Absorb Bioresorbable Vascular Scaffold

March 14, 2013 — invendo medical announced it has entered the U.S. market with the first installation of systems at two renowned GI endoscopy centers, NYU Langone Medical Center and New York-Presbyterian Hospital/Columbia University Medical Center.

March 14, 2013 — Lantheus Medical Imaging Inc. announced the U.S. Food and Drug Administration (FDA) has granted approval of a supplemental new drug application (sNDA) that allows Jubilant HollisterStier (JHS) to be a new manufacturing site for its ultrasound imaging agent, Definity Vial for (Perflutren Lipid Microsphere) Injectable Suspension.

 

In the Canterbury region of New Zealand, the Canterbury District Health Board (DHB) ensures the effective coordination and delivery of public healthcare services to the district’s 500,000 residents. It is the largest employer in New Zealand’s South Island, with more than 9,000 staff across 14 hospitals and numerous community bases.

Canterbury DHB is highly patient-centric. The group strives diligently to remove bottlenecks from what is often referred to as “the patient’s journey.” Canterbury DHB has used Intelerad’s IntelePACS for the seamless archiving, distributing, and secure sharing of images and reports.

IntelePACS’ integrated workflow, universal worklist, and comprehensive InteleViewer module increase productivity and efficiency for the organization’s radiologists. “It is Intelerad’s workflow that makes the difference,” says Dr. Sean Skea, Canterbury DHB’s chief of radiology at Christchurch Hospital.

In the Christchurch area, the patient journey may begin in the public system, continue with a private specialist and then return to the public system. Efficiency in patient imaging is maintained, however, because private practitioners in Christchurch also use IntelePACS. Thus, physicians and radiologists get instant, seamless access to prior images and reports, whether the studies originated in the public or private system.

The availability of a common, robust PACS solution also allows Canterbury DHB to effectively share its radiology workload with the private sector when necessary. This has been critical as demand for services can outpace the supply of radiologists in the public system. 

March 13, 2013 — GE Healthcare announced last month the first global commercial installation of its Optima NM/CT 640 technology, a new performance SPECT/CT system that helps physicians balance high image quality with low patient radiation dose and efficiency.


March 13, 2013 — The March 2013 issue of the Journal of Urology includes a study conducted by four physicians from Radiotherapy Clinics of Georgia (RCOG), a Vantage Oncology affiliate. The study, 25 Year Disease Free Survival Rate after Irradiation of Prostate Cancer Calculated with the Prostate Specific Antigen Definition of Recurrence Used for Radical Prostatectomy, is the first to analyze 25 years of follow-up data after radiation therapy treatment for prostate cancer patients.


What a difference a few decades makes. In the early-1980s radiologists couldn’t wait to get their hands on an MR scanner. Never mind the clinical value was anything but certain. The most anybody could say is that MR absolutely, positively diagnosed multiple sclerosis. Reimbursement, shmeimbursement. Lay down a couple or three million dollars. Knock down a wall. Bring that monster in. We’ll just hope it pans out.


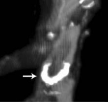
Atherosclerosis is usually considered to be related to contemporary risk factors such as smoking, obesity and lack of exercise. However, researchers suggest that high prevalence of atherosclerosis in pre-modern humans may support the possibility of a more basic human predisposition to the disease.


March 12, 2013 — TeraMedica announced the opening of a new U.K. office to service markets in Europe, Africa and the Middle East, spearheading the firm’s international expansion.

Subscribe Now