December 31, 2020 — After “COVID-19,” the term that most people will remember best from 2020 is likely to be “social ...
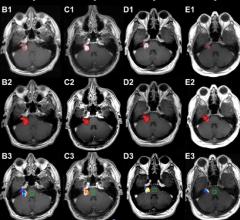
December 31, 2020 — Posttraumatic stress disorder (PTSD) is a complex psychiatric disorder brought on by physical and/or ...
December 30, 2020 — What happens in the brain when our conscious awareness fades during general anesthesia and normal ...
Radiology departments have many different needs and face a wide variety of challenges that can impact their departments ...
December 30, 2020 — Volpara Health announced two new research studies using AI-powered software to score breast density ...
December 30, 2020 — Researchers at the University of Turku have discovered what type of neural mechanisms are the basis ...
December 29, 2020 — RaySearch Laboratories AB has launched the latest release of its widely adopted treatment planning ...
Despite decades of progress in breast imaging, one challenge continues to test even the most skilled radiologists ...
December 29, 2020 — The American College of Radiology (ACR), Society of Breast Imaging (SBI), patient advocates and ...
December 28, 2020 — C-RAD offers a specific version of its Catalyst System for use in proton and particle therapy - ...
December 28, 2020 — Adding a contrast-enhancing agent to magnetic resonance imaging (MRI) significantly improves image ...
Bayer Radiology’s Barbara Ruhland and Thom Kinst discuss how radiology departments can address the many different ...
Here are the top 25 best performing articles on the Imaging Technology News (ITN) website from 2020. This is based on ...
Here are the top 25 best performing videos on the Imaging Technology News website (ITN) from the past year, based on ...
December 23, 2020 — Change Healthcare announced the successful introduction of its first cloud-based medical tools for ...
eHealth Saskatchewan plays a vital role in providing IT services to patients, health care providers, and partners such ...
December 23, 2020 — The U.S. Food and Drug Administration December 18 issued an emergency use authorization (EUA) for a ...
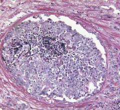
December 22, 2020 — Researchers in the DOE Isotope Program have developed an effective radionuclide, cerium-134, as a ...
December 22, 2020 — EvoHealth, a trailblazer in incorporating new technology in healthcare IT software, announced it has ...
December 22, 2020 — Hospitals and institutions are continually looking for ways to improve diagnostic imaging throughput ...
December 21, 2020 — The "Breast Imaging Technologies Market by Technology - Global Opportunity Analysis and Industry ...
December 21, 2020 — The Radiological Society of North America (RSNA) and the RSNA COVID-19 AI Task Force announced that ...
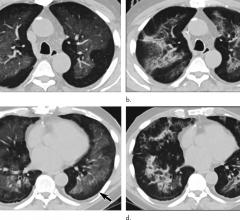
December 21, 2020 — According to recent studies, an increase in the COVID-19 positivity rate correlates to an increase ...
December 18, 2020 — SHINE Medical Technologies LLC today announced that the company has broken ground on a new 54,000 ...
December 31, 2020 