Contributing Editor Greg Freiherr offers an overview of computed tomography (CT) advances at the Radiological Society of North America (RSNA) 2015. The video includes Freiherr during his booth tours with some of the key vendors who were featuring new technology.
Technology Report:
Computed Tomography (CT)
Related Content
Blog | Computed Tomography (CT)
More than one in three computed tomography (CT) sites surveyed by The Association for Medical Imaging Management (AHRA…
News | Computed Tomography (CT)
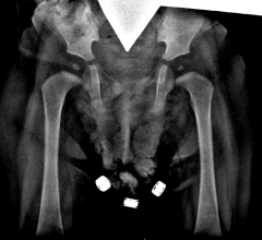
September 14, 2015 — A new decision rule will help emergency department physicians determine when to use radiography in…
Technology | Computed Tomography (CT)
September 9, 2015 — The U.S. Food and Drug Administration (FDA) granted 510(k) for Philips Healthcare’s Spectral…
Sponsored Content
Sponsored Content
Videos | Radiology Business
Radiology departments have many different needs and face a wide variety of challenges that can impact their departments ...
Feature | Computed Tomography (CT) | Dave Fornell
When 64-slice computed tomography (CT) systems were introduced nearly a decade ago, they were purchased in large…
Feature | Computed Tomography (CT) | Jeff Zagoudis
Computed tomography (CT) has enjoyed a place of prominence in medical imaging since its creation in the 1970s. The…
Blog | Computed Tomography (CT)
The heady days of computed tomography (CT) — when 64-slice scanners drove sales to an all-time high — seems like…
Sponsored Content
Feature | Breast Imaging
Despite decades of progress in breast imaging, one challenge continues to test even the most skilled radiologists ...
News | Computed Tomography (CT)
September 3, 2015 — Results of the PLATFORM trial indicate fractional flow reserve computed tomography (FFR-CT) can…
Blog | Radiology Business
Editor's note: This blog was reprinted with permission from the Harvey L. Neiman Health Policy Institute, and can be…
News | Computed Tomography (CT)
A study published online Aug. 24 by the journal Pediatrics finds a significant decrease in the use of computed…
Sponsored Content
Sponsored Content
Videos | Radiology Business
Bayer Radiology’s Barbara Ruhland and Thom Kinst discuss how radiology departments can address the many different ...
News | CT Angiography (CTA)
August 21, 2015 — Loyola University Medical Center is the first and only hospital in Illinois to offer a new,…
Technology | Lung Imaging
August 17, 2015 — GE Healthcare has become the first company with a low dose computed tomography (CT) lung cancer…
News | Radiology Imaging
August 14, 2015 — IMRIS Inc. announced in late July that investment funds managed by Deerfield Management Company L.P…
Sponsored Content
Case Study | PACS
eHealth Saskatchewan plays a vital role in providing IT services to patients, health care providers, and partners such ...
News | Orthopedic Imaging
August 14, 2015 — EOS imaging announced two EOS system installations at New York-Presbyterian Hospital in late July.…
News | Radiology Imaging
August 14, 2015 — Radiologic technologists and radiology departments looking to meet Joint Commission on Accreditation…
Videos | Radiology Imaging
ITN Editor Dave Fornell shares his choices for some of the most innovative new technology on the show floor at the 2015…
Blog | Computed Tomography (CT)
Here is a recap of some of the top trends and new technology at the Society of Cardiovascular Computed Tomography (SCCT…
Videos | Computed Tomography (CT)
DAIC Editor Dave Fornell shares some of the most innovative new technologies shown on the expo floor and discusses in…
News | Computed Tomography (CT)
August 5, 2015 — Physicians at Southwest Diagnostic Imaging Center (SWDIC) in Dallas are now able to provide high-…
Videos | Computed Tomography (CT)
Interview with James Min, M.D., Professor of Radiology and Medicine and Director of Dalio Institute of Cardiovascular…
Videos | Computed Tomography (CT)
Interview with Harold Litt, M.D., Ph.D., chief of cardiovascular imaging section and associate professor of radiology,…
© Copyright Wainscot Media. All Rights Reserved.
Subscribe Now
September 15, 2015 