December 4, 2020 — Today, the U.S. Food and Drug Administration (FDA) issued an immediately in effect guidance ...
Mammography
Mammography is a breast imaging technique that uses X-rays to diagnose and locate tumors of the breasts.
December 2, 2020 — Hologic, Inc., an innovative medical technology company primarily focused on improving women’s health ...
December 2, 2020 — Recent studies have shown that Lunit’s AI solution is as accurate as average radiologists when it ...
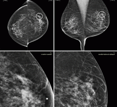
Despite decades of progress in breast imaging, one challenge continues to test even the most skilled radiologists ...
December 1, 2020 — At the Virtual RSNA 2020 conference, it was announced that Mary C. Mahoney, M.D., is RSNA president ...
November 30, 2020 — Researchers at Massachusetts General Hospital (MGH) have developed a deep learning model that ...
November 24, 2020 — Lunit, a leading medical AI software company, will be joining the 106th Radiological Society of ...
The COVID-19 pandemic had a huge impact on the radiology community. Hospitals, doctors’ offices and clinics found ...
November 20, 2020 — Densitas Inc., a global provider of A.I. technologies for digital mammography and breast screening ...
November 19, 2020 — Radiologists around the world will have access to a first-of-its-kind online breast density training ...
November 16, 2020 — Densitas Inc., a leading provider of A.I. technologies for digital mammography and breast screening ...
Imaging Technology News Contributing Editor Greg Freiherr interviewed Henry Izawa, vice president of modality solutions ...
November 11, 2020 — Digital breast tomosynthesis (DBT), in combination with synthetic mammography, improves cancer ...
November 10, 2020 — Hologic, Inc. announced innovative updates to its Unifi Analytics platform, a breakthrough business ...
November 9, 2020 — As COVID-19 continues to spread in communities throughout the country, Americans rely on radiologic ...
When it comes to the use of mammography skin markers in digital breast tomosynthesis (DBT) or 3-D mammography, care has ...
November 4, 2020 — Artificial intelligence (AI) can enhance the performance of radiologists in reading breast cancer ...
November 2, 2020 — Hologic, Inc. announced the commercial availability in Europe of its 3DQuorum Imaging Technology ...
November 2, 2020 — Though Black women get breast cancer at a 3% lower incidence rate than white women, they are 42% more ...
October 28, 2020 — Indian and Pakistani women are diagnosed with breast cancer, including more aggressive forms of the ...
October 28, 2020 — Beth Reisboard, 76, was relieved in 2018 when she received the results from her annual mammogram: ...
October 22, 2020 — Mammography, which is an X-ray picture of the breast, is efficient also for women over the age of 70 ...
October 19, 2020 — Volpara Solutions, a leader in AI-powered breast density assessment, announced that it has changed ...
October 15, 2020 — Fujifilm Medical Systems U.S.A., Inc., a leading provider of diagnostic imaging and medical ...
December 04, 2020 