Effective Z.
Patient presented to UH Case Medical Center’s emergency department with severe chest pain, suggesting either a pulmonary embolus or aortic dissection.
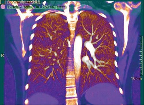
A low dose computed tomography (CT) pulmonary artery angiography examination was performed using the IQon Spectral CT, with subsequent spectral data review and analysis.
Clinical Findings
The conventional 120 kVp image demonstrates filling defects in the segmental and subsegmental vessels of the right lower lobe. There is no evidence of consolidation or infarction.
The iodine and effective Z images demonstrate iodine perfusion defects in the right lower lobe that correlate to the filling defects in the conventional 120 kVp images. These findings confirm the differential diagnosis of a pulmonary embolus.
The IQon Spectral CT provides spectral results on-demand when more information is required by the referring and reporting clinicians.
IQon Spectral CT
The Philips IQon Spectral CT is the world’s first and only comprehensive CT diagnostic spectral solution for every patient, providing valuable clinical insights such as improved tissue characterization and visualization for accurate disease management. Fully integrated with your current workflow, this proprietary approach to CT delivers extraordinary diagnostic quality, with spectral results automatically collected during every scan.
Unlike CT dual-energy approaches, this breakthrough detector-based technology provides real-time diagnostic spectral solutions that offer the opportunity to decrease the number of patient findings that are indeterminate, as well as the ability to create angiograms from routine or low injected contrast studies.
On-demand Spectral Analysis
Prospective and retrospective spectral results in one scan — without the need for special scan modes.
Iconic Innovation in Detector Technology
With the launch of the IQon Spectral CT, the realm of clinical information is enriched and enable the “and” in CT. Through the uniqueness of the Philips detector-based spectral approach — and the NanoPanel Prism design — high and low energies live in the same time and space.
The uniqueness of the Philips detector-based spectral approach and the NanoPanel Prism design allows the user to get the conventional anatomical information that is used to form the CT and, at the same time, get color quantification and the ability to characterize structures and monoenergetic image information. All in one scan, simultaneously. And you get it without increased complexity and at low dose.
Case study supplied by Philips.
December 10, 2025 