June 4, 2020 — According to a recent report by Johns Hopkins Medicine researchers, artificial intelligence (AI) should ...
Computed Tomography (CT)
Computed tomography (CT) systems use a series of X-ray images to create an image volume dataset with slices that can be manipulated on any plane using advanced visualization software. The section includes computed tomography scanners, CT contrast agents, CT angiography (CTA and CCTA), CT perfusion, spectral CT (dual-source CT), and iterative reconstruction dose reduction software.
COVID-19 continues to hold its grip on the world. This rapidly developing pandemic has dominated headlines since it ...
May 29, 2020 — An investigation published open-access in the American Journal of Roentgenology (AJR) revealed a high ...
SPONSORED CONTENT — Fujifilm’s latest CT technology brings exceptional image quality to a compact and user- and patient ...
May 21, 2020 — RADLogics announced that its AI-powered medical imaging applications designed to assist in the detection ...
May 19, 2020 — Mount Sinai researchers are the first in the country to use artificial intelligence (AI) combined with ...
May 18, 2020 — CORHIO, a health information exchange in Colorado enabling data exchange for its 19,000+ users, announced ...
In June, the Philips Radiology Experience Tour hit the road to provide healthcare professionals with an opportunity to ...
May 18, 2020 — In an open-access article published ahead-of-print by the American Journal of Roentgenology (AJR), a team ...
May 15, 2020 — Many will undergo a computed tomography (CT) scan at some point in their lifetime — being slid in and out ...
May 11, 2020 — In today’s challenging healthcare environment, radiology departments are often faced with the difficult ...
This summer, the Philips Radiology Experience Tour has been bringing Philips imaging modalities directly to the ...
May 11, 2020 — Patients with COVID-19 can have bowel abnormalities, including ischemia, according to a new study ...
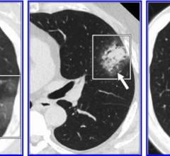
May 8, 2020 — Aidoc announced that the U.S. Food and Drug Administration (FDA) has allowed the use of their cleared AI ...
Interview with Geoffrey Rose, M.D., president of Sanger Heart and Vascular Institute with Atrium Health, in Charlotte ...
The healthcare industry faces many different types of obstacles in today’s challenging marketplace. Staff shortages ...
May 4, 2020 – A new technique that combines computed tomography (CT) and magnetic resonance imaging MRI can bolster ...
April 30, 2020 — An unprecedented collaboration among two medical societies and over 60 volunteer neuroradiologists has ...
April 28, 2020 — Expanding patient pool suffering from cancer, cardiovascular diseases, and dental and orthopedic ...
April 21, 2020 — RADLogics announced new worldwide deployments and installations of the company’s AI-powered solution to ...
Stephen Bloom, M.D., FASNC, director of noninvasive cardiology (cardiac CT, nuclear cardiology and echocardiography) at ...
April 17, 2020 — PTW has installed the first Beamscan MR motorized 3-D water phantom in North America at the Princess ...
April 17, 2020 — To date, the radiology literature on coronavirus disease (COVID-19) pneumonia has consisted of limited ...
In an effort to keep the imaging field updated on the latest information being released on coronavirus (COVID-19), the ...
June 04, 2020 