Contributing Editor Greg Freiherr offers an overview of computed tomography (CT) advances at the Radiological Society of North America (RSNA) 2015. The video includes Freiherr during his booth tours with some of the key vendors who were featuring new technology.
Technology Report:
Computed Tomography (CT)
Related Content
News | Computed Tomography (CT)
March 6, 2020 — Researchers at the National Institutes of Health and the University of Wisconsin have demonstrated that…
News | Coronavirus (COVID-19)
March 6, 2020 — While COVID-19, previously known as the novel coronavirus, was first reported in China, it was recently…
News | Coronavirus (COVID-19)
March 2, 2020 — As part of the U.S. Food and Drug Administration’s ongoing and aggressive commitment to address the…
Sponsored Content
Sponsored Content
Videos | Radiology Business
Radiology departments have many different needs and face a wide variety of challenges that can impact their departments ...
Feature | Coronavirus (COVID-19)
February 28, 2020 — The first in a series of medical imaging studies on novel coronavirus (COVID-19) was published…
News | Computed Tomography (CT) | Melinda Taschetta-Millane and Dave Fornell
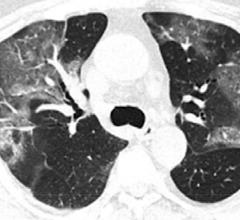
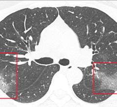
February 26, 2020 — In a study of more than 1,000 patients published in the journal Radiology, chest CT outperformed…
News | Computed Tomography (CT)
February 26, 2020 — Mount Sinai Health System physicians—the first experts in the country to analyze chest computed…
Sponsored Content
Feature | Breast Imaging
Despite decades of progress in breast imaging, one challenge continues to test even the most skilled radiologists ...
News | Computed Tomography (CT)
February 25, 2020 — With initial order of 10 mobile BodyTom computed tomography (CT) scanners ordered in China, Samsung…
News | Radiology Imaging
February 24, 2020 — The U.S. Food and Drug Administration (FDA) gave an update on its activities regarding the novel…
News | Computed Tomography (CT)
February 25, 2020 — Carestream’s state-of-the-art OnSight 3D Extremity System (see video link) will be featured at the…
Sponsored Content
Sponsored Content
Videos | Radiology Business
Bayer Radiology’s Barbara Ruhland and Thom Kinst discuss how radiology departments can address the many different ...
News | Computed Tomography (CT)
February 20, 2020 — In new research published today in the journal Radiology, researchers from Mount Sinai Health…
News | Computed Tomography (CT)
February 19, 2020 — In new research published in the journal Radiology, researchers in China cite the need for computed…
News | Computed Tomography (CT)
February 16, 2020 — The following statement was issued by the U.S. Food and Drug Administration (FDA) on February 14,…
Sponsored Content
Case Study | PACS
eHealth Saskatchewan plays a vital role in providing IT services to patients, health care providers, and partners such ...
Feature | Computed Tomography (CT) | By Melinda Taschetta-Millane
As the 2019-nCoV Pneumonia is taking the world by storm, researchers have found a possible way to predict this virus…
News | Computed Tomography (CT)
February 12, 2020 — Mobile devices proved both reliable and accurate for the clinical decision to administer IV…
Feature | Computed Tomography (CT)
February 11, 2020 — The Radiological Society of North America (RSNA) journal Radiology has published a study from…
News | Computed Tomography (CT)
February 10, 2020 — The computed tomography (CT) systems market in the Asia-Pacific (APAC) region is expected to grow…
News | Computed Tomography (CT)
February 10, 2020 — The U.S. Food and Drug Administration (FDA) has cleared patient-specific airway stents developed by…
Feature | Artificial Intelligence | Sanjay Parekh, Ph.D.
February 7, 2020 – At the 2019 Radiological Society of North America (RSNA) meeting in December, there was a record…
News | Computed Tomography (CT)
February 7, 2020 — To help front-line physicians, nurses, and other healthcare professionals diagnose and treat the…
News | Computed Tomography (CT)
February 5, 2020 — In a special report published in the journal Radiology, researchers describe computed tomography (CT…
© Copyright Wainscot Media. All Rights Reserved.
Subscribe Now
March 06, 2020 