Jan. 13, 2026 — A streamlined, nurse-led response for hospitalized patients experiencing an acute stroke at a Texas academic medical center improved time from symptom discovery to imaging and treatment, which is associated with better outcomes.
Stroke
This channel includes news and new technology innovations for stroke. This includes both diagosis and treatment of stroke, stroke imaging, pharmaceuticals and interventional stroke technologies.
Jan. 13, 2026 — A streamlined, nurse-led response for hospitalized patients experiencing an acute stroke at a Texas ...
Dec. 18, 2025 — Brainomix, a provider of AI-powered imaging biomarkers for stroke and lung fibrosis, has announced ...
Dec. 12, 2025 — Hyperfine, Inc. has announced that it has received FDA clearance for a new multi-direction diffusion ...
July 23, 2024 — EMVision, an Australian medical device company focused on the development and commercialization of ...
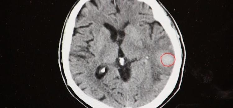
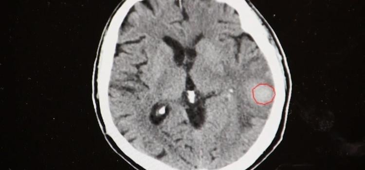
December 11, 2023 — RapidAI, a global leader in developing artificial intelligence (AI) and technology workflow ...
November 21, 2023 — Heuron, a medical AI (artificial intelligence) imaging software solution company, under the ...
November 9, 2023 — RapidAI, a global leader in developing artificial intelligence (AI) and technology workflow solutions ...
August 17, 2023 — University of Missouri School of Medicine neurologist Adnan Qureshi, MD recently led a study that ...
June 9, 2023 — According to an accepted manuscript published in ARRS’ own American Journal of Roentgenology (AJR) ...
May 19, 2023 — Asymptomatic adults with a high accumulation of fat in their muscles, known as myosteatosis, are at an ...
May 17, 2023 — According to an accepted manuscript published in ARRS’ own American Journal of Roentgenology (AJR), SARS ...
April 12, 2023 — A global radiology artificial intelligence (AI) company, Annalise.ai, has announced it has received U.S ...
February 16, 2023 — According to an accepted manuscript published in ARRS’ American Journal of Roentgenology (AJR) ...
January 4, 2023 — NeuroLogica Corp., a subsidiary of Samsung Electronics Co. Ltd., announced a partnership with The ...
December 29, 2022 — NeuroLogica Corp., a subsidiary of Samsung Electronics Co. Ltd., announced the first installation of ...
September 22, 2022 — Medical imaging specialist Avicenna.AI announced a groundbreaking partnership with the MedTech ...
June 16, 2022 — Xoran Technologies has recently received a patent for a modular computed tomography (CT) system assembly ...
Artificial intelligence (AI) has found a unique niche to help automate the activation of acute care teams for pulmonary ...
December 1, 2020 – Medical imaging artificial intelligence (AI) vendor Avicenna.AI today announced its FDA-cleared CINA ...
Ajay Choudhri, M.D., chairman of radiology, Capital Health, Hopewell, N.J., explains his center's experience using an ...
January 15, 2026 