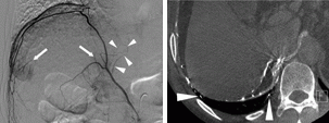
A JVIR feature shows a C-arm computed tomography (CT) scan of the right inferior phrenic artery (RIPA) in transcatheter arterial chemoembolization of patients with hepatocellular carcinoma (HCC).
July 8, 2009 - Society of Interventional Radiology (SIR) announced that it has developed a guidelines collection to improve the quality of clinical care and published research relevant to the practice of interventional radiology.
“Society of Interventional Radiology 2009 Standards Division Guidelines” provides a unique collection of new (such as radiation dose management) and previously published clinical practice guidelines developed since 2003 through its Standards Division.
“The supplement includes ‘Guidelines for Patient Radiation Dose Management,’ a significant new document providing guidance on the safe use of fluoroscopy for interventional radiologists performing procedures on adult patients and children utilizing fluoroscopy. The safe use of fluoroscopy has always been a primary concern for interventional radiologists,” said Michael S. Stecker, M.D., FSIR, an interventional radiologist and assistant professor at Brigham and Women’s Hospital in Boston, Mass. This radiation management guideline, tailored to interventional radiology practice, emphasizes the need for increased diligence to safely manage the risks of radiation exposure from such procedures as embolization (including chemoembolization for cancer); transjugular intrahepatic portosystemic shunt (TIPS) creation for liver disease; and renal and/or visceral artery angioplasty and/or stent placement.
The 376-page collection guest-edited by John F. Cardella, M.D., FSIR, includes quality improvement guidelines, safety guidelines new from 2003, consensus documents, credentialing statements, policy and position statements and technology assessment documents. One new feature added since the 2003 supplement is emerging technologies articles; these state-of-the-art works are written by thought leaders in emerging topics, such as nanotechnology, genetic therapy and digital detectors in computed tomography. Also included are position statements, defining not only SIR’s position on a new technique or procedure, but also the societal position on such topics as the role of clinical associates in interventional radiology. There are several such collaborative documents with like-minded societies, adding strength to the collection, said Nemcek.
In the supplement’s introduction, Cardella and his collaborating colleagues, Sanjoy Kundu, M.D., FSIR; Donald L. Miller, M.D., FSIR; Steven F. Millward, M.D., FSIR; and David Sacks, M.D., FSIR, offer the hope that “....these documents help you in optimizing the quality of care for patients, assuring consistency and comparability in the publication of clinical and basic science research, establishing quality assurance programs with action thresholds and learn about ‘new topics on the horizon’ for interventional radiology.”
For more information: www.jvir.org
August 14, 2025 