The number of Federal Drug Administration (FDA)-approved AI-based algorithms is significant and has grown at a steady ...
September 29, 2020 — On Sept. 18, 2020, the Centers for Medicare and Medicaid Services (CMS) published the “Specialty ...
September 29, 2020 — On September 28, FDA Commissioner of Food and Drugs Stephen M. Hahn, M.D., issued a statement ...
Despite decades of progress in breast imaging, one challenge continues to test even the most skilled radiologists ...
September 29, 2020 — Bringing advanced imaging to patients — while focusing on safety — is the cornerstone of Carestream ...
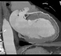
Ernest Garcia, Ph.D., MASNC, FAHA, endowed professor in cardiac imaging, director of nuclear cardiology R&D laboratory ...
September 25, 2020 — IBA (Ion Beam Applications SA) announced that more than 100,000 patients have now been treated with ...
Bayer Radiology’s Barbara Ruhland and Thom Kinst discuss how radiology departments can address the many different ...
September 25, 2020 — VIDA Diagnostics, Inc. announced that it has received 510(k) clearance from the Food and Drug ...
September 25, 2020 — Based on its recent analysis of the global artificial intelligence (AI)-based echocardiography ...
September 25, 2020 — RefleXion and Sofinnova Partners received the “Salus Partner Excellence in HealthTech Award” at the ...
eHealth Saskatchewan plays a vital role in providing IT services to patients, health care providers, and partners such ...
September 25, 2020 — A study out of University Hospitals (UH) found that removing the cost barrier for coronary artery ...
September 23, 2020 — RADLogics announced that the company’s novel AI-powered chest X-ray pneumothorax application has ...
September 23, 2020 — A new study in the Annals of Surgical Oncology demonstrates that Kubtec Medical Imaging's Mozart 3D ...
While most women understand the importance of health screenings, an estimated 72 million have missed or postponed a ...
September 22, 2020 — Researchers at the University of Pittsburgh School of Medicine and Carnegie Mellon University ...
September 22, 2020 — Contrast-enhanced ultrasound (CEUS) helps physicians accurately diagnose some forms of liver cancer ...
September 22, 2020 — New research from King's College London has found that COVID-19 may be diagnosed on the same ...
September 21, 2020 — Philips introduced Azurion Lung Edition, an advanced 3-D imaging and navigation platform to ...
September 21, 2020 — In response to the September 18 announcement by the Centers for Medicare and Medicaid Services (CMS ...
According to a new report published by P&S Intelligence, the global radiotherapy market is expected to expand from $7.2M ...
A new report, Magnetic Resonance Imaging Equipment Market Size, Share & Industry Analysis, conducted by Fortune Business ...
September 21, 2020 — Breast cancer patients whose disease has spread to their brains fare better if their metastases are ...
September 29, 2020 