — Researchers at Karolinska Institutet in Sweden recently reported that magnetic resonance imaging (MRI) ...
August 12, 2021 — RSNA 2021 will require proof of COVID-19 vaccination from all in-person attendees and exhibitors at ...
August 12, 2021 — A team of researchers at Washington University School of Medicine have developed a deep learning model ...
August 12, 2021 — Oprah Winfrey Network and its first-ever health initiative OWN YOUR HEALTH announced an exclusive ...
August 11, 2021 — According to an open-access Editor’s Choice article in the American Journal of Roentgenology (AJR) ...
August 11, 2021 — ASTRO announced that it is facilitating measures that seek to ensure optimal health and sanitary ...
August 23, 2021 