The partnership will bring the power of AI to Emergent Connect's growing customer base, leaving zero-footprint on the client side and eliminating the need for on premise installation and local workstation configurations.
October 31, 2019 — Zebra Medical Vision, a deep learning medical imaging analytics company, announced this week a partnership with Emergent Connect, a leading provider of cloud-based PACS software. The partnership will bring the power of AI to Emergent Connect's growing customer base, leaving zero footprint on the client side and eliminating the need for on premise installation and local workstation configurations.
Emergent Connect manages millions of imaging records per year and helps thousands of healthcare professionals and several hundred clinics provide the best patient care possible. Thanks to this integration, Zebra-Med’s (all in one) AI1 solution will be available in Emergent's Exceed PACS for all its user base, making this one of the largest cloud-first enrollments of clinical, FDA cleared AI to the market so far.
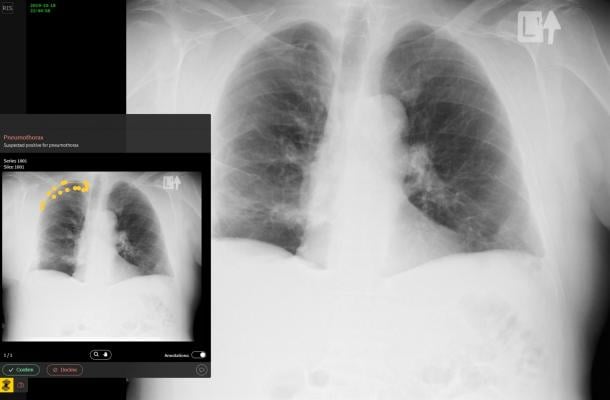
In addition to the zero-footprint PACS, the company’s Exceed RIS customers will also be able to enjoy the benefit of Zebra Medical Vision's Triage solutions running as a safety net for all radiologists on call, flagging the presence of acute conditions on head CTs and chest X-rays.
Helping to cover both outpatient and in-patient settings, Zebra-Med’s Triage solution prioritizes scans based on the emergency level and allows radiologists to address prioritized scans in a timely manner. Scans are forwarded automatically to Zebra-Med’s cloud based solution for analysis, the server then sends an alert of the positive cases directly to the Emergent Connect worklist for prioritizing, thus saving physicians more than 85 percent of the time taken to reach the acute condition, such as a brain bleed in a head CT scan.
Zebra Medical Vision’s AI1 bundle provides hospitals with a growing amount of AI tools and a superior level of service and support. Zebra-Med’s bundle and Emergent Connect’s OEM model allows for seamless integration into their PACS and worklist, and is being offered to all customers with full price transparency per scan.
“We’re honored to take this journey with Emergent Connect, and to offer our services to hundreds of clinics all at once, making this one of the largest enrollments of AI in this market so far,'' said John Logioco, CCO at Zebra Medical Vision. “Our ever growing AI1 portfolio will cover more findings in 2019 and 2020, which will be automatically added to the AI1 bundle and be available to all our clients globally with no additional installations or costs.”
Mike Spears, Emergent Connect’s EVP, Sales & Marketing states, “Zebra-Med’s ever-growing AI1 bundle is a natural choice for integration with our advanced cloud based PACS solution. The innovative ‘zero-footprint’ integration and the quality of AI solutions and service Zebra-Med provides will now be available to our customers, enabling us to transform patient care.”
For more information: https://www.zebra-med.com/
February 06, 2026 