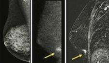
It is not uncommon for a woman to go in for a mammogram and leave with inconclusive results. This event is usually ...
MRI Breast
Magnetic resonance imaging (MRI) can be used for breast imaging as an alternative to mammography.
Mammography is the one breast cancer screening test proven to reduce mortality, yet on many occasions, it still does not ...
Broadwest's software-only solution (in partnership with InsightMRI) for interpreting Breast MR features tools to discern ...
February 24, 2009 - Healthcare and breast radiology professionals from around the world recently attended the annual ...
February 23, 2009 – The Carol Milgard Breast Center, a women’s breast care center established by the three largest ...
February 17, 2009 - Updated guidelines of best practices identify using magnetic resonance imaging (MRI) to newly ...
February 13, 2009 - The first permanent installation of the Aurora Dedicated Breast MRI System at the Istituto Nazionale ...
February 3, 2009 - The National Comprehensive Cancer Network (NCCN) said it has made important updates to the NCCN ...
January 28, 2009 - A combination of MRI and ultrasound is able to measure the metabolism rates of cancer cells ...
December 15, 2008 - Breast conserving surgery is not improved by the addition of MRI to other conventional staging ...
December 15, 2008 - Magnetic resonance imaging (MRI) alternated with mammography at six-month intervals can detect ...
November 30, 2008 - At RSNA, Philips unveiled a new 3.0T MRI scanner, the Achieva 3.0T TX, which is designed to enhance ...
Invivo Corp.’s Luminescence advanced breast MRI coil system is for sites utilizing 8, 16 and 32 channel MRI systems. The ...
November 4, 2008 – The Aurora 1.5Tesla Dedicated Breast MRI System has been installed and is now available to the women ...
Aurora Imaging Technology offers to the Aurora 1.5Tesla Dedicated Breast MRI System for AuroraSPECTROSCOPY, a breast ...
November 03, 2008 – The FDA has given 501(k) clearance to the Aurora 1.5Tesla Dedicated Breast MRI System for ...
X-ray mammography is considered the “gold standard” for breast cancer screening in the breast imaging equipment market ...
The InsightMRI Breast MR package from Broadwest Corp. consists of a breast coil, patient comfort aids and a diagnostic ...
iCAD Inc.'s new SpectraLook is a kinetics technology integrated into iCAD’s image analysis solutions for breast and ...
October 27, 2008 – Aurora Imaging Technology will unveil a breast MRI solution, AuroraEDGE, which is designed to enhance ...
March 10, 2009 