October 7, 2020 — Loved or hated, the humble oat could be the new superfood for cancer patients as international ...
October 7, 2020 — Designed with the same high-end imaging, ergonomics and workflow capabilities, Canon Medical will be ...
October 7, 2020 — A group of Australia’s leading breast cancer researchers is raising awareness about the importance of ...
Despite decades of progress in breast imaging, one challenge continues to test even the most skilled radiologists ...
October 6, 2020 — According to an open-access article in ARRS’ American Journal of Roentgenology (AJR), dual-energy ...
October 5, 2020 — A major study of women with ductal carcinoma in situ (DCIS) — a breast condition that can become ...
October 5, 2020 — During virtual RSNA 2020, Canon Medical Systems USA, Inc. will showcase enhancements to the Cartesion ...
Bayer Radiology’s Barbara Ruhland and Thom Kinst discuss how radiology departments can address the many different ...
October 5, 2020 — Carestream has an extensive history of setting standards in efficiency and reliability. Its wireless ...
October 2, 2020 — Radiation oncologists expressed serious concerns about a new private insurance coverage policy that ...
October 2, 2020 — The Galan 3T and Orian 1.5T magnetic resonance imaging (MRI) platforms, both with Advanced intelligent ...
eHealth Saskatchewan plays a vital role in providing IT services to patients, health care providers, and partners such ...
October 2, 2020 — Girls in Tech, a global non-profit bringing the world together through education and experiences, is ...
October 1, 2020 — Hologic, Inc. announced a multi-year commitment to decreasing breast cancer screening disparities for ...
October 1, 2020 — As many as 70% of very premature infants (born earlier than 32 weeks gestation) show signs of white ...
While most women understand the importance of health screenings, an estimated 72 million have missed or postponed a ...
October 1, 2020 — Canon Medical’s Aquilion ONE / PRISM Edition, designed for deep intelligence, integrates artificial ...
October 1, 2020 — The Radiological Society of North America (RSNA) has announced that Muhimbili University of Health and ...
September 30, 2020 — Siemens Healthineers has introduced a new version of its c.cam dedicated cardiac nuclear medicine ...
September 30, 2020 — A new artificial intelligence (AI) algorithm can identify when medical images are likely to be ...
September 30, 2020 — The University at Buffalo has received a four-year, $1.4 million grant from the National Institutes ...
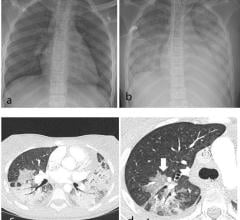
September 30, 2020 — Newly released study results present a strong case for lung cancer screening in New Zealand — ...
September 30, 2020 — Siemens Healthineers and WakeMed Health & Hospitals have established a 10-year, patient-focused ...
September 30, 2020 — Flexible, scalable digital radiography (DR) room imaging is a must-have at any medical facility. To ...
October 07, 2020 