Aycan is celebrating its 20th anniversary this month with the introduction of a new productivity and security feature for aycan web HTML5 DICOM Viewer tool for sharing images with referring physicians, technologists and team members.
Elekta announced that its high-field MR-guided linear accelerator (MR-linac) platform will be the focal point of seven scientific presentations at ESTRO 35, the annual meeting of the European Society for Radiotherapy and Oncology.
April 29, 2016 — The Radiation Oncology Institute (ROI) is encouraging researchers to apply for competitive grants ...
Radiology departments have many different needs and face a wide variety of challenges that can impact their departments ...
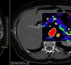
Adopting medical technology because it is new or novel lost its luster a long time ago. It is little wonder then that positron emission tomography/magnetic resonance (PET/MR) has traveled such a bumpy road since the U.S. Food and Drug Administration (FDA) cleared the first PET/MR product in 2011.
With the Internet bringing all of the world’s collective knowledge to their fingertips, patients are more informed than ...
After five years of almost constant lobbying efforts and numerous attempts by the U.S. House to push through a repeal of the medical device tax, legislation passed in December suspends the tax for the next two years. President Barack Obama signed a $1.8 billion taxation and spending bill Dec. 18, the Consolidated Appropriations Act of 2016, ending the threat of a looming government shutdown. The bill also contained a variety of tax credits, including the two-year moratorium on the device tax.
Despite decades of progress in breast imaging, one challenge continues to test even the most skilled radiologists ...
A person’s healthcare records contain a wealth of sensitive information. This doesn’t involve just their medical history, but it also contains a fairly comprehensive range of facts about them as an individual. Healthcare records will likely have an address, they may have information about relatives, they could have a social security number and other identifiers, and they are going to contain financial information.
With all the conflicting information surrounding screening mammography, it is hard for breast radiologists not to be just as confused as the patients and referring clinicians. As a breast radiologist, I am passionate about breast imaging and the patients I serve.
The last 12 months have seen significant growth in the positron emission tomography/computed tomography (PET/CT) segment of radiology, from both a manufacturing and a research perspective. One brand-new system received U.S. Food and Drug Administration (FDA) market clearance just months ago, while another started making its way into hospitals in the second half of last year. Several manufacturers also released software updates to help integrate PET/CT imaging into radiation therapy planning and execution. The increased interest was supported by several large studies exploring the advanced applications of PET/CT in oncology imaging.
Bayer Radiology’s Barbara Ruhland and Thom Kinst discuss how radiology departments can address the many different ...
The biggest trend in contrast media injector technology today is one seen throughout all of healthcare — doing more with less, or maximizing the utility of existing technology. In the case of contrast media, vendors are focusing on systems that make full use of the existing contrast supply in an effort to reduce contrast dose. This shift is happening with contrast media across multiple modalities. Vendors are also allowing injector systems to integrate with electronic medical records (EMR), picture archiving and communication systems (PACS) and other technology to automatically record and analyze contrast dose data.
There were many examples of clinical decision support (CDS) software currently on the market that could be leveraged to address Stage 3 Meaningful Use on the expo floor of the Healthcare Information and Management Systems Society (HIMSS) 2016. During HIMSS, Ascendian Healthcare Consulting CEO Shawn McKenzie sat down with itnTV and discussed how and why CDS should be integrated into the radiology workflow.
Physicians at University Hospitals Seidman Cancer Center (Cleveland) have started a clinical trial using a new form of stereotactic body radiotherapy (SBRT) to deliver radiation to a specific area of a cancerous prostate instead of the entire gland.
eHealth Saskatchewan plays a vital role in providing IT services to patients, health care providers, and partners such ...
April 28, 2016 — The American Society for Radiation Oncology (ASTRO) and radiation oncologists nationwide hailed the ...
Konica Minolta introduced the latest version of the Sonimage HS1 compact ultrasound system, enabling improved image quality, streamlined workflow and new cardiac functionality for the point-of-care ultrasound market.
Alliance Oncology, a division of Alliance HealthCare Services Inc., announced that one of their radiation therapy centers, Reno CyberKnife, has upgraded their CyberKnife Robotic Radiosurgery System.
Breast cancer patients undergoing treatment with trastuzumab-containing regimens should be monitored for heart damage regardless of age.
April 28, 2016 — G2 Speech, European provider of speech recognition and workflow management solutions, and LogicNets ...
The Department of Health and Human Services (HHS) issued a proposal to align and modernize how Medicare payments are tied to the cost and quality of patient care for hundreds of thousands of doctors and other clinicians.
Imaging Advantage LLC, platform provider of cloud-based radiology service, announced the launch of a machine learning research initiative titled Singularity Healthcare.
In the world of molecular imaging, PET/MR is a wild card. But it’s a wild card that’s ready to be played. Three major vendors offer commercial products. The images are spectacular. So…what’s the hold up?
April 29, 2016 