Nov. 6 — 2025, Gradient Health and DataFirst have announced a strategic partnership designed to bridge the gap between ...
Radiology departments have many different needs and face a wide variety of challenges that can impact their departments ...
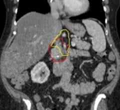
Nov. 10, 2025 — Interventional radiologists (IRs) that almost exclusively practice in their specialty provide more ...
While most women understand the importance of health screenings, an estimated 72 million have missed or postponed a ...
Nov.10, 2025 — Medical imaging technology company Adaptix Ltd. has received 510(k) clearance from the U.S. Food and Drug ...
Nov. 10, 2025 — There has been substantial progress in the past few years in the field of MRI in general and remote MR ...
Nov. 10, 2025 — Researchers at Wayne State University and the Barbara Ann Karmanos Cancer Institute have developed a ...
Fujifilm’s APERTO Lucent is a 0.4T mid-field, open MRI system addressing today’s capability and image quality needs ...
Nov. 7, 2025 — Coreline Soft will introduce its chest AI platform AVIEW 2.0 at RSNA 2025 (Nov. 30 – Dec. 4, Chicago) ...
Nov. 10, 2025 — Scientists at the University of Birmingham have developed a new class of MRI contrast agents – improving ...
Nov. 4, 2025 — Virtual Radiologic (vRad) recently announced the successful commercialization of The vRad Platform — a ...
SPONSORED CONTENT — Fujifilm’s latest CT technology brings exceptional image quality to a compact and user- and patient ...
Nov. 3, 2025 — RevealDx, a leader in the characterization of lung nodules, has introduced MDR Certification of RevealAI ...
Nov. 6, 2025 — Lunit, a provider of AI for cancer diagnostics and precision oncology, recently announced that Volpara ...
Once viewed as a solution for after-hours coverage, teleradiology is rapidly expanding into a critical part of radiology ...
SPONSORED CONTENT — EnsightTM 2.0 is the newest version of Enlitic’s data standardization software framework. Ensight is ...
Nov. 4, 2025 — Altamont Software, a provider of enterprise medical connectivity solutions, has announced the ...
Oct. 28, 2025 — Using targeted radiation during surgery — referred to as intraoperative radiation — to eliminate ...
Nov. 3, 2025 — QT Imaging Holdings has announced that its chief medical officer, Elaine luanow, MD, will host a seminar ...
Nov. 3, 2025 — —A new radioimmunotherapy approach has the potential to cure human epidermal growth factor receptor 2 ...
Oct. 31, 2025 — Echolight plans to demonstrate its bone density scanning technology at the Radiological Society of North ...
Oct. 30, 2025 – In collaboration with OBIO, University Health Network (UHN), Canada’s leading hospital and the No. 1 ...
Oct. 28, 2025 — Bronchopulmonary dysplasia (BPD) is the most common — and most serious — complication of extreme ...
Oct. 30, 2025 — Sirona Medical has received U.S. Food and Drug Administration (FDA) 510(k) clearance for its Sirona ...
November 12, 2025 