February 25, 2020 — Carestream’s state-of-the-art OnSight 3D Extremity System (see video link) will be featured at the ...
Computed Tomography (CT)
Computed tomography (CT) systems use a series of X-ray images to create an image volume dataset with slices that can be manipulated on any plane using advanced visualization software. The section includes computed tomography scanners, CT contrast agents, CT angiography (CTA and CCTA), CT perfusion, spectral CT (dual-source CT), and iterative reconstruction dose reduction software.
February 20, 2020 — In new research published today in the journal Radiology, researchers from Mount Sinai Health System ...
February 19, 2020 — In new research published in the journal Radiology, researchers in China cite the need for computed ...
SPONSORED CONTENT — Fujifilm’s latest CT technology brings exceptional image quality to a compact and user- and patient ...
February 16, 2020 — The following statement was issued by the U.S. Food and Drug Administration (FDA) on February 14 ...
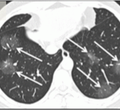
As the 2019-nCoV Pneumonia is taking the world by storm, researchers have found a possible way to predict this virus ...
February 12, 2020 — Mobile devices proved both reliable and accurate for the clinical decision to administer IV ...
In June, the Philips Radiology Experience Tour hit the road to provide healthcare professionals with an opportunity to ...
February 11, 2020 — The Radiological Society of North America (RSNA) journal Radiology has published a study from ...
February 10, 2020 — The U.S. Food and Drug Administration (FDA) has cleared patient-specific airway stents developed by ...
February 10, 2020 — The computed tomography (CT) systems market in the Asia-Pacific (APAC) region is expected to grow at ...
This summer, the Philips Radiology Experience Tour has been bringing Philips imaging modalities directly to the ...
February 7, 2020 – At the 2019 Radiological Society of North America (RSNA) meeting in December, there was a record ...
February 7, 2020 — To help front-line physicians, nurses, and other healthcare professionals diagnose and treat the ...
February 5, 2020 — In a special report published in the journal Radiology, researchers describe computed tomography (CT) ...
The healthcare industry faces many different types of obstacles in today’s challenging marketplace. Staff shortages ...
February 4, 2020 — Since January 2020, the Coronavirus (2019-nCoV) outbreak at Wuhan, China, has attracted a great deal ...
The founder of Gonzo journalism thought back nostalgically to what many believed in the 1960s was inevitable. The ...
January 31, 2020 — One of the first imaging studies on the coronavirus (2019-nCoV) was published online today as ...
January 29, 2020 – The presence of a blood clot on the wall of the aorta in people with abdominal aortic aneurysms (AAA) ...
January 29, 2020 — Bariatric surgery and weight loss appear to reverse some of the negative effects of obesity on the ...
January 22, 2020 — The risk of administering modern intravenous iodinated contrast media in patients with reduced kidney ...
Here are images of some of the newest new medical imaging technologies displayed on the expo floor at the Radiological ...
ITN Editor Dave Fornell takes a tour of some of the most innovative new medical imaging technologies displayed on the ...
February 25, 2020 