November 30, 2020 — South Korean artificial intelligence (AI) developer VUNO Inc. announced that it will join the ...
November 30, 2020 — During the virtual 106th Scientific Assembly and Annual Meeting of the Radiological Society of North ...
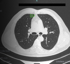
November 30, 2020 — AI Medic Inc. announced that it has obtained official product certification from the NIDS (National ...
Radiology departments have many different needs and face a wide variety of challenges that can impact their departments ...
November 30, 2020 — GE Healthcare unveiled a slate of new intelligently efficient solutions to help clinicians solve ...
November 29, 2020 — Agfa announced the launch of its SmartXR portfolio at RSNA, being held virtually. SmartXR uses a ...
November 29, 2020 — RSNA President James P. Borgstede, M.D., officially welcomed virtual attendees to RSNA20 this ...
Despite decades of progress in breast imaging, one challenge continues to test even the most skilled radiologists ...
November 29, 2020 — During the virtual 106th Scientific Assembly and Annual Meeting of the Radiological Society of North ...
November 29, 2020 — Philips, a global leader in health technology, announced it is working with leading medical centers ...
November 29, 2020 — The Radiological Society of North America (RSNA) presented its ninth Alexander R. Margulis Award for ...
Bayer Radiology’s Barbara Ruhland and Thom Kinst discuss how radiology departments can address the many different ...
Konica Minolta’s theme for RSNA 2020 is Depth of Vision. ITN recently talked with David Widmann, President and CEO of ...
Agfa is looking to transform X-ray with new advancements in volumetric imaging, and with new mobile concepts and ...
November 26, 2020 — A recent study published in JAMA Network Open has shown that an AI algorithm trained to detect ...
eHealth Saskatchewan plays a vital role in providing IT services to patients, health care providers, and partners such ...
November 26, 2020 — GE Healthcare has received U.S. FDA approval of its macrocyclic gadolinium-based MRI contrast agent ...
November 26, 2020 — Vital, a Canon Group company, alongside Canon Medical, will exhibit a virtual gallery experience at ...
November 25, 2020 — Blue Earth Diagnostics, a leading molecular imaging diagnostics company, today announced that their ...
November 25, 2020 — Hospitals and institutions face a significant challenge each year when it comes to the financial ...
November 25, 2020 — Philips announced its participation in the RSNA 2020 virtual event, featuring its Radiology Workflow ...
November 25, 2020 — GE Healthcare today announced its acquisition of Prismatic Sensors AB, a Swedish start-up ...
November 24, 2020 — Lunit, a leading medical AI software company, will be joining the 106th Radiological Society of ...
November 24, 2020 — Alpha Source Group (ASG), a comprehensive next-generation services partner, has named Allan Klotsche ...
November 30, 2020 