Contributing Editor Greg Freiherr offers an overview of computed tomography (CT) advances at the Radiological Society of North America (RSNA) 2015. The video includes Freiherr during his booth tours with some of the key vendors who were featuring new technology.
Technology Report:
Computed Tomography (CT)
Related Content
Feature
New research published in the June issue of Global Heart, the journal of the World Heart Federation, shows that there…
Feature
Innovation was the theme at the recent 2014 annual meeting of the American Association of Physicists in Medicine (AAPM…
Feature
September 2, 2014 — An actuarial cost-benefit analysis published in the August issue of American Health and Drug…
Sponsored Content
Videos | Radiology Business
Radiology departments have many different needs and face a wide variety of challenges that can impact their departments ...
News
September 2, 2014 — The evidence standard the Centers for Medicare & Medicaid Services (CMS) used to approve…
News
August 28, 2014 — Oxford Instruments has re-launched OiServices computed tomography (CT) and magnetic resonance (MR) as…
Technology
August 27, 2014 — Philips Healthcare announced it has received 510(k) clearance from the U.S. Food and Drug…
Sponsored Content
Feature | Breast Imaging
Despite decades of progress in breast imaging, one challenge continues to test even the most skilled radiologists ...
Feature
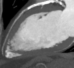
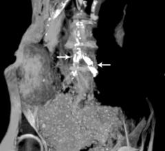
August 27, 2014 — The Society of Cardiovascular Computed Tomography (SCCT) has published the “SCCT Guidelines on the…
News
August 27, 2014 — The Taung Child, South Africa's premier hominin discovered 90 years ago by Wits University Professor…
News
August 26, 2014 — X-ray phase-contrast imaging can provide high-quality images of objects with lower radiation dose. …
Sponsored Content
Sponsored Content
Videos | Radiology Business
Bayer Radiology’s Barbara Ruhland and Thom Kinst discuss how radiology departments can address the many different ...
Technology
August 25, 2014 — Siemens Healthcare has received 510(k) clearance from the Food and Drug Administration (FDA) for…
News
August 15, 2014 — The National Institutes of Health (NIH) has launched the NIH 3-D Print Exchange, a public website…
Feature
August 14, 2014 — Toshiba Medical Systems Europe will introduce the SURE Subtraction Coronary software at the 2014…
Sponsored Content
Case Study | PACS
eHealth Saskatchewan plays a vital role in providing IT services to patients, health care providers, and partners such ...
Feature | Neil Singh, Ascendian Healthcare Consulting?
Patient radiation dose safety has become the latest buzzword. With the emerging regulations and mandates, technologies…
Feature | Computed Tomography (CT)
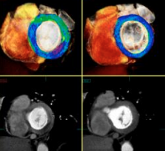
New research published in June issue of Global Heart (the journal of the World Heart Federation) show that there are no…
News
August 1, 2014 — Anxiety regarding inconclusive cancer screening test results among some patients is real and is only…
News
August 1, 2014 — Thousands of healthcare providers weighed in to identify this year's top-performing vendor solutions…
News
July 30, 2014 — The American Society of Echocardiography Education and Research Foundation (ASEF) announced that it…
News
July 30, 2014 — Anxiety regarding inconclusive cancer screening test results among some patients is real and is only…
Feature | Dave Fornell
The key takeaway message from the Society of Cardiovascular Computed Tomography (SCCT) annual meeting in July was that…
Blog
The Society of Cardiovascular Computed Tomography (SCCT) annual meeting July 10-13 in San Diego covered the latest CT…
© Copyright Wainscot Media. All Rights Reserved.
Subscribe Now
September 03, 2014 