Oct. 10, 2024 — NYU Langone Health recently launched a digital pathology program, transforming disease diagnosis from ...
Oct. 14, 2024 — Hoag, a nonprofit, regional health care delivery system in Orange County, Calif., is now offering a new ...
Oct. 14, 2024 — On Oct. 14, GE HealthCare launched Versana Premier, the latest release within the Versana ultrasound ...
Radiology departments have many different needs and face a wide variety of challenges that can impact their departments ...
Oct. 14, 2024 – The Institute for AI Governance in Healthcare (IAIGH) has published the draft Healthcare AI Governance ...
HIMSS will be presenting a webinar on "Addressing the Changing Data Demands of Next-Gen Healthcare" on Nov. 13, 2024 at ...
A major update was made to the International Nuclear Workers Study (INWORKS), an international epidemiological study of ...
Despite decades of progress in breast imaging, one challenge continues to test even the most skilled radiologists ...
Oct. 26, 2024 — This month, in observance of Breast Cancer Awareness Month, the Society of Breast Imaging (SBI) is ...
Oct. 3, 2024 — GE HealthCare’s MIM Software has announced it received 510(k) clearance from the U.S. Food and Drug ...
October 2, 2024 – Owkin recently announce a new partnership with AstraZeneca to develop an AI-powered tool to pre-screen ...
Bayer Radiology’s Barbara Ruhland and Thom Kinst discuss how radiology departments can address the many different ...
Sept. 30, 2024 – A recent study accepted by the American Society of Radiation Oncology (ASTRO) for their annual meeting ...
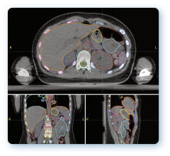
Oct. 1, 2024 — At ASTRO 2024, Jay Detsky, MD, PhD, radiation oncologist at Sunnybrook Health Sciences Centre (Toronto ...
Oct. 2, 2024 – On Oct. 2, Proscia launched Concentriq Embeddings and the Proscia AI Toolkit, enabling life sciences ...
eHealth Saskatchewan plays a vital role in providing IT services to patients, health care providers, and partners such ...
Sept. 30, 2024 — Siemens Healthineers recently announced the Food and Drug Administration’s premarket approval (PMA) for ...
Sept. 3, 2024 — Researchers evaluating the performance of ChatGPT-4 Vision found that the model performed well on text ...
Fujifilm’s APERTO Lucent is a 0.4T mid-field, open MRI system addressing today’s capability and image quality needs ...
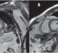
According to a study published in Radiology, a journal of the Radiological Society of North America, the newer, 3D form ...
Sept. 23, 2024 – BAT, an innovative radiation protection garment designed to safeguard the breast, axilla and thyroid ...
Sept. 19, 2024 – Medical imaging AI company Avicenna.AI recently announced it had received 510(k) clearance from the U.S ...
Sept. 17, 2024 – Structure recently launched Structure Sensor 3, its next-generation precision 3D scanning platform ...
HIMSS will present a two-day Healthcare Cybersecurity event next month in Washington, D.C. The Healthcare Cybersecurity ...
October 16, 2024 