March 2, 2020 — The Centers for Disease Control and Prevention (CDC) is aware of four new presumptive positive cases of ...
Coronavirus (COVID-19)
This page contains medical information for clinicians on the 2019 Novel Coronavirus (COVID-19, also called 2019-nCoV and now clinically SARS‐CoV‐2). This section includes articles on medical imaging of the virus for radiologists, new technologies being deployed to fight the virus and clinical information from various sources. Here are direct links for medical professionals to COVID-19 resources from the U.S. Food and Drug Administration (FDA), Centers for Disease Control (CDC) and the World Health Organization (WHO). Daily world-wide statistics on the coronavirus outbreak are available from the WHO Situations Reports. Centers for Medicare and Medicaid Services (CMS) frequently asked questions and answers (FAQs) for healthcare providers regarding Medicare payment for laboratory tests and other services related to the COVID-19
February 28, 2020 — The first in a series of medical imaging studies on novel coronavirus (COVID-19) was published ...
February 28, 2020 — New healthcare technologies are being implemented in the fight against the novel coronavirus (COVID ...
Members of the enterprise imaging technology community are facing significant changes in the market, due to the COVID-19 ...
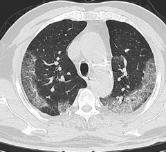
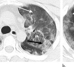
February 26, 2020 — In a study of more than 1,000 patients published in the journal Radiology, chest CT outperformed lab ...
February 26, 2020 — Mount Sinai Health System physicians—the first experts in the country to analyze chest computed ...
The Centers for Disease Control and Prevention (CDC) said it is working to contain the spread of the novel coronavirus ...
The COVID-19 pandemic accelerated a change that was already occurring in imaging-heavy practices across the country — ...
February 25, 2020 — With initial order of 10 mobile BodyTom computed tomography (CT) scanners ordered in China, Samsung ...
February 24, 2020 — The U.S. Food and Drug Administration (FDA) gave an update on its activities regarding the novel ...
February 19, 2020 — In new research published in the journal Radiology, researchers in China cite the need for computed ...
The coronavirus pandemic has changed the way radiologists read images and today facilities struggle to define a “new ...
February 16, 2020 — The following statement was issued by the U.S. Food and Drug Administration (FDA) on February 14 ...
As the 2019-nCoV Pneumonia is taking the world by storm, researchers have found a possible way to predict this virus ...
February 11, 2020 — The Radiological Society of North America (RSNA) journal Radiology has published a study from ...
February 7, 2020 — To help front-line physicians, nurses, and other healthcare professionals diagnose and treat the ...
February 5, 2020 — In a special report published in the journal Radiology, researchers describe computed tomography (CT) ...
February 4, 2020 — Since January 2020, the Coronavirus (2019-nCoV) outbreak at Wuhan, China, has attracted a great deal ...
January 31, 2020 — One of the first imaging studies on the coronavirus (2019-nCoV) was published online today as ...
March 02, 2020 