October 1, 2015 — At RSNA 2015, Infinitt will be showing upgrades to its Mammo PACS solution, which provides fast image ...
Mammography Reporting Software
News and new technology about mammography reporting software can be found on this channel.
August 31, 2015 — Novarad has developed its own specialty viewer with advanced hanging protocols and workflows designed ...
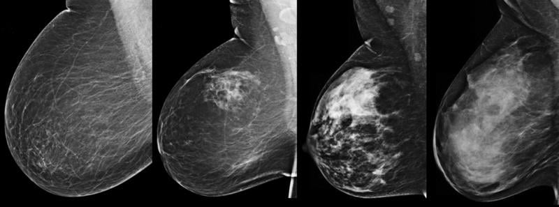
July 7, 2015 - iCAD Inc. announced the launch of the iReveal breast density module as the latest addition to the company ...
June 24, 2015 - aycan announced the launch of their new mammography workstation optimized for use with Eizo monitors ...
May 20, 2015 — Viztek debuted its new Exa Mammo Viewer at the upcoming Society for Imaging Informatics in Medicine (SIIM ...
April 17, 2015 — Sectra announced successful testing of the MAMMO and DBT (Digital Breast Tomosynthesis) Integrating the ...
March 17, 2015 — Ikonopedia announced the first installation of its MQSA Follow-up Tracking & Management System at ...
January 12, 2014 — Ohio Governor John Kasich signed Ohio’s breast density inform bill into law (HB 394, Section 3702.40) ...
December 19, 2014 – Volpara Solutions announced the launch of the VolparaDensity version 3.0 breast density assessment ...
ITN discusses the recent trends and advances in breast imaging at RSNA 2014 with Laurie Fajardo, M.D., MBA chief of ...
December 9, 2014 — Volpara Solutions launched VolparaAnalytics version 1.2 at RSNA 2014. Volpara Solutions showcased the ...
November 19, 2014 — Cerner’s RadNet Mammography Management solutions helps facilities provide mammography services ...
In an era of increasingly personalized medicine, patients are expecting more tailored approaches to care from their ...
October 21, 2014 — Three Palm Software announced that that the U.S. Patent and Trademark Office has granted Three Palm ...
October 14, 2014 — PenRad Technologies Inc. announced its partnership with Clinithink to refine the process of clinical ...
October 1, 2014 — Intelerad Medical Systems launched its new Tomosynthesis Module. Integrated directly into Intelerad’s ...
September 18, 2014 — Ikonopedia showcased its new MQSA management system along with four new breast imaging reporting ...
July 18, 2014 — A bill introduced in the U.S. House and Senate July 17, the Breast Density and Mammography Reporting Act ...
June 27, 2014 — Governor Deval Patrick has signed Massachusetts’ breast density inform bill into law (Chapter 150) this ...
May 23, 2014 — Visage Imaging Inc., a wholly owned subsidiary of Pro Medicus Ltd., exhibited the latest release of the ...
October 01, 2015 