August 11, 2021 — According to an open-access Editor’s Choice article in the American Journal of Roentgenology (AJR) ...
Mammography
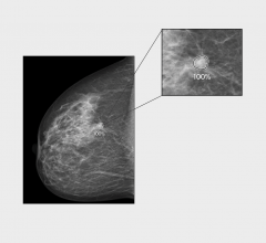
Mammography is a breast imaging technique that uses X-rays to diagnose and locate tumors of the breasts.
August 9, 2021 — Scientists at Case Western Reserve University have used artificial intelligence (AI) to identify new ...
August 5, 2021 — FUJIFILM Medical Systems U.S.A., Inc. will showcase Synapse 7x, the company’s next-generation PACS ...
Despite decades of progress in breast imaging, one challenge continues to test even the most skilled radiologists ...
July 30, 2021 — Volpara Health, a global health technology software leader providing an integrated breast care platform ...
July 29, 2021 — Volpara Health, a global health technology software leader providing an integrated breast care platform ...
July 21, 2021 — Registration is now open for the Radiological Society of North America (RSNA) 107th Scientific Assembly ...
The COVID-19 pandemic had a huge impact on the radiology community. Hospitals, doctors’ offices and clinics found ...
July 16, 2021 —According to ARRS’ American Journal of Roentgenology (AJR), return to routine screening for BI-RADS 3 ...
July 16, 2021 — Volpara has recently been granted another patent by the European Patent Office, raising the total number ...
July 15, 2021 — For any type of diagnostic test, technology that helps improve the reliability of test results is a ...
Imaging Technology News Contributing Editor Greg Freiherr interviewed Henry Izawa, vice president of modality solutions ...
July 7, 2021 — GE Healthcare announced the installation of Serena Bright in five hospitals and radiology centers around ...
It is well established that there are racial disparities in healthcare that can have devastating implications for ...
The challenges faced by hospitals during the COVID-19 pandemic have severely impacted cancer care. While the ...
When it comes to the use of mammography skin markers in digital breast tomosynthesis (DBT) or 3-D mammography, care has ...
June 25, 2021 — Breast cancer recently surpassed lung cancer as the number 1 diagnosed cancer in the U.S., excluding ...
June 23, 2021 — According to a new study by the Harvey L. Neiman Health Policy Institute and the American College of ...
June 22, 2021 — New American College of Radiology (ACR) and Society of Breast Imaging (SBI) breast cancer screening ...
June 15, 2021 — The prevalence of genetic mutations associated with breast cancer in Black and white women is the same ...
June 8, 2021 — Reporting at the 2021 annual meeting of the American Society of Clinical Oncology, Kathryn A. Gold, M.D ...
April 28, 2021 – DenseBreast-info.org (DB-I) announced the results of the study, “Effect of an educational intervention ...
April 22, 2021 — Targeted therapy in early stages of breast cancer can pave the way for a notable higher success rate ...
April 22, 2021 — Women at high risk of breast cancer face cost-associated barriers to care even when they have health ...
August 11, 2021 