November 11, 2009 - The American Society of Radiologic Technologists (ASRT) said it was successful, in collaboration with other medical imaging and radiation therapy organizations, in avoiding a proposed 19 percent reduction in Medicare reimbursement for radiation oncology services in 2010.
November 19, 2009 — Music can make you laugh or cry, rile you up or calm you down. Some say it’s good for the soul. It just might be good for the heart, too, reports the November 2009 issue of the Harvard Heart Letter .
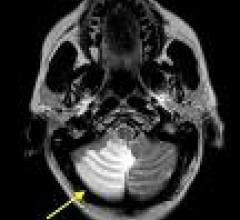
November 10, 2009 – Covidien said yesterday it will voluntarily contraindicate the use of its Optimark gadoversetamide injection, a gadolinium-based contrast agent (GBCA), in magnetic resonance imaging (MRI) procedures involving patients with severe renal impairment.
Radiology departments have many different needs and face a wide variety of challenges that can impact their departments ...
November 10, 2009 - Vital Images and Intel, a world leader in silicon innovation, have integrated Intel’s Xeon 5500 processor series into Vital Images’ advanced visualization solution with the aim of decreasing clinical dataset load times compared to previous capabilities.
November 10, 2009 – Fluke Biomedical said it will unveil new additions to its X-ray maintenance, calibration and quality assurance tool platform during the RSNA annual meeting Nov. 29 – Dec. 4, in Chicago. Sources close to the project report a new dosimeter is in the works for the wireless TNT 12000 X-Ray Test platform, as well as integrated mA/mAs measurement capability.
November 10, 2009 – Toshiba America Medical Systems, Inc. has introduced the Toshiba Assurance Refurbishment Program to provide customers the ability to purchase previously owned, completely refurbished Toshiba systems.
Despite decades of progress in breast imaging, one challenge continues to test even the most skilled radiologists ...
Aurora Imaging Technology will be launching the Aurora Breast MRI Mobile Solution at the 2010 RSNA conference.
November 6, 2009 - Acceletronics announced here at the 51st Annual Meeting of the American Society for Radiation Oncology (ASTRO) that it will be introducing the new Theraview KV Imaging IGRT system for radiation oncology facilities.
November 6, 2009 – Nearly 4 million people nationwide suffer from cardiac arrhythmias each year, according to the 2006 U.S. Cardiac Rhythm Management Market report by Frost and Sullivan. About 2.5 million of these cases cannot be treated or controlled through medication alone.
Bayer Radiology’s Barbara Ruhland and Thom Kinst discuss how radiology departments can address the many different ...
The Carotid Intima-Media Thickness (CIMT) Screening, which maps and assesses vascular age, is one of the many easily configurable study types within the Digisonics DigiView Image Management and Reporting System.
November 6, 2009 - As the American Medical Isotopes Production Act of 2009 now heads to the U.S. Senate for approval, legislation that would create a stable and reliable supply of medical isotopes in the United States, the Society of Nuclear Medicine (SNM) applauds the U.S. House of Representatives for its passage of H.R. 3276—the American Medical Isotopes Production Act of 2009.
November 5, 2009 - Ziosoft has developed flexible workflow tools and additional clinical functionality for the Ziostation system. The Ziostation system is based on a highly scalable, true thin-client architecture that requires no proprietary or specialized hardware components.
eHealth Saskatchewan plays a vital role in providing IT services to patients, health care providers, and partners such ...
November 5, 2009 - Shina Systems debuted its 3Di, a cloud-based advanced (3D/4D) visualization software suite that turns any Internet-enabled PC into a comprehensive image processing workstation.
November 5, 2009 - ACRIN seeks sites for the clinical trial: “A Multicenter Trial of FDG-PET/CT Staging of Head and Neck Cancer and its Impact on the N0 Neck Surgical Treatment in Head and Neck Cancer Patient” (ACRIN 6685).
November 5, 2009 - As a part of its commitment to MRI education, Merge Healthcare will support broad-based MRI workshops at RSNA 2009 by hosting 13 CADstream MRI-CAD hands-on workshops.
November 5, 2009 - Philips has signed an eight-year combined iSite PACS replacement and Xcelera deal to meet radiology and cardiology image management needs at Lakeland Regional Medical Center, a not-for-profit, 851-bed facility serving central Fla.
Merge Healthcare, a health IT solutions provider, today announced its settlement with the SEC of the multi-year investigation into the conduct of two former company executives, and the circumstances which led to a restatement in 2006 of the company’s 2002 through 2005 financial statements. This investigation ran concurrent with two shareholder lawsuits, which were resolved in 2008.
Unlike whole-body MRI systems, which require after-market modifications to image the breast, the Aurora 1.5T Dedicated Breast MRI is designed from the inside out, specifically for breast anatomy. Every functional component of the system, from the patient bed, to the proprietary CAD system, to the integrated biopsy capability, is created specifically for breast MRI.
Codonics Inc., a provider of advanced medical image storage and distribution appliances, has introduced a new line of affordable medical image servers designed to meet increasing demand for cost-effective storage of temporary data sets or permanent archives.
The MarkeTech Group (TMTG) conducted a poll of its imagePRO opt-in panel of more than 600 U.S.-hospital based imaging administrative directors and managers. Manuel Andrade, TMTG's reserach analyst, made the analysis. Q: In the future, would your radiology department be more likely to purchase a hybrid PET/CT system rather than a stand-alone CT or MR?
November 10, 2009 