January 18, 2023 — Addressing the growing demand for medical imaging and a shortage of radiologists,
Computer-Aided Detection Software
Computer-aided detection software helps doctors make more accurate diagnosis by assisting in the interpretation of medical images.
June 6, 2023 — RaySearch Laboratories has announced that New York University (NYU) Langone Hospital - Long Island ...
January 18, 2023 — Addressing the growing demand for medical imaging and a shortage of radiologists, Bayer announced the ...
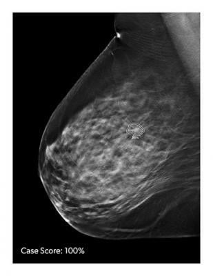
December 14, 2022 — Dallas, TX-based MedCognetics, Inc. announced it has received U.S Food and Drug Administration (FDA) ...
November 25, 2022 — Hologic, Inc. will exhibit its extensive portfolio of breast and skeletal health products at the ...
September 13, 2022 — Deciphex, a Dublin, Ireland-based provider of digital pathology software and services, has ...
December 1, 2020 – Medical imaging artificial intelligence (AI) vendor Avicenna.AI today announced its FDA-cleared CINA ...
February 7, 2020 – At the 2019 Radiological Society of North America (RSNA) meeting in December, there was a record ...
January 22, 2020 — The U.S. Food and Drug Administration (FDA) has issued a final order to reclassify medical image ...
October 31, 2019 — Zebra Medical Vision, a deep learning medical imaging analytics company, announced this week a ...
October 28, 2019 — Artificial intelligence (AI) helps improve the efficiency and accuracy of an advanced imaging ...
October 24, 2019 — Artificial intelligence (AI) software developer Enlitic Inc. announced it has signed a strategic ...
October 23, 2019 — To help advance medical research while preserving data privacy and improving patient outcomes for ...
October 18, 2019 — Medical diagnostic artificial intelligence (AI) company MaxQ AI announced that its Accipio ...
October 8, 2019 — The Radiological Society of North America (RSNA) recently launched its third annual artificial ...
September 30, 2019 — Researchers from Intermountain Healthcare and Stanford University say 10 seconds is about how ...
September 12, 2019 – GE Healthcare announced the U.S. Food and Drug Administration’s (FDA) 510(k) clearance of Critical ...
September 9, 2019 — iCAD Inc. announced MedTech Breakthrough, an independent organization that recognizes the top ...
September 4, 2019 — Global Diagnostics Australia (GDA), a subsidiary of the Integral Diagnostics Group (IDX), has ...
August 19, 2019 — Lunit has announced Korea Ministry of Food and Drug Safety (MFDS) approval of its artificial ...
August 13, 2019 — University of California Los Angeles (UCLA) researchers have developed an artificial intelligence (AI) ...
June 06, 2023 