August 5, 2022 — GE Healthcare released its most advanced fixed X-ray system yet, the next-generation Definium 656 HD ...
August 4, 2022 — The Biden Administration, through the U.S. Department of Health and Human Services and the Centers for ...
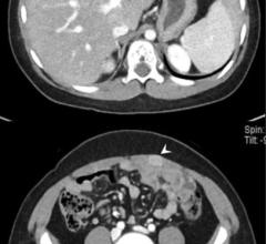
August 4, 2022 — Xoran Technologies announces that last month it received FDA 510(k) clearance for TRON — a truly mobile ...
AT A GLANCE Organization: Expert Radiology Management Services, LLC Specialty: Subspecialty teleradiology — neuro and ...
August 3, 2022 — According to an open-access article in ARRS’ American Journal of Roentgenology (AJR), electronic health ...
August 3, 2022 — The Jack Martin Fund (JMF) has built on its partnership with the Mount Sinai Health System to provide ...
August 3, 2022 — Structural differences in lung airways between men and women may be the cause of differences in chronic ...
Radiology departments have many different needs and face a wide variety of challenges that can impact their departments ...
August 2, 2022 – A new update has been announced as the radiology world continues to address supply disruptions of ...
August 2, 2022 — Ochsner Health has announced that the recipient of the 37th Annual Alton Ochsner Award Relating Smoking ...
August 2, 2022 — The oncology information systems market is projected to be worth $2.59 Bn by 2022 and is expected to ...
Despite decades of progress in breast imaging, one challenge continues to test even the most skilled radiologists ...
August 2, 2022 — The American College of Radiology (ACR) Center for Research and Innovation (CRI) will serve as the ...
August 1, 2022 — In recognition of World Lung Cancer Day, the American Lung Association announced new patient resources ...
Here is what you and your colleagues found to be most interesting in the field of medical imaging during the month of ...
Bayer Radiology’s Barbara Ruhland and Thom Kinst discuss how radiology departments can address the many different ...
July 29, 2022 — Carestream Health’s focus on delivering innovative medical imaging solutions that address customer needs ...
July 29, 2022 — The Radiological Society of North America (RSNA), in collaboration with the American Society of ...
July 29, 2022 — Siemens Healthineers has announced the Food and Drug Administration (FDA) clearance of the ARTIS icono ...
July 28, 2022 — authID, a leading provider of secure, mobile, biometric authentication solutions, announced today that ...
July 28, 2022 — According to ARRS’ American Journal of Roentgenology (AJR), for patients with multiple architectural ...
July 28, 2022 — The National Comprehensive Cancer Network (NCCN) has published new NCCN Guidelines for Patients: Breast ...
July 27, 2022 — Patients for Safer Nuclear Medicine, a coalition of 29 patient advocacy organizations representing ...
July 27, 2022 — Multitasking is not just an office skill. It’s key to functioning as a human, and it involves something ...
August 05, 2022 