Contributing Editor Greg Freiherr offers an overview of computed tomography (CT) advances at the Radiological Society of North America (RSNA) 2015. The video includes Freiherr during his booth tours with some of the key vendors who were featuring new technology.
Technology Report:
Computed Tomography (CT)
Related Content
News | Artificial Intelligence
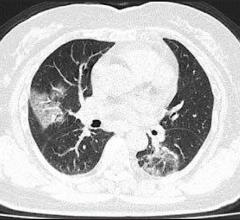
March 31, 2020 — Lung infections generated by the coronavirus can be detected in computed tomography (CT) images.…
News | Artificial Intelligence
March 31, 2020 — The Intelligent Evaluation System of chest computed tomography (CT) for COVID-19, developed by YITU…
News | Computed Tomography (CT)
March 27, 2020 — Based on recent scientific research, diagnostic X-ray computed tomography (CT) is able to detect COVID…
Sponsored Content
Sponsored Content
Videos | Radiology Business
Radiology departments have many different needs and face a wide variety of challenges that can impact their departments ...
Feature | Coronavirus (COVID-19) | Jilian Liu, M.D., HIMSS Greater China
An older couple walked into the Hubei Provincial Hospital of Integrated Chinese and Western Medicine near their…
Videos | Coronavirus (COVID-19)
Regina Druz, M.D., FASNC, a member of the American Society of Nuclear Cardiology (ASNC) Board of Directors, chairwomen…
Videos | Teleradiology
John Kim, M.D., chairman, Department of Radiology, THR Presbyterian Plano, Texas, and chief technology officer at Texas…
Sponsored Content
Feature | Breast Imaging
Despite decades of progress in breast imaging, one challenge continues to test even the most skilled radiologists ...
News | Coronavirus (COVID-19)
March 26, 2020 — The Radiological Society of North America (RSNA) has published an expert consensus statement on…
News | Coronavirus (COVID-19)
March 25, 2020 — IMAGE Information Systems launched a diagnostic imaging learning platform for COVID-19 cases. Studies…
News | Artificial Intelligence
March 23, 2020 — Canon Medical Systems USA, Inc. has received 510(k) clearance on its Advanced intelligent Clear-IQ…
Sponsored Content
Sponsored Content
Videos | Radiology Business
Bayer Radiology’s Barbara Ruhland and Thom Kinst discuss how radiology departments can address the many different ...
News | Coronavirus (COVID-19)
March 20, 2020 — In a new study published in the journal Radiology, researchers found mild to significant lung…
News | Artificial Intelligence
March 18, 2020 — RSIP Vision, a global leader in artificial intelligence (AI) and computer vision technology, announced…
News | Computed Tomography (CT)
March 16, 2020 — The Society of Cardiovascular Computed Tomography (SCCT) released a new expert consensus document on…
Sponsored Content
Case Study | PACS
eHealth Saskatchewan plays a vital role in providing IT services to patients, health care providers, and partners such ...
News | Coronavirus (COVID-19)
March 11, 2020 — As COVID-19 spreads in the U.S., there is growing interest in the role and appropriateness of chest…
News | Coronavirus (COVID-19)
March 6, 2020 — An article by radiologists from Wuhan, China — published open-access and ahead-of-print in the American…
News | Computed Tomography (CT)
March 6, 2020 — Researchers at the National Institutes of Health and the University of Wisconsin have demonstrated that…
News | Coronavirus (COVID-19)
March 6, 2020 — While COVID-19, previously known as the novel coronavirus, was first reported in China, it was recently…
News | Coronavirus (COVID-19)
March 2, 2020 — As part of the U.S. Food and Drug Administration’s ongoing and aggressive commitment to address the…
Feature | Coronavirus (COVID-19)
February 28, 2020 — The first in a series of medical imaging studies on novel coronavirus (COVID-19) was published…
News | Computed Tomography (CT) | Melinda Taschetta-Millane and Dave Fornell
February 26, 2020 — In a study of more than 1,000 patients published in the journal Radiology, chest CT outperformed…
News | Computed Tomography (CT)
February 26, 2020 — Mount Sinai Health System physicians—the first experts in the country to analyze chest computed…
© Copyright Wainscot Media. All Rights Reserved.
Subscribe Now
March 31, 2020 