If you enjoy this content, please share it with a colleague
RELATED CONTENT
The American College of Radiology (ACR) strongly supports the Excellence in Diagnostic Imaging Utilization Act of 2013 (H.R. 3705), which would require ordering physicians to consult physician-developed appropriateness criteria when ordering advanced diagnostic imaging studies for Medicare patients. This ACR backed bipartisan bill is separate from, and in addition to, a similar appropriateness criteria policy included in the SGR Repeal and Medicare Beneficiary Access Act of 2013, currently under debate in the House and Senate. Congress will likely consider these bills in early 2014.
The American College of Radiology (ACR) commends the House Committee on Ways and Means and the United States Senate Committee on Finance for passing bicameral, bipartisan legislation to replace the flawed sustainable growth rate (SGR) physician payment formula.
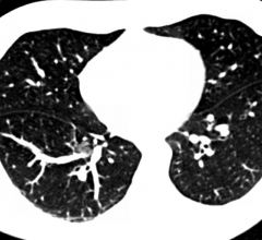
Previous evidence, including published National Lung Cancer Screening Trial (NLST) results, shows that computed tomography (CT) lung cancer screening significantly reduces lung cancer deaths in high risk patients*, and is appropriate, with careful patient selection and follow-up. This benefit significantly outweighs the comparatively modest rate of overdiagnosis noted in an article published online Dec. 9 in JAMA Internal Medicine. The American College of Radiology (ACR) will continue guideline and appropriateness criteria creation to support CT lung cancer screening programs across the country.
Over the past decade, medical imaging has gone from being one of the fastest growing categories of Medicare spending to one of the slowest relative to other Medicare services, according to a new study.
New and updated evidence-based guidelines to help health care providers choose the most appropriate medical imaging exam or radiation therapy for a patient’s clinical condition are now available via the latest version of the American College of Radiology (ACR) Appropriateness Criteria.
The American College of Radiology (ACR) and the Radiological Society of North America (RSNA) joined more than 100 medical societies in 57 countries around the world in celebrating the second annual International Day of Radiology (IDoR) on Nov. 8. IDoR 2013 focused on the important role lung imaging plays in the diagnosis and treatment of lung diseases, including the advent of computed tomography (CT) lung cancer screening.
The American College of Radiology (ACR) applauded a joint Senate Finance and House Committee on Ways and Means’ proposal to require ordering physicians to consult appropriateness criteria for advanced imaging services provided to Medicare patients.
Annoyed by the high cost of a tune-up, 30 years ago I took a class on automotive maintenance. Armed with a spark plug wrench, timing light and screwdriver, I thereafter tuned up — far more often than necessary — my 1978 Toyota Corolla. Back then I had the right tools and the knowledge to do what needed to be done. Today I have neither.
Americans at increased odds of a potentially lethal lung cancer diagnosis may soon be able to seek out the most promising technology available to detect it early and ultimately have screening covered by insurance, including Medicare. The U.S. Preventive Services Task Force (USPSTF) recommended a high "B" rating for annual computed tomography (CT) scans for current and former smokers, aged 55 to 80, with a history of heavy smoking (two packs per day over 20 years or one pack a day over 30 years).
June 26 marked the 90th anniversary of the founding of the American College of Radiology (ACR) and a celebration of nine decades of work by ACR members, leadership and staff to make medicine better by advancing the science of radiology, educating radiology professionals, positively influencing health care policy and improving quality of care.
December 20, 2013 